MLH1 Mouse mAb (一抗) - IHC-P,IHC-F,IF | Bioss

2026-03-02~2026-04-30,KXJ26032026-03-02~2026-04-30,促销赠品
MLH1 Mouse mAb (一抗) - IHC-P,IHC-F,IF | Bioss
货号:bsm-34145M
产品详情
相关标记
相关产品
相关文献
常见问题

概述

产品编号
bsm-34145M
英文名称
MLH1 Mouse mAb
中文名称
错配修复蛋白1单克隆抗体
英文别名
COCA2; FCC2; HNPCC; HNPCC2; LYNCH2; MLH-1; MMRCS1; hMLH1; 1110035C23Rik; MLH1_HUMAN; MLH1; MutL protein homolog 1; MLH1_MOUSE; MLH1_RAT;
抗体来源
Mouse
免疫原
KLH conjugated synthetic peptide derived from human MLH1
亚型
IgG1, Kappa
性状
Liquid
纯化方法
affinity purified by Protein A
克隆类型
Monoclonal
克隆号
4A13
理论分子量
85 kDa
浓度
1mg/ml
储存液
Liquid in PBS containing 50% Glycerol, 0.5% BSA and 0.02% Proclin300.
SWISS
Gene ID
保存条件
Shipped at 4℃. Store at -20℃ for one year. Avoid repeated freeze/thaw cycles.
注意事项
This product as supplied is intended for research use only, not for use in human, therapeutic or diagnostic applications.
产品介绍
学者认为:很多肿瘤的发生都与错配修复基因MLH1 MSH2缺失有关 ,错配修复基因是在DNA复制过程中对一些错配的核苷酸进行识别、修复,起到基因监控机制。MLH1 MSH2缺失导致修复功能的丧失,导致在DNA的正常修复过程发生错误,引起肿瘤的发生。
背景资料
The protein encoded by this gene can heterodimerize with mismatch repair endonuclease PMS2 to form MutL alpha, part of the DNA mismatch repair system. When MutL alpha is bound by MutS beta and some accessory proteins, the PMS2 subunit of MutL alpha introduces a single-strand break near DNA mismatches, providing an entry point for exonuclease degradation. The encoded protein is also involved in DNA damage signaling and can heterodimerize with DNA mismatch repair protein MLH3 to form MutL gamma, which is involved in meiosis. This gene was identified as a locus frequently mutated in hereditary nonpolyposis colon cancer (HNPCC). [provided by RefSeq, Aug 2017]
错配修复蛋白1单克隆抗体-bsm-34145M错配修复蛋白1单克隆抗体-bsm-34145M错配修复蛋白1单克隆抗体-bsm-34145M错配修复蛋白1单克隆抗体-bsm-34145M错配修复蛋白1单克隆抗体-bsm-34145M

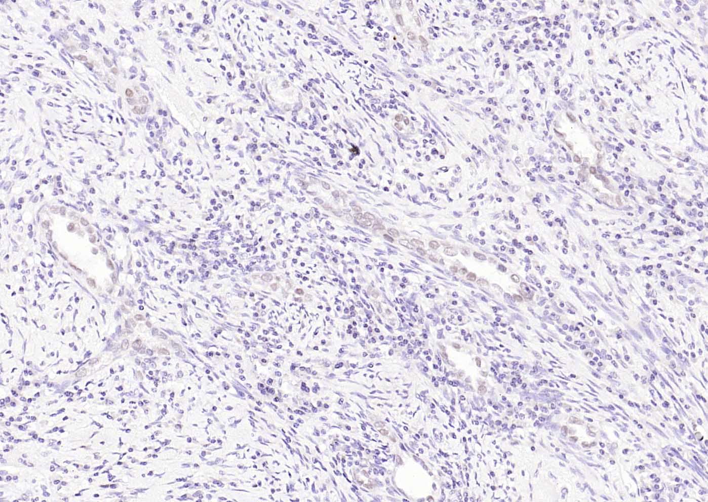
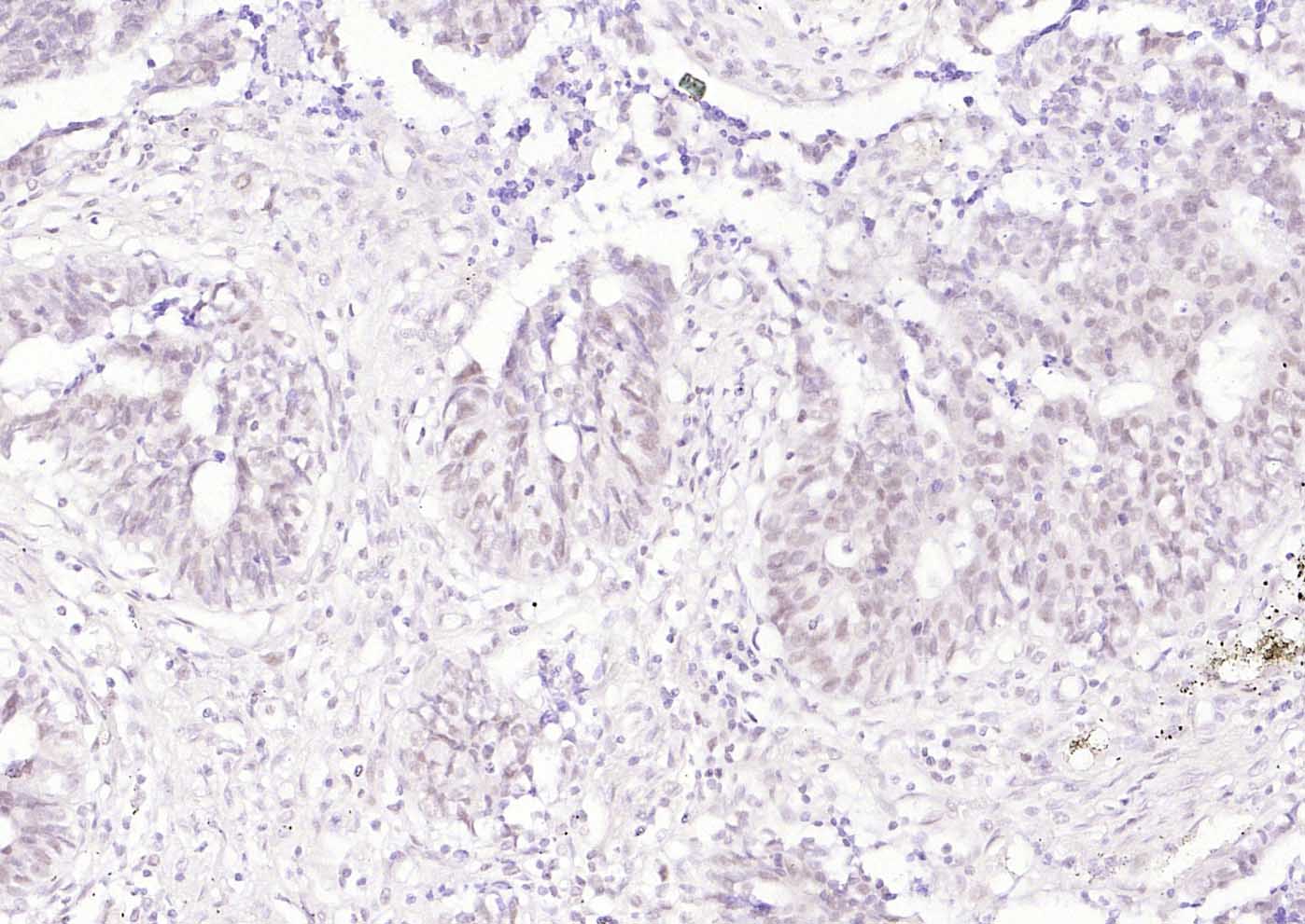
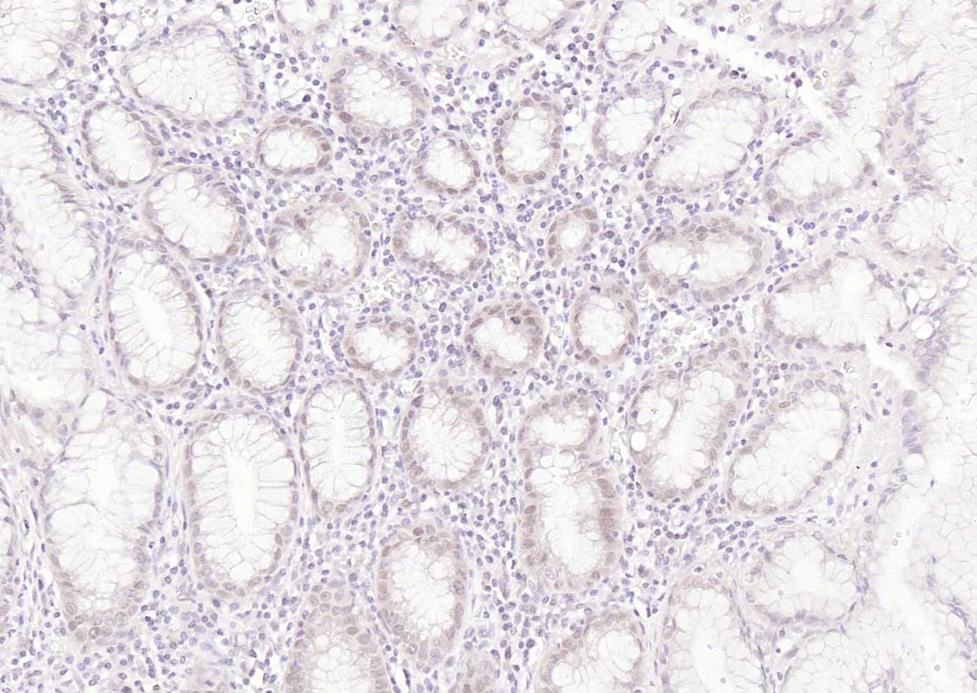
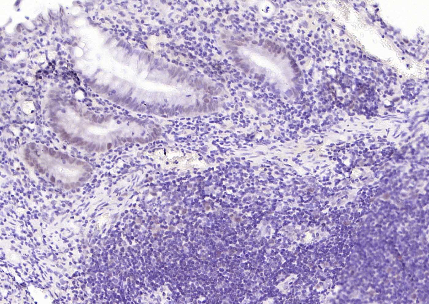
产品应用

应用已检合格种属预测种属推荐稀释比例
IHC-PHuman1:50-200
IHC-FHuman1:50-200
IFHuman1:50-200

交叉反应

交叉反应: Human

相关产品

暂无相关产品

靶标

基因名
MLH1
蛋白名
DNA mismatch repair protein Mlh1
亚基
Heterodimer of MLH1 and PMS2 (MutL alpha), MLH1 and PMS1 (MutL beta) or MLH1 and MLH3 (MutL gamma). Forms a ternary complex with MutS alpha (MSH2-MSH6) or MutS beta (MSH2-MSH3). Part of the BRCA1-associated genome surveillance complex (BASC), which contains BRCA1, MSH2, MSH6, MLH1, ATM, BLM, PMS2 and the RAD50-MRE11-NBS1 protein complex. This association could be a dynamic process changing throughout the cell cycle and within subnuclear domains. Interacts with MBD4. Interacts with EXO1 and MTMR15/FAN1.
亚细胞定位
Nucleus.
组织特异性
Colon, lymphocytes, breast, lung, spleen, testis, prostate, thyroid, gall bladder and heart.
疾病
Hereditary non-polyposis colorectal cancer 2 (HNPCC2) [MIM:609310]: An autosomal dominant disease associated with marked increase in cancer susceptibility. It is characterized by a familial predisposition to early-onset colorectal carcinoma (CRC) and extra-colonic tumors of the gastrointestinal, urological and female reproductive tracts. HNPCC is reported to be the most common form of inherited colorectal cancer in the Western world. Clinically, HNPCC is often divided into two subgroups. Type I is characterized by hereditary predisposition to colorectal cancer, a young age of onset, and carcinoma observed in the proximal colon. Type II is characterized by increased risk for cancers in certain tissues such as the uterus, ovary, breast, stomach, small intestine, skin, and larynx in addition to the colon. Diagnosis of classical HNPCC is based on the Amsterdam criteria: 3 or more relatives affected by colorectal cancer, one a first degree relative of the other two; 2 or more generation affected; 1 or more colorectal cancers presenting before 50 years of age; exclusion of hereditary polyposis syndromes. The term 'suspected HNPCC' or 'incomplete HNPCC' can be used to describe families who do not or only partially fulfill the Amsterdam criteria, but in whom a genetic basis for colon cancer is strongly suspected. Note=The disease is caused by mutations affecting the gene represented in this entry.
Mismatch repair cancer syndrome (MMRCS) [MIM:276300]: Autosomal dominant disorder characterized by malignant tumors of the brain associated with multiple colorectal adenomas. Skin features include sebaceous cysts, hyperpigmented and cafe au lait spots. Note=The disease is caused by mutations affecting the gene represented in this entry.
Muir-Torre syndrome (MRTES) [MIM:158320]: Rare autosomal dominant disorder characterized by sebaceous neoplasms and visceral malignancy. Note=The disease is caused by mutations affecting the gene represented in this entry.
Note=Defects in MLH1 may contribute to lobular carcinoma in situ (LCIS), a non-invasive neoplastic disease of the breast.
Endometrial cancer (ENDMC) [MIM:608089]: A malignancy of endometrium, the mucous lining of the uterus. Most endometrial cancers are adenocarcinomas, cancers that begin in cells that make and release mucus and other fluids. Note=Disease susceptibility is associated with variations affecting the gene represented in this entry.
Note=Some epigenetic changes can be transmitted unchanged through the germline (termed 'epigenetic inheritance'). Evidence that this mechanism occurs in humans is provided by the identification of individuals in whom 1 allele of the MLH1 gene is epigenetically silenced throughout the soma (implying a germline event). These individuals are affected by HNPCC but does not have identifiable mutations in MLH1, even though it is silenced, which demonstrates that an epimutation can phenocopy a genetic disease.
相似性
Belongs to the DNA mismatch repair mutL/hexB family.
功能
Heterodimerizes with PMS2 to form MutL alpha, a component of the post-replicative DNA mismatch repair system (MMR). DNA repair is initiated by MutS alpha (MSH2-MSH6) or MutS beta (MSH2-MSH6) binding to a dsDNA mismatch, then MutL alpha is recruited to the heteroduplex. Assembly of the MutL-MutS-heteroduplex ternary complex in presence of RFC and PCNA is sufficient to activate endonuclease activity of PMS2. It introduces single-strand breaks near the mismatch and thus generates new entry points for the exonuclease EXO1 to degrade the strand containing the mismatch. DNA methylation would prevent cleavage and therefore assure that only the newly mutated DNA strand is going to be corrected. MutL alpha (MLH1-PMS2) interacts physically with the clamp loader subunits of DNA polymerase III, suggesting that it may play a role to recruit the DNA polymerase III to the site of the MMR. Also implicated in DNA damage signaling, a process which induces cell cycle arrest and can lead to apoptosis in case of major DNA damages. Heterodimerizes with MLH3 to form MutL gamma which plays a role in meiosis.

同靶标产品

相关文献

提示: 发表研究结果有使用 bsm-34145M 时请让我们知道,以便我们可以引用参考文章。作为回馈,资料提供者将获得我们送上的小礼品。

常见问题