CD99重组兔单克隆抗体

Rrmab?兔单抗
2026-03-02~2026-04-30,KXJ26032026-03-02~2026-04-30,促销赠品
CD99重组兔单克隆抗体
货号:bsm-60792R
产品详情
相关标记
相关产品
相关文献
常见问题

概述

产品编号
bsm-60792R
产品类型
重组兔单抗、病理级抗体
英文名称
CD99 Recombinant Rabbit mAb
中文名称
CD99重组兔单克隆抗体
英文别名
HBA71; MIC2; MIC2X; MIC2Y; MSK5X; 1110061M03Rik; 2410026K10Rik; D4; Pilr-l; pilr-1; CD99_HUMAN; CD99; 12E7; E2 antigen; Protein MIC2; T-cell surface glycoprotein E2; CD99_MOUSE; Paired immunoglobin-like type 2 receptor-ligand (PILR-L); Pilrl;
抗体来源
Rabbit
免疫原
KLH conjugated synthetic peptide derived from human CD99
亚型
IgG
性状
Liquid
纯化方法
affinity purified by Protein A
克隆类型
Recombinant
克隆号
D6E10
理论分子量
16 kDa
浓度
1mg/ml
储存液
PBS, Glycerol, BSA.
SWISS
Gene ID
保存条件
Shipped at 4℃. Store at -20℃ for one year. Avoid repeated freeze/thaw cycles.
注意事项
This product as supplied is intended for research use only, not for use in human, therapeutic or diagnostic applications.
产品介绍
CD99(P30/32MIC2)是一种跨膜蛋白,为MIC2基因产物。分布于淋巴细胞、胸腺皮质细胞、卵巢的颗粒细胞、胰岛细胞和睾丸支持细胞。
背景资料
The protein encoded by this gene is a cell surface glycoprotein involved in leukocyte migration, T-cell adhesion, ganglioside GM1 and transmembrane protein transport, and T-cell death by a caspase-independent pathway. In addition, the encoded protein may have the ability to rearrange the actin cytoskeleton and may also act as an oncosuppressor in osteosarcoma. This gene is found in the pseudoautosomal region of chromosomes X and Y and escapes X-chromosome inactivation. There is a related pseudogene located immediately adjacent to this locus. [provided by RefSeq, Mar 2016]
CD99重组兔单克隆抗体CD99重组兔单克隆抗体

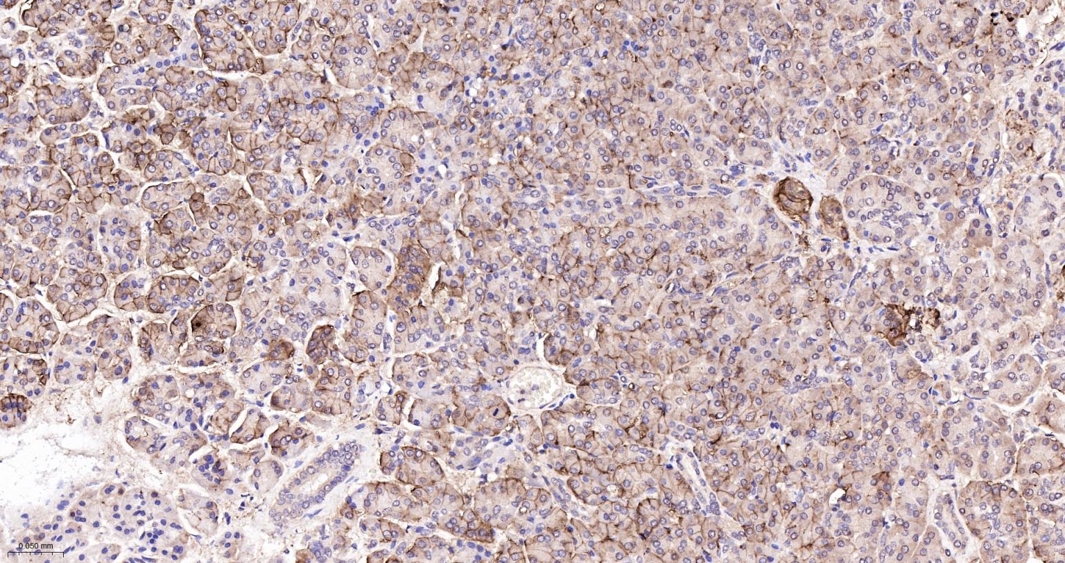
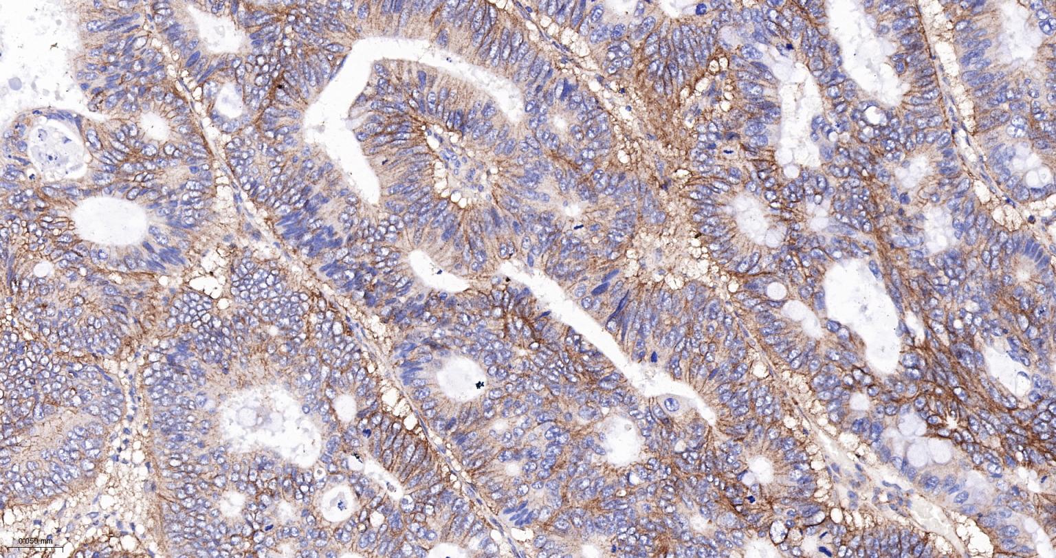
产品应用

应用已检合格种属预测种属推荐稀释比例
IHC-PHuman1:200-800
IHC-FHuman1:200-800
IFHuman1:200-800

交叉反应

交叉反应: Human

相关产品

暂无相关产品

靶标

基因名
CD99
蛋白名
CD99 antigen
亚基
Homodimer. Interacts with PILRB.
亚细胞定位
Membrane; Single-pass type I membrane protein.
组织特异性
Natural killer cells.
相似性
Belongs to the CD99 family.
功能
Involved in T-cell adhesion processes. Plays a role in a late step of leukocyte extravasation helping leukocytes to overcome the endothelial basement membrane. Acts at the same site as, but independently of, PECAM1.

标记抗体

暂无标记数据

同靶标产品

暂无同靶标产品

相关文献

提示: 发表研究结果有使用 bsm-60792R 时请让我们知道,以便我们可以引用参考文章。作为回馈,资料提供者将获得我们送上的小礼品。

暂无相关文献

常见问题

暂无常见问题