前列腺特异膜抗原重组兔单克隆抗体

Rrmab?兔单抗
2026-03-02~2026-04-30,KXJ26032026-03-02~2026-04-30,促销赠品
前列腺特异膜抗原重组兔单克隆抗体
货号:bsm-60787R
产品详情
相关标记
相关产品
相关文献
常见问题

概述

产品编号
bsm-60787R
产品类型
重组兔单抗
英文名称
FOLH1 Recombinant Rabbit mAb
中文名称
前列腺特异膜抗原重组兔单克隆抗体
英文别名
FGCP; FOLH; GCP2; GCPII; NAALAD1; PSM; PSMA; mGCP; FOLH1_HUMAN; FOLH1; Cell growth-inhibiting gene 27 protein; Folate hydrolase 1; Folylpoly-gamma-glutamate carboxypeptidase (FGCP); Glutamate carboxypeptidase II (GCPII); Membrane glutamate carboxypeptidase (mGCP); N-acetylated-alpha-linked acidic dipeptidase I (NAALADase I); Prostate-specific membrane antigen (PSM | PSMA); Pteroylpoly-gamma-glutamate carboxypeptidase; 3.4.17.21;
抗体来源
Rabbit
免疫原
KLH conjugated synthetic peptide derived from human FOLH1
亚型
IgG
性状
Liquid
纯化方法
affinity purified by Protein A
克隆类型
Recombinant
克隆号
B11A8
理论分子量
84 kDa
浓度
1mg/ml
储存液
PBS, Glycerol, BSA.
SWISS
Gene ID
保存条件
Shipped at 4℃. Store at -20℃ for one year. Avoid repeated freeze/thaw cycles.
注意事项
This product as supplied is intended for research use only, not for use in human, therapeutic or diagnostic applications.
背景资料
PMSA (FOLH1) is a type II transmembrane glycoprotein belonging to the M28 peptidase family. Three functionally distinct proteins are encoded, including folylpoly-gamma-glutamate carboxypeptidase in the intestine, N-acetylated alpha-linked acidic dipeptidase 1 in the brain, and prostate-specific membrane antigen in the prostate. A mutation in the intestinal form may be associated with impaired intestinal absorption of dietary folates, resulting in low blood folate levels and consequent hyperhomocysteinemia. The form expressed in the brain may be involved in a number of pathological conditions associated with glutamate excitotoxicity. The prostate form is up-regulated in cancerous cells and is used as an effective diagnostic and prognostic indicator of prostate cancer. This gene likely arose from a duplication event of a nearby chromosomal region. Alternative splicing gives rise to multiple transcript variants. Subunit : Homodimer.
前列腺特异膜抗原重组兔单克隆抗体

产品应用

应用已检合格种属预测种属推荐稀释比例
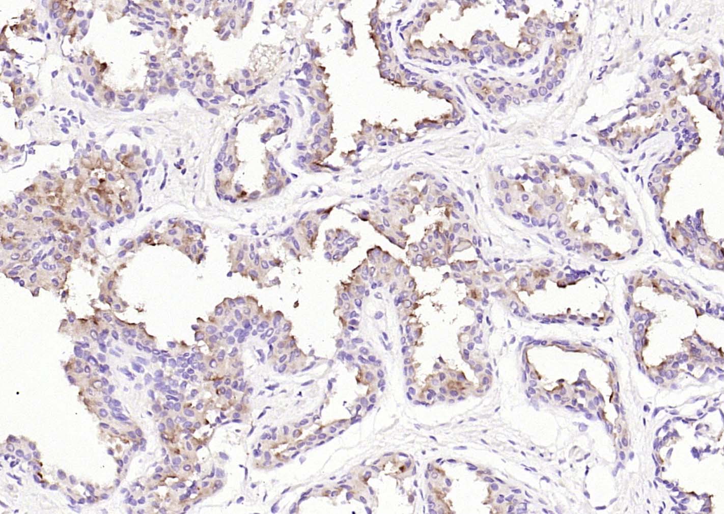
IHC-PHuman1:50-200
IHC-FHuman1:50-200
IFHuman1:50-200

交叉反应

交叉反应: Human

相关产品

暂无相关产品

靶标

基因名
FOLH1
蛋白名
Glutamate carboxypeptidase 2
亚基
Homodimer.
亚细胞定位
Cell membrane; Single-pass type II membrane protein. Isoform PSMA': Cytoplasm.
组织特异性
Highly expressed in prostate epithelium. Detected in urinary bladder, kidney, testis, ovary, fallopian tube, breast, adrenal gland, liver, esophagus, stomach, small intestine, colon and brain (at protein level). Detected in the small intestine, brain, kidney, liver, spleen, colon, trachea, spinal cord and the capillary endothelium of a variety of tumors. Expressed specifically in jejunum brush border membranes. In the brain, highly expressed in the ventral striatum and brain stem. Also expressed in fetal liver and kidney. Isoform PSMA' is the most abundant form in normal prostate. Isoform PSMA-1 is the most abundant form in primary prostate tumors. Isoform PSMA-2 is also found in normal prostate as well as in brain and liver. Isoform PSMA-9 is specifically expressed in prostate cancer.
相似性
Belongs to the peptidase M28 family. M28B subfamily.

标记抗体

暂无标记数据

同靶标产品

暂无同靶标产品

相关文献

提示: 发表研究结果有使用 bsm-60787R 时请让我们知道,以便我们可以引用参考文章。作为回馈,资料提供者将获得我们送上的小礼品。
具体参考文献:bsm-60787R 被引用于1文献中

暂无相关文献

常见问题

暂无常见问题