Cancer > Signal transduction > Nuclear signaling > Nuclear hormone receptors > Estrogen
Epigenetics and Nuclear Signaling > ChIP assays > ChIP antibodies
Epigenetics and Nuclear Signaling > Nuclear Signaling Pathways > Nuclear Receptors > Estrogen
Neuroscience > Endocrine system > Gonadotrophic axis
Signal Transduction > Signaling Pathway > Nuclear Signaling > Nuclear Hormone Receptors > Estrogen




| 应用 | 已检合格种属 | 预测种属 | 推荐稀释比例 |
|---|---|---|---|
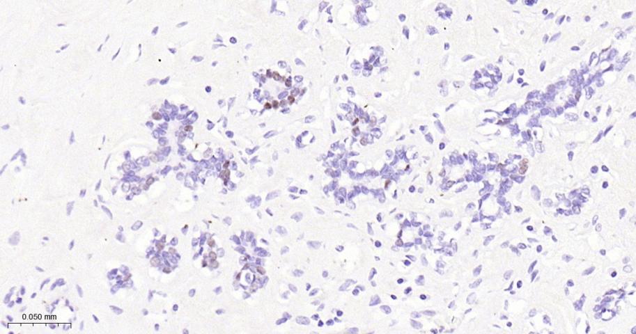
| IHC-P | Human | 1:50-200 | |
| IHC-F | Human | 1:50-200 | |
| IF | Human | 1:50-200 | |
| Flow-Cyt | Human | 1:50-100 |
交叉反应: Human
暂无相关产品
暂无标记数据
暂无同靶标产品
暂无相关文献
暂无常见问题