Developmental Biology > Embryogenesis > Embryonic stem cells > Surface molecules
Developmental Biology > Reproduction > Germ cell markers
Epigenetics and Nuclear Signaling > Transcription > Domain Families > HLH / Leucine Zipper > Leucine Zipper
Epigenetics and Nuclear Signaling > Transcription > Domain Families > HMG Box
Neuroscience > Cell Type Marker > Neural Stem Cell marker
Neuroscience > Neurology process > Neural Signal Transduction
Neuroscience > Neurology process > Neurogenesis



















| 应用 | 已检合格种属 | 预测种属 | 推荐稀释比例 |
|---|---|---|---|
| WB | Human, Mouse, Rat | 1:1000-5000 | |
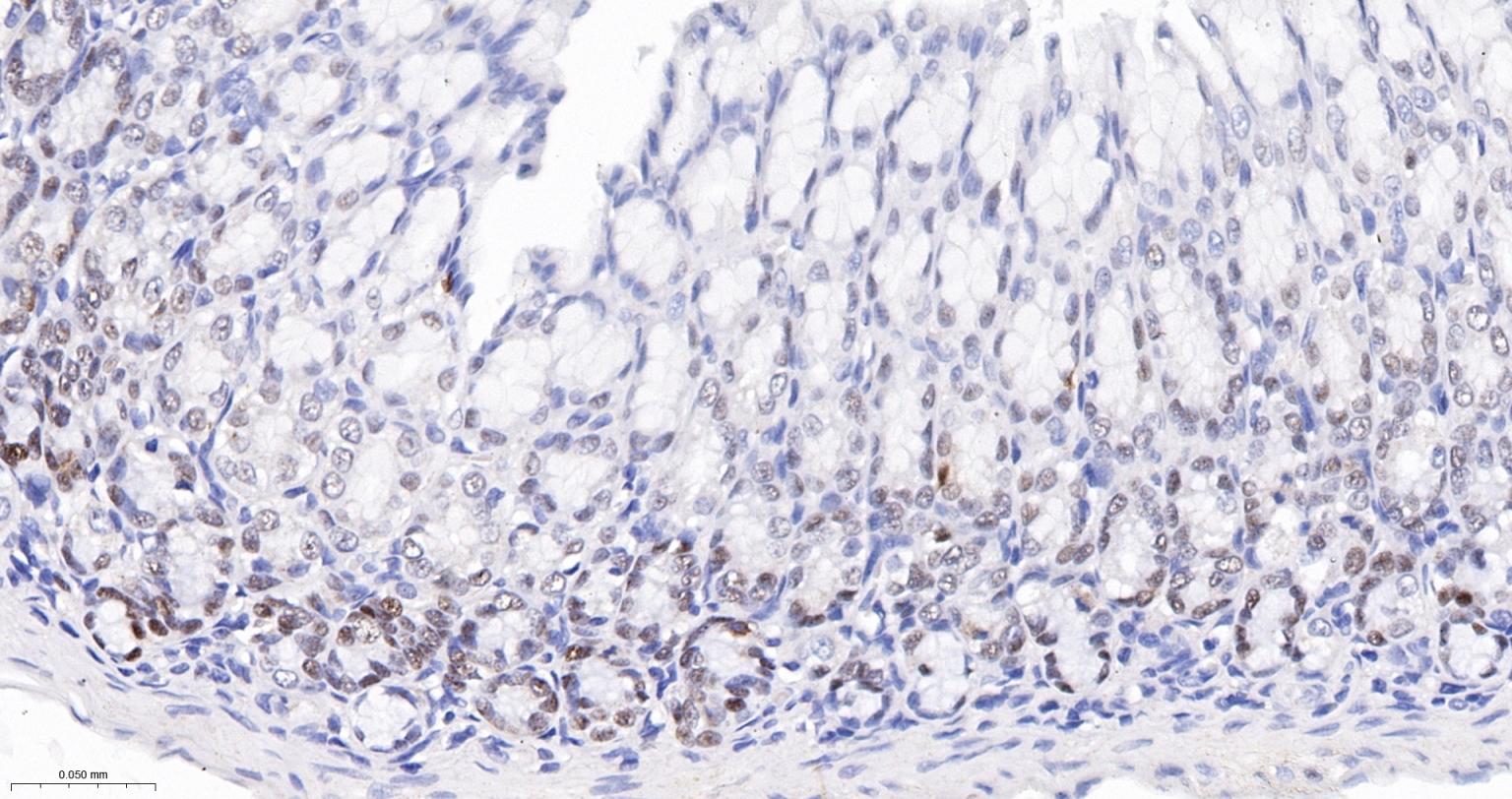
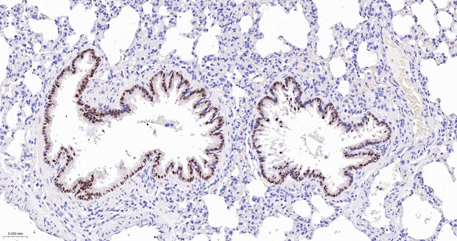
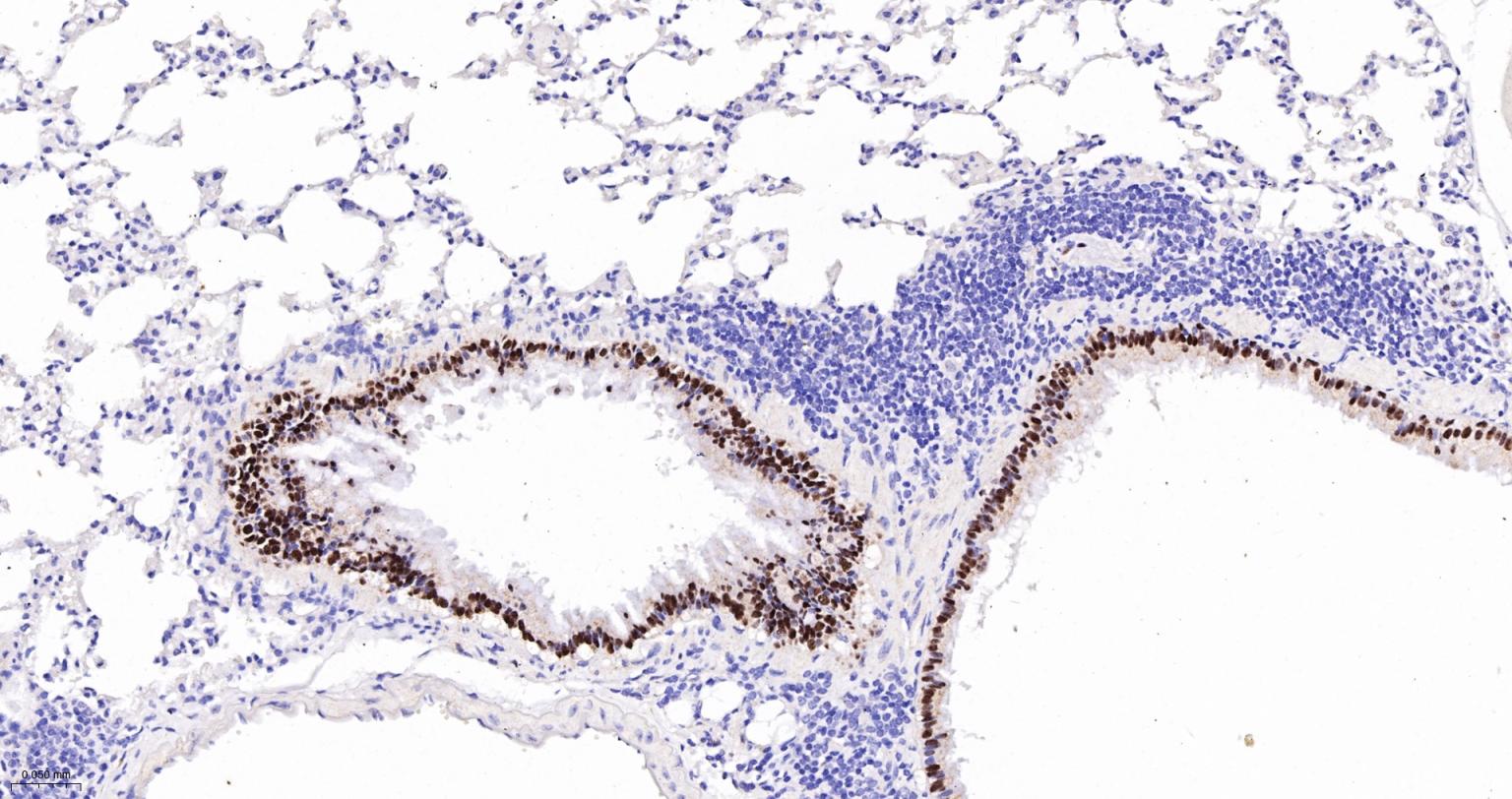
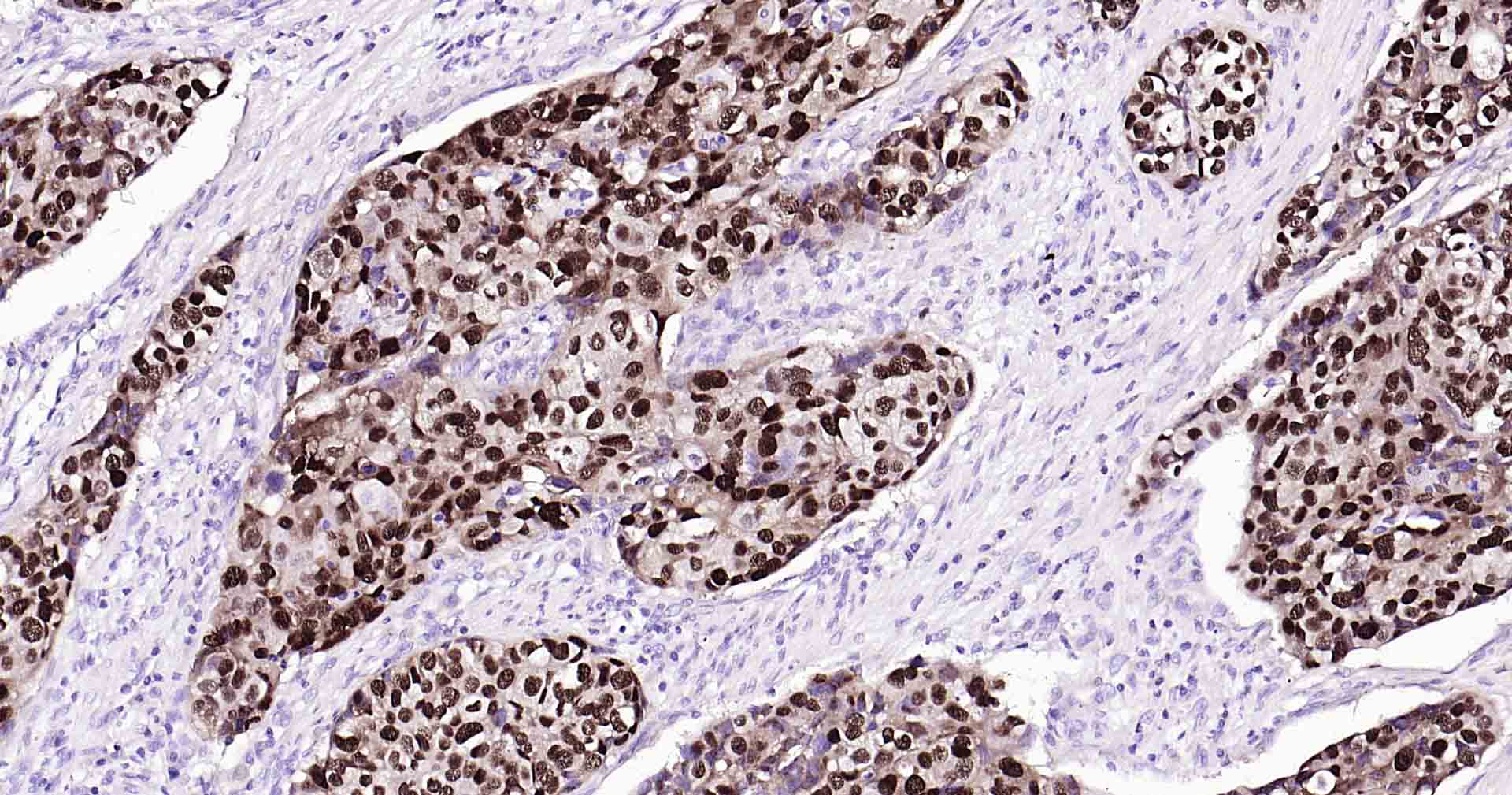
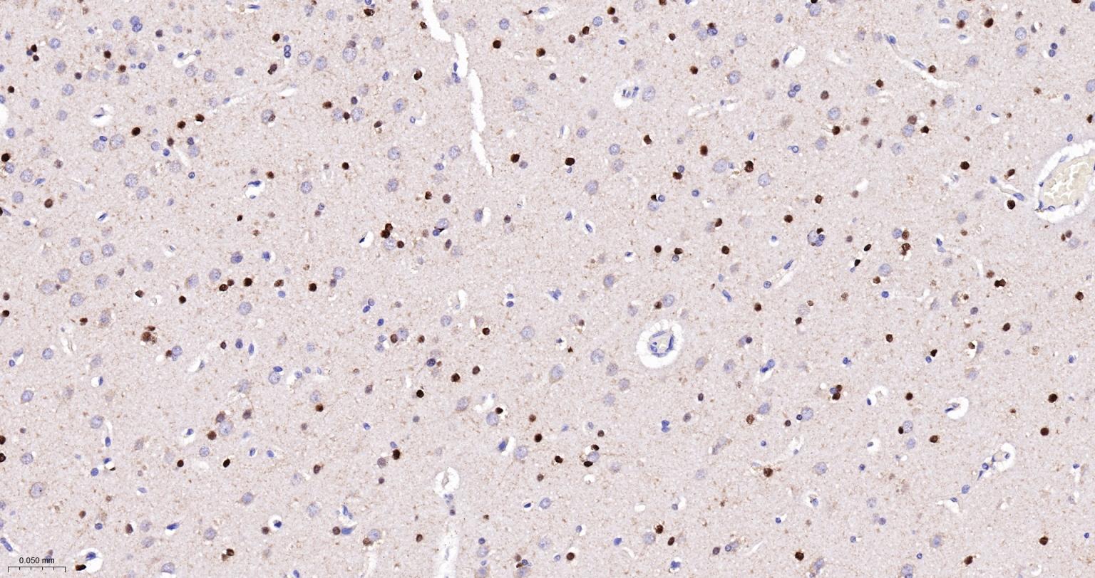
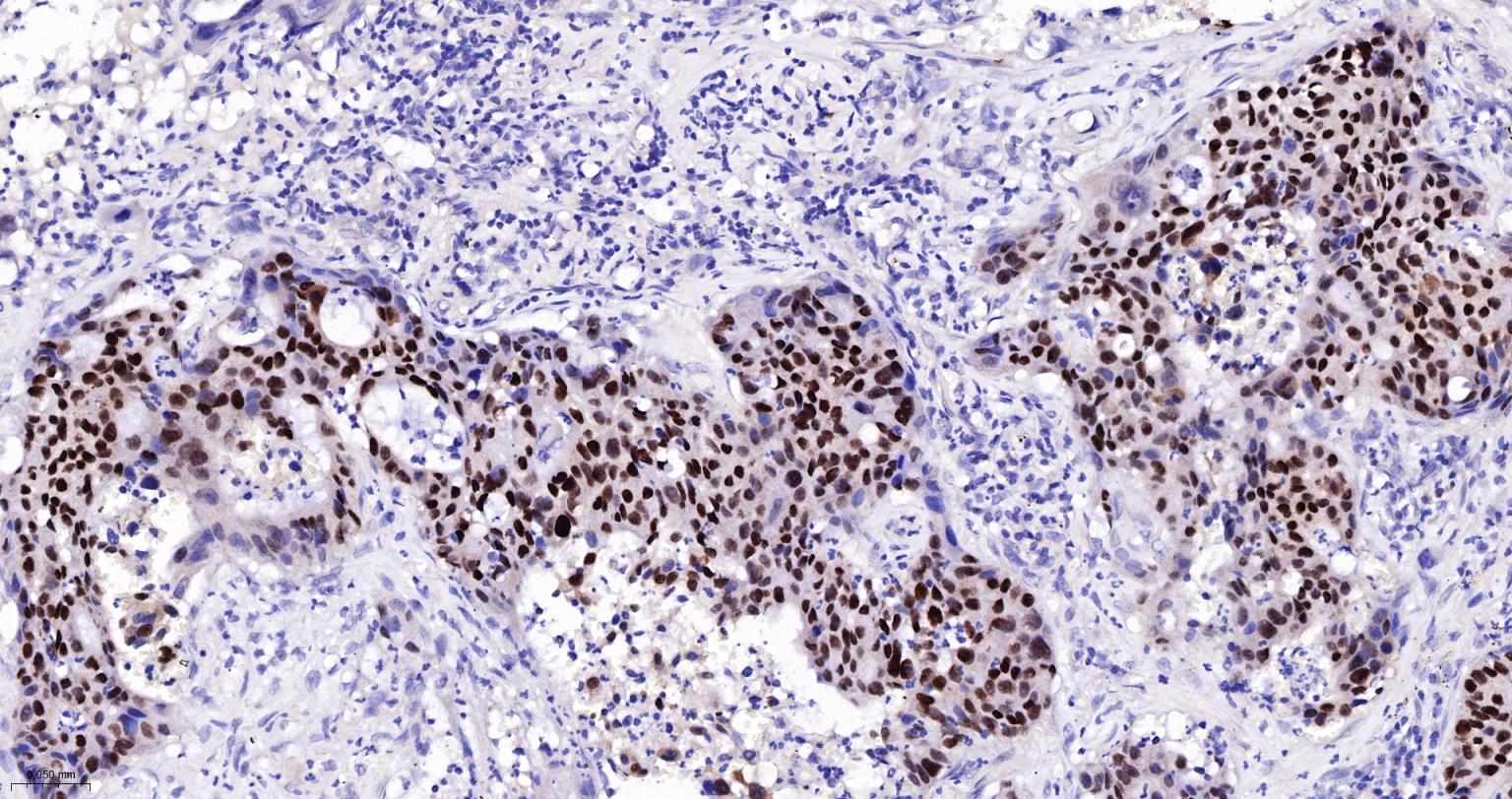
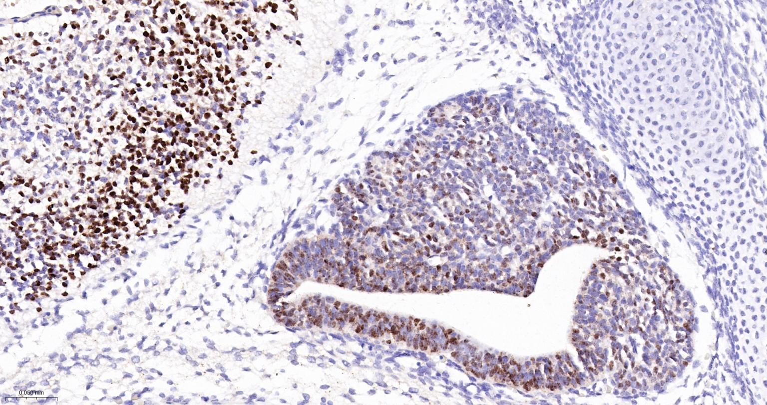
| IHC-P | Human, Mouse, Rat | 1:200-800 | |
| IHC-F | Human, Mouse, Rat | 1:200-800 | |
| IF | Human, Mouse, Rat | 1:200-800 | |
| Flow-Cyt | Human | Mouse, Rat | 1:50-100 |
| ICC/IF | Human | Mouse, Rat | 1:50-200 |
交叉反应: Human, Mouse, Rat
暂无相关产品
暂无标记数据
暂无同靶标产品
暂无相关文献
暂无常见问题