CD74重组兔单克隆抗体

Rrmab?兔单抗
2026-03-02~2026-04-30,KXJ26032026-03-02~2026-04-30,促销赠品
CD74重组兔单克隆抗体
货号:bsm-60795R
产品详情
相关标记
相关产品
相关文献
常见问题

概述

产品编号
bsm-60795R
产品类型
重组兔单抗、病理级抗体、mIHC精品抗体
英文名称
CD74 Recombinant Rabbit mAb
中文名称
CD74重组兔单克隆抗体
英文别名
CLIP; DHLAG; HLADG; II; Ia-GAMMA; p33; HG2A_HUMAN; CD74; HLA-DR antigens-associated invariant chain; Ia antigen-associated invariant chain (Ii); HG2A_MOUSE; Ia antigen-associated invariant chain (Ii | Ii chain); MHC class II-associated invariant chain;
抗体来源
Rabbit
免疫原
A synthesized peptide derived from human CD74: 15-74
亚型
IgG
性状
Liquid
纯化方法
affinity purified by Protein A
克隆类型
Recombinant
克隆号
E9C4
理论分子量
35 kDa
浓度
1mg/ml
储存液
PBS, Glycerol, BSA.
SWISS
Gene ID
保存条件
Shipped at 4℃. Store at -20℃ for one year. Avoid repeated freeze/thaw cycles.
注意事项
This product as supplied is intended for research use only, not for use in human, therapeutic or diagnostic applications.
产品介绍
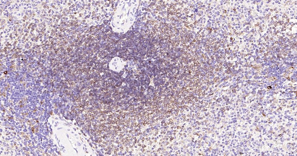
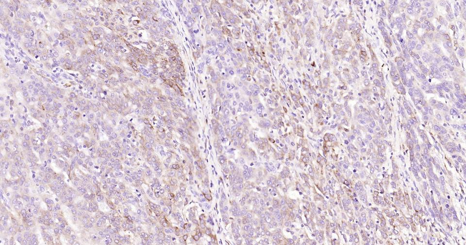
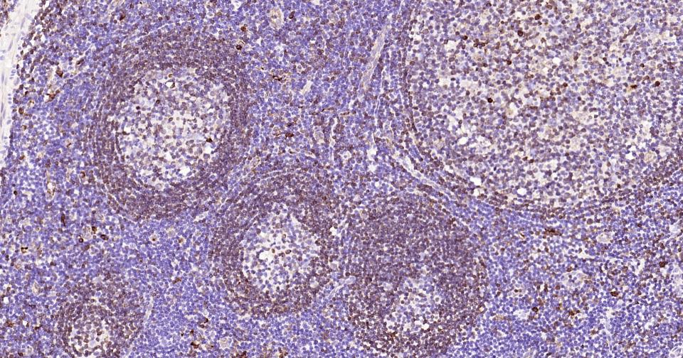
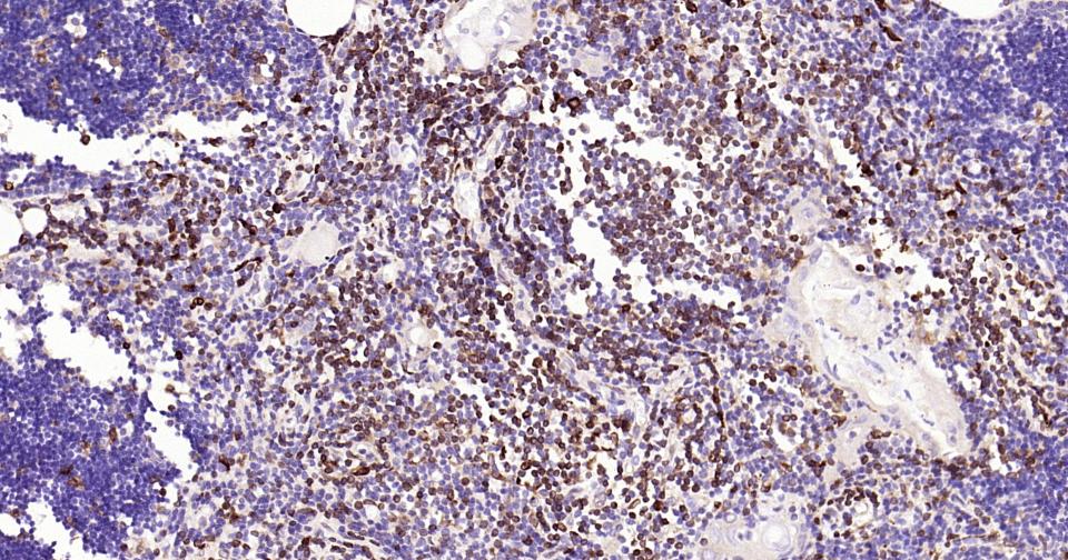
CD74表达于所有B细胞和某些T细胞亚类(MHC II阳性),具有几种异构体形式(33,35和41kDa),是HLA-DR的恒定链。该抗体主要用于标记生发中心及外套B细胞(80%)和R-S细胞(70%)以及少数T细胞(20%),常与其它B细胞标记如CD20或CD45RA联合检测,用于B细胞淋巴瘤的辅助诊断。
背景资料
CD74, also known as the MHC class II associated invariant chain (Ii), is a type II transmembrane protein which binds to the peptide binding groove of newly synthesized MHC class II alpha/beta heterodimers and prevents their premature association with endogenous polypeptides. CD74 is produced in molar excess over MHC class II and some of this is expressed by an unknown pathway on the cell surface independent of, or in association with, MHC class II molecules. The half life of CD74 on the cell surface is only 3 to 4 min after which it is internalized. It has been proposed that cell surface CD74 binds The protein encoded by this gene associates with class II major histocompatibility complex (MHC) and is an important chaperone that regulates antigen presentation for immune response. It also serves as cell surface receptor for the cytokine macrophage migration inhibitory factor (MIF) which, when bound to the encoded protein, initiates survival pathways and cell proliferation. This protein also interacts with amyloid precursor protein (APP) and suppresses the production of amyloid beta (Abeta). Multiple alternatively spliced transcript variants encoding different isoforms have been identified. [provided by RefSeq, Aug 2011]
CD74重组兔单克隆抗体CD74重组兔单克隆抗体CD74重组兔单克隆抗体CD74重组兔单克隆抗体CD74重组兔单克隆抗体

产品应用

应用已检合格种属预测种属推荐稀释比例
WBHuman1:500-2000
IHC-PHuman1:100-500
IHC-FHuman1:100-500
IFHuman1:100-500
Flow-CytHuman1:50-200
ICC/IFHuman1:50-200

交叉反应

交叉反应: Human

相关产品

暂无相关产品

靶标

基因名
CD74
蛋白名
HLA class II histocompatibility antigen gamma chain
亚基
Homotrimer. In the endoplasmic reticulum (ER) it forms a heterononameric MHC II-Ii complex: 3 MHC class II molecules (heterodimers of an alpha and a beta subunit) bind to the CD74 homotrimer (also known as invariant chain or HLA class II histocompatibility antigen gamma chain). In the endosomal/lysosomal system, the CD74 component undergoes sequential degradation by various proteases, including CTSS and CTSL, leaving a small fragment termed CLIP (class-II-associated invariant chain peptide) attached to the MHC class II molecule (alpha-beta-CLIP complex). This processed complex interacts with HLA_DM and HLA_DO heterodimers in order to release CLIP and facilitate the binding of antigenic peptides to the MHC class II molecules.
亚细胞定位
Cell membrane; Single-pass type II membrane protein (Potential). Endoplasmic reticulum membrane. Golgi apparatus, trans-Golgi network. Endosome. Lysosome. Note=Transits through a number of intracellular compartments in the endocytic pathway. It can either undergo proteolysis or reach the cell membrane.
翻译后修饰
N- and O-glycosylated. O-glycosylated with core 1 or possibly core 8 glycans.
疾病
Note=A chromosomal aberration involving CD74 is found in a non-small cell lung tumor. Results in the formation of a CD74-ROS1 chimeric protein.
相似性
Contains 1 thyroglobulin type-1 domain.
功能
Plays a critical role in MHC class II antigen processing by stabilizing peptide-free class II alpha/beta heterodimers in a complex soon after their synthesis and directing transport of the complex from the endoplasmic reticulum to the endosomal/lysosomal system where the antigen processing and binding of antigenic peptides to MHC class II takes place. Serves as cell surface receptor for the cytokine MIF.

标记抗体

暂无标记数据

同靶标产品

暂无同靶标产品

相关文献

提示: 发表研究结果有使用 bsm-60795R 时请让我们知道,以便我们可以引用参考文章。作为回馈,资料提供者将获得我们送上的小礼品。

暂无相关文献

常见问题

暂无常见问题