Bcl-6 Rabbit pAb (一抗) - WB,IHC-P,IHC-F,IF,ELISA | Bioss

2026-03-02~2026-04-30,KXJ26032026-03-02~2026-04-30,促销赠品
Bcl-6 Rabbit pAb (一抗) - WB,IHC-P,IHC-F,IF,ELISA | Bioss
货号:bs-2734R
产品详情
相关标记
相关产品
相关文献
常见问题

概述

产品编号
bs-2734R
英文名称
Bcl-6 Rabbit pAb
中文名称
原癌基因Bcl-6抗体
英文别名
BCL5; BCL6A; LAZ3; ZBTB27; ZNF51; BCL6_HUMAN; BCL6; BCL-6; B-cell lymphoma 5 protein (BCL-5); Protein LAZ-3; Zinc finger and BTB domain-containing protein 27; Zinc finger protein 51; BCL6_MOUSE;
抗体来源
Rabbit
免疫原
KLH conjugated synthetic peptide derived from human Bcl-6: 331-430/706
亚型
IgG
性状
Liquid
纯化方法
affinity purified by Protein A
克隆类型
Polyclonal
理论分子量
78 kDa
检测分子量
98 kDa
浓度
1mg/ml
储存液
0.01M TBS (pH7.4) with 1% BSA, 0.02% Proclin300 and 50% Glycerol.
SWISS
Gene ID
保存条件
Shipped at 4℃. Store at -20℃ for one year. Avoid repeated freeze/thaw cycles.
注意事项
This product as supplied is intended for research use only, not for use in human, therapeutic or diagnostic applications.
背景资料
The protein encoded by this gene is a zinc finger transcription factor and contains an N-terminal POZ domain. This protein acts as a sequence-specific repressor of transcription, and has been shown to modulate the transcription of START-dependent IL-4 responses of B cells. This protein can interact with a variety of POZ-containing proteins that function as transcription corepressors. This gene is found to be frequently translocated and hypermutated in diffuse large-cell lymphoma (DLCL), and may be involved in the pathogenesis of DLCL. Alternatively spliced transcript variants encoding different protein isoforms have been found for this gene. [provided by RefSeq].
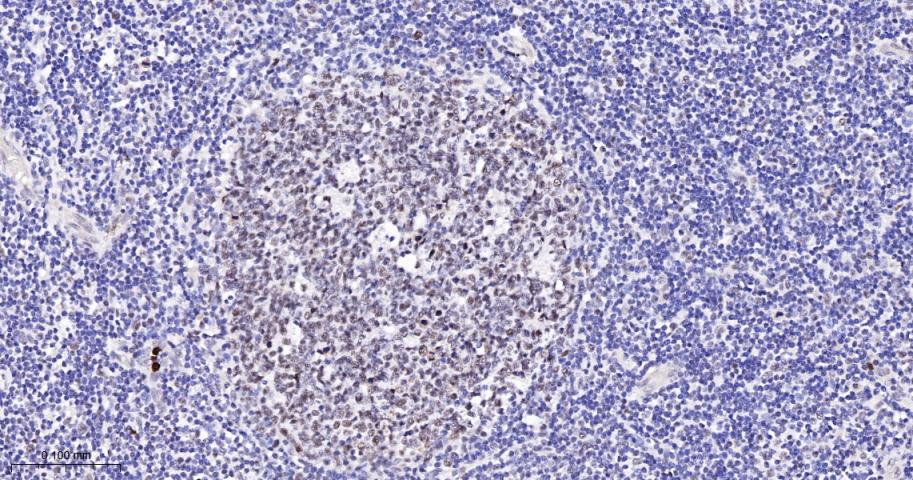
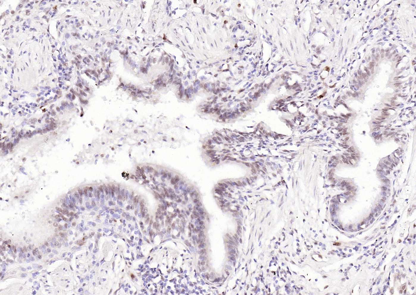
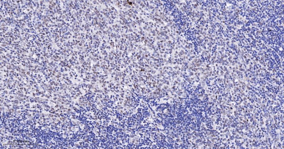
原癌基因Bcl-6抗体-bs-2734R原癌基因Bcl-6抗体-bs-2734R原癌基因Bcl-6抗体-bs-2734R原癌基因Bcl-6抗体-bs-2734R原癌基因Bcl-6抗体-bs-2734R

产品应用

应用已检合格种属预测种属推荐稀释比例
WBMouseHuman1:500-1000
IHC-PHuman, Mouse1:100-500
IHC-FHuman, Mouse1:100-500
IFHuman, Mouse1:100-500
ELISAHuman, Mouse1:5000-10000

交叉反应

交叉反应: Human, Mouse

相关产品

暂无相关产品

靶标

基因名
BCL6
蛋白名
B-cell lymphoma 6 protein
亚基
Homodimer. Interacts (via BTB domain) with BCOR; the interaction is direct. Interacts (via BTB domain) with NCOR2; the interaction is direct. Interacts with ZBTB7 and BCL6B (By similarity). Interacts with the catalytic domain of HDAC9.
亚细胞定位
Nucleus (By similarity).
组织特异性
Expressed in germinal center T and B-cells and in primary immature dendritic cells.
翻译后修饰
Phosphorylated by MAPK1 in response to antigen receptor activation at Ser-333 and Ser-343. Phosphorylation induces its degradation by ubiquitin/proteasome pathway.
Polyubiquitinated. Polyubiquitination leads to degradation by the proteasome.
疾病
Note=Chromosomal aberrations involving BCL6 may be a cause of B-cell non-Hodgkin lymphoma. Translocation t(3;14)(q27;q32); translocation t(3;22)(q27;q11) with immunoglobulin gene regions.
Note=A chromosomal aberration involving BCL6 may be a cause of a form of B-cell leukemia. Translocation t(3;11)(q27;q23) with POU2AF1/OBF1.
Note=A chromosomal aberration involving BCL6 may be a cause of lymphoma. Translocation t(3;4)(q27;p11) with ARHH/TTF.
相似性
Contains 1 BTB (POZ) domain.
Contains 6 C2H2-type zinc fingers.
功能
Transcriptional repressor which is required for germinal center formation and antibody affinity maturation. Probably plays an important role in lymphomagenesis.

同靶标产品

相关文献

提示: 发表研究结果有使用 bs-2734R 时请让我们知道,以便我们可以引用参考文章。作为回馈,资料提供者将获得我们送上的小礼品。
具体参考文献:bs-2734R 被引用于6文献中

常见问题