肝细胞生长因子受体重组兔单克隆抗体

Rrmab?兔单抗
2026-03-02~2026-04-30,KXJ26032026-03-02~2026-04-30,促销赠品
肝细胞生长因子受体重组兔单克隆抗体
货号:bsm-60793R
产品详情
相关标记
相关产品
相关文献
常见问题

概述

产品编号
bsm-60793R
产品类型
重组兔单抗、mIHC精品抗体
英文名称
c-Met Recombinant Rabbit mAb
中文名称
肝细胞生长因子受体重组兔单克隆抗体
英文别名
AUTS9; DA11; DFNB97; HGFR; RCCP2; c-Met; HGF; Par4; MET_HUMAN; MET; HGF receptor; HGF/SF receptor; Proto-oncogene c-Met; Scatter factor receptor (SF receptor); Tyrosine-protein kinase Met; 2.7.10.1; MET_MOUSE; MET_RAT;
抗体来源
Rabbit
免疫原
KLH conjugated synthetic peptide derived from human MET
亚型
IgG
性状
Lyophilized or Liquid
纯化方法
affinity purified by Protein A
克隆类型
Recombinant
克隆号
E8D11
理论分子量
156 kDa
储存液
0.01M TBS (pH7.4) with 1% BSA, 0.02% Proclin300 and 50% Glycerol.
SWISS
Gene ID
保存条件
Shipped at 4℃. Store at -20℃ for one year. Avoid repeated freeze/thaw cycles.
注意事项
This product as supplied is intended for research use only, not for use in human, therapeutic or diagnostic applications.
产品介绍
细胞膜受体(Membrane Receptors)
c-Met蛋白是肝细胞生长因子受体(Hepatocyte growth factor receptor, HGFR),又称受体蛋白酪氨酸激酶,肝细胞生长因子和过度表达的c-Met(HGFR)蛋白结合,在肿瘤的发生、进展和血管形成中都起着重要作用。
c-met蛋白也是HGF特异性受体,具有内源性酪氨酸激酶的活性,HGF与c-met蛋白特异性结合对肿瘤细胞生长、分化及恶性转化可能具有重要的关联。
背景资料
This gene encodes a member of the receptor tyrosine kinase family of proteins and the product of the proto-oncogene MET. The encoded preproprotein is proteolytically processed to generate alpha and beta subunits that are linked via disulfide bonds to form the mature receptor. Further processing of the beta subunit results in the formation of the M10 peptide, which has been shown to reduce lung fibrosis. Binding of its ligand, hepatocyte growth factor, induces dimerization and activation of the receptor, which plays a role in cellular survival, embryogenesis, and cellular migration and invasion. Mutations in this gene are associated with papillary renal cell carcinoma, hepatocellular carcinoma, and various head and neck cancers. Amplification and overexpression of this gene are also associated with multiple human cancers. [provided by RefSeq, May 2016]
肝细胞生长因子受体重组兔单克隆抗体肝细胞生长因子受体重组兔单克隆抗体肝细胞生长因子受体重组兔单克隆抗体

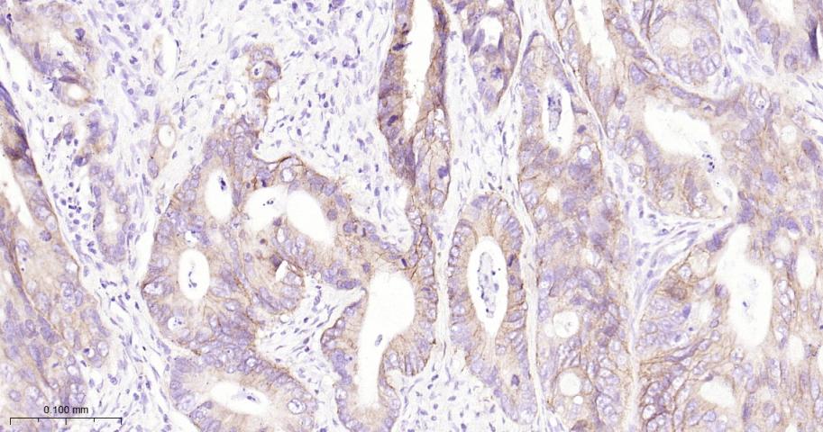
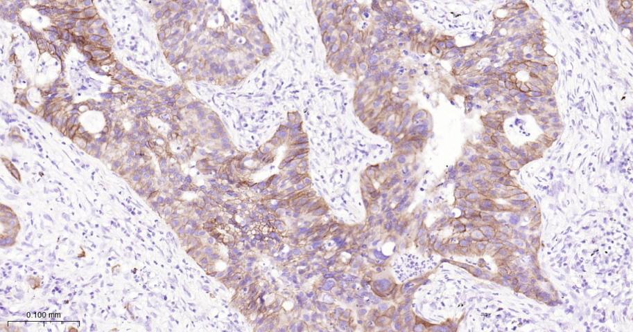
产品应用

应用已检合格种属预测种属推荐稀释比例
WBHuman1:500-2000
IHC-PHuman1:100-500
IHC-FHuman1:100-500
IFHuman1:100-500
Flow-CytHuman1:50-100
ICC/IFHuman1:50-200

交叉反应

交叉反应: Human

相关产品

暂无相关产品

靶标

基因名
MET
蛋白名
Hepatocyte growth factor receptor
亚基
Heterodimer made of an alpha chain (50 kDa) and a beta chain (145 kDa) which are disulfide linked. Binds PLXNB1. Interacts when phosphorylated with downstream effectors including STAT3, PIK3R1, SRC, PCLG1, GRB2 and GAB1. Interacts with SPSB1, SPSB2 and SPSB4 (By similarity). Interacts with INPP5D/SHIP1. When phosphorylated at Tyr-1356, interacts with INPPL1/SHIP2. Interacts with RANBP9 and RANBP10, as well as SPSB1, SPSB2, SPSB3 and SPSB4. SPSB1 binding occurs in the presence and in the absence of HGF, however HGF treatment has a positive effect on this interaction. Interacts with MUC20; prevents interaction with GRB2 and suppresses hepatocyte growth factor-induced cell proliferation. Interacts with GRB10.
亚细胞定位
Membrane; Single-pass type I membrane protein.
Isoform 3: Secreted.
组织特异性
Expressed in normal hepatocytes as well as in epithelial cells lining the stomach, the small and the large intestine. Found also in basal keratinocytes of esophagus and skin. High levels are found in liver, gastrointestinal tract, thyroid and kidney. Also present in the brain.
翻译后修饰
Autophosphorylated in response to ligand binding on Tyr-1234 and Tyr-1235 in the kinase domain leading to further phosphorylation of Tyr-1349 and Tyr-1356 in the C-terminal multifunctional docking site.
Dephosphorylated by PTPRJ at Tyr-1349 and Tyr-1365.
Ubiquitinated. Ubiquitination by CBL regulates the receptor stability and activity through proteasomal degradation.
疾病
Note=Activation of MET after rearrangement with the TPR gene produces an oncogenic protein.
Note=Defects in MET may be associated with gastric cancer.
Hepatocellular carcinoma (HCC) [MIM:114550]: A primary malignant neoplasm of epithelial liver cells. The major risk factors for HCC are chronic hepatitis B virus (HBV) infection, chronic hepatitis C virus (HCV) infection, prolonged dietary aflatoxin exposure, alcoholic cirrhosis, and cirrhosis due to other causes. Note=The disease is caused by mutations affecting the gene represented in this entry.
Renal cell carcinoma papillary (RCCP) [MIM:605074]: A subtype of renal cell carcinoma tending to show a tubulo-papillary architecture formed by numerous, irregular, finger-like projections of connective tissue. Renal cell carcinoma is a heterogeneous group of sporadic or hereditary carcinoma derived from cells of the proximal renal tubular epithelium. Note=The disease is caused by mutations affecting the gene represented in this entry.
Note=A common allele in the promoter region of the MET shows genetic association with susceptibility to autism in some families. Functional assays indicate a decrease in MET promoter activity and altered binding of specific transcription factor complexes.
Note=MET activating mutations may be involved in the development of a highly malignant, metastatic syndrome known as cancer of unknown primary origin (CUP) or primary occult malignancy. Systemic neoplastic spread is generally a late event in cancer progression. However, in some instances, distant dissemination arises at a very early stage, so that metastases reach clinical relevance before primary lesions. Sometimes, the primary lesions cannot be identified in spite of the progresses in the diagnosis of malignancies.
相似性
Belongs to the protein kinase superfamily. Tyr protein kinase family.
Contains 3 IPT/TIG domains.
Contains 1 protein kinase domain.
Contains 1 Sema domain.
功能
Receptor tyrosine kinase that transduces signals from the extracellular matrix into the cytoplasm by binding to hepatocyte growth factor/HGF ligand. Regulates many physiological processes including proliferation, scattering, morphogenesis and survival. Ligand binding at the cell surface induces autophosphorylation of MET on its intracellular domain that provides docking sites for downstream signaling molecules. Following activation by ligand, interacts with the PI3-kinase subunit PIK3R1, PLCG1, SRC, GRB2, STAT3 or the adapter GAB1. Recruitment of these downstream effectors by MET leads to the activation of several signaling cascades including the RAS-ERK, PI3 kinase-AKT, or PLCgamma-PKC. The RAS-ERK activation is associated with the morphogenetic effects while PI3K/AKT coordinates prosurvival effects. During embryonic development, MET signaling plays a role in gastrulation, development and migration of muscles and neuronal precursors, angiogenesis and kidney formation. In adults, participates in wound healing as well as organ regeneration and tissue remodeling. Promotes also differentiation and proliferation of hematopoietic cells.
Acts as a receptor for Listeria internalin inlB, mediating entry of the pathogen into cells.

标记抗体

暂无标记数据

同靶标产品

暂无同靶标产品

相关文献

提示: 发表研究结果有使用 bsm-60793R 时请让我们知道,以便我们可以引用参考文章。作为回馈,资料提供者将获得我们送上的小礼品。

暂无相关文献

常见问题

暂无常见问题