CD79A重组兔单克隆抗体

Rrmab?兔单抗
2026-03-02~2026-04-30,KXJ26032026-03-02~2026-04-30,促销赠品
CD79A重组兔单克隆抗体
货号:bsm-60791R
产品详情
相关标记
相关产品
相关文献
常见问题

概述

产品编号
bsm-60791R
产品类型
重组兔单抗、病理级抗体、mIHC精品抗体
英文名称
CD79A Recombinant Rabbit mAb
中文名称
CD79A重组兔单克隆抗体
英文别名
CD79A_HUMAN; CD79A; Ig-alpha; MB-1 membrane glycoprotein; Membrane-bound immunoglobulin-associated protein; Surface IgM-associated protein; IGA; MB1;
抗体来源
Rabbit
免疫原
A synthesized peptide derived from human CD79a: 54-101
亚型
IgG
性状
Liquid
纯化方法
affinity purified by Protein A
克隆类型
Recombinant
克隆号
A7D11
理论分子量
25 kDa
浓度
1mg/ml
储存液
PBS, Glycerol, BSA.
SWISS
Gene ID
保存条件
Shipped at 4℃. Store at -20℃ for one year. Avoid repeated freeze/thaw cycles.
注意事项
This product as supplied is intended for research use only, not for use in human, therapeutic or diagnostic applications.
背景资料
The B lymphocyte antigen receptor is a multimeric complex that includes the antigen-specific component, surface immunoglobulin (Ig). Surface Ig non-covalently associates with two other proteins, Ig-alpha and Ig-beta, which are necessary for expression and function of the B-cell antigen receptor. This gene encodes the Ig-alpha protein of the B-cell antigen component. Alternatively spliced transcript variants encoding different isoforms have been described. [provided by RefSeq, Jul 2008]
CD79A重组兔单克隆抗体CD79A重组兔单克隆抗体CD79A重组兔单克隆抗体CD79A重组兔单克隆抗体CD79A重组兔单克隆抗体CD79A重组兔单克隆抗体CD79A重组兔单克隆抗体CD79A重组兔单克隆抗体

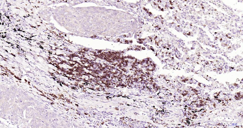
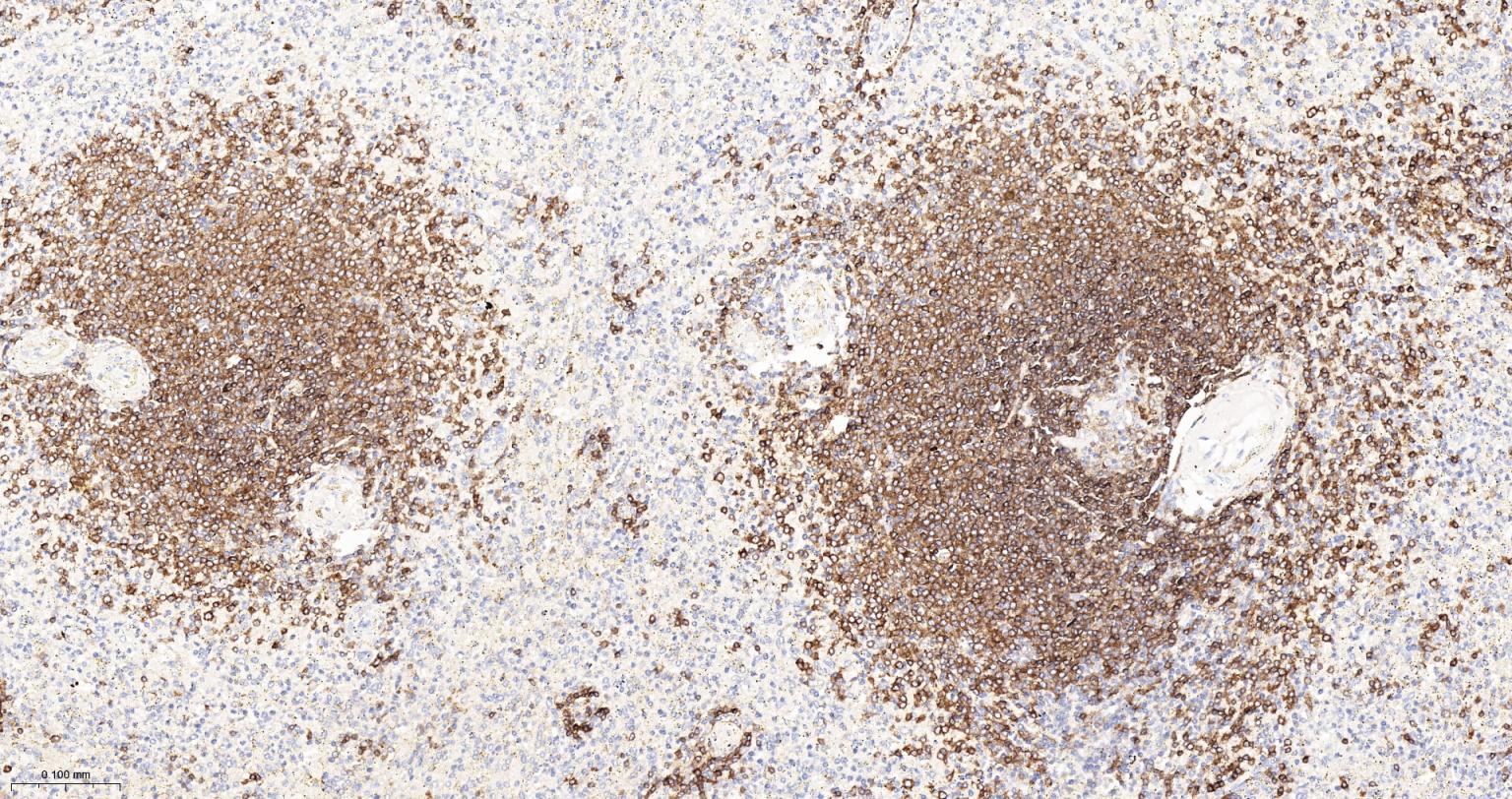
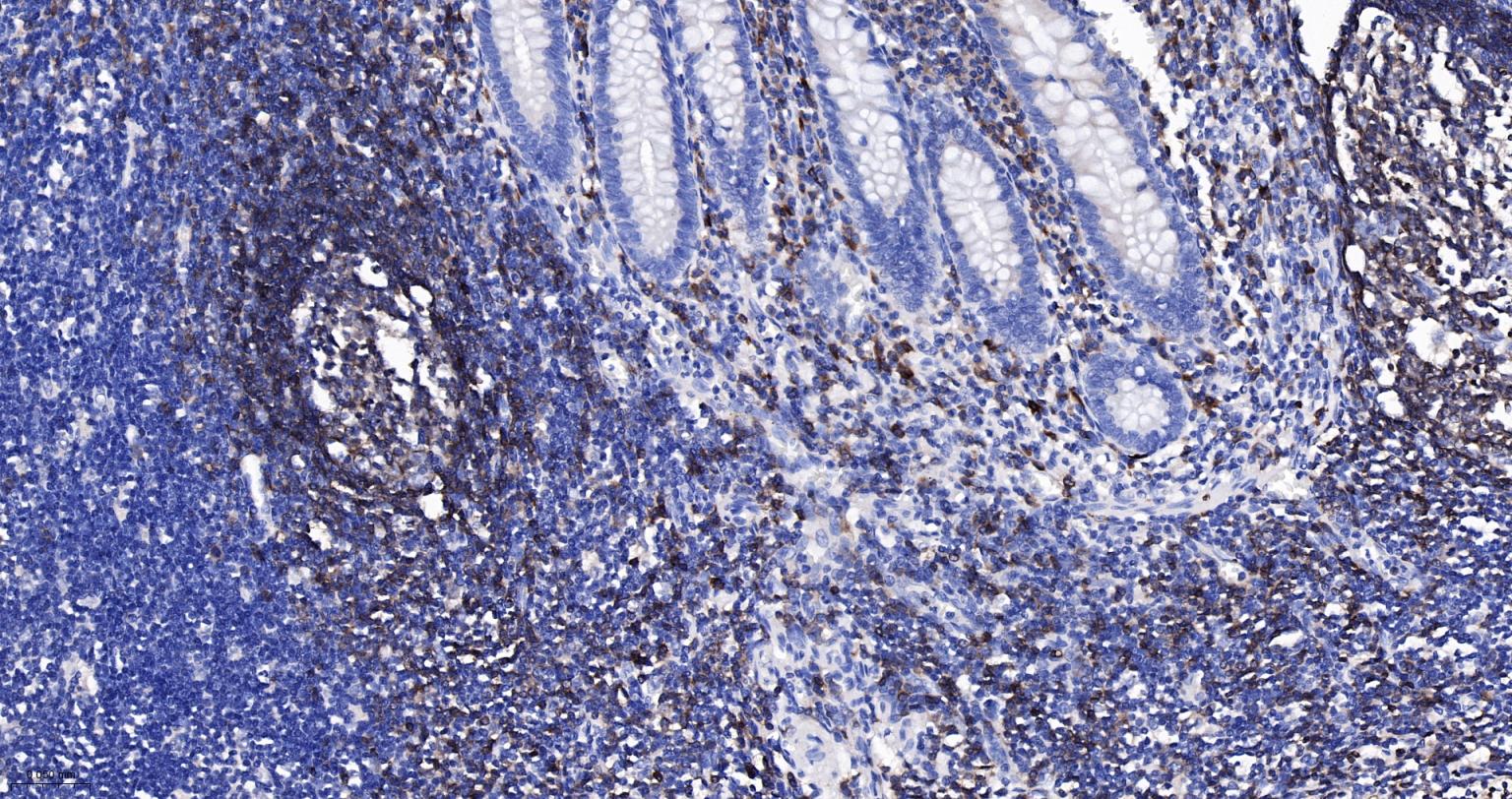
产品应用

应用已检合格种属预测种属推荐稀释比例
WBHuman1:1000-5000
IHC-PHuman1:200-800
IHC-FHuman1:200-800
IFHuman1:200-800

交叉反应

交叉反应: Human

相关产品

暂无相关产品

靶标

基因名
CD79A
蛋白名
B-cell antigen receptor complex-associated protein alpha chain
亚基
Heterodimer of alpha and beta chains; disulfide-linked. Part of the B-cell antigen receptor complex where the alpha/beta chain heterodimer is non-covalently associated with an antigen-specific membrane-bound surface immunoglobulin of two heavy chains and two light chains. Interacts through its phosphorylated ITAM domain with the SH2 domains of SYK which stimulates SYK autophosphorylation and activation. Also interacts, when phosphorylated on Tyr-210, with the SH2 domain of BLNK/SLP65, bringing BLNK into proximity with SYK and allowing SYK to phosphorylate BLNK which is necessary for trafficking of the BCR to late endosomes. Interacts with Src-family tyrosine kinases including FYN and LYN, increasing their activity.
亚细胞定位
Cell membrane; Single-pass type I membrane protein. Note=Following antigen binding, the BCR has been shown to translocate from detergent-soluble regions of the cell membrane to lipid rafts although signal transduction through the complex can also occur outside lipid rafts.
组织特异性
B-cells.
翻译后修饰
Phosphorylated on tyrosine, serine and threonine residues upon B-cell activation. Phosphorylation of tyrosine residues by Src-family kinases is an early and essential feature of the BCR signaling cascade. The phosphorylated tyrosines serve as docking sites for SH2-domain containing kinases, leading to their activation which in turn leads to phosphorylation of downstream targets. Phosphorylated by LYN. Phosphorylation of serine and threonine residues may prevent subsequent tyrosine phosphorylation.
Arginine methylation in the ITAM domain may interfere with the binding of SYK. It promotes signals leading to B cell differentiation.
疾病
Agammaglobulinemia 3 (AGM3) [MIM:613501]: A primary immunodeficiency characterized by profoundly low or absent serum antibodies and low or absent circulating B cells due to an early block of B-cell development. Affected individuals develop severe infections in the first years of life. Note=The disease is caused by mutations affecting the gene represented in this entry. Two different mutations, one at the splice donor site of intron 2 and the other at the splice acceptor site for exon 3, have been identified. Both mutations give rise to a truncated protein.
相似性
Contains 1 Ig-like C2-type (immunoglobulin-like) domain.
Contains 1 ITAM domain.
功能
Required in cooperation with CD79B for initiation of the signal transduction cascade activated by binding of antigen to the B-cell antigen receptor complex (BCR) which leads to internalization of the complex, trafficking to late endosomes and antigen presentation. Also required for BCR surface expression and for efficient differentiation of pro- and pre-B-cells. Stimulates SYK autophosphorylation and activation. Binds to BLNK, bringing BLNK into proximity with SYK and allowing SYK to phosphorylate BLNK. Also interacts with and increases activity of some Src-family tyrosine kinases. Represses BCR signaling during development of immature B-cells.

标记抗体

暂无标记数据

同靶标产品

暂无同靶标产品

相关文献

提示: 发表研究结果有使用 bsm-60791R 时请让我们知道,以便我们可以引用参考文章。作为回馈,资料提供者将获得我们送上的小礼品。

暂无相关文献

常见问题

暂无常见问题