丝氨酸/苏氨酸蛋白激酶MARK2重组兔单抗

Rrmab?兔单抗
2026-03-02~2026-04-30,KXJ26032026-03-02~2026-04-30,促销赠品
丝氨酸/苏氨酸蛋白激酶MARK2重组兔单抗
货号:bsm-54447R
产品详情
相关标记
相关产品
相关文献
常见问题

概述

产品编号
bsm-54447R
产品类型
重组兔单抗
英文名称
MARK2 Recombinant Rabbit mAb
中文名称
丝氨酸/苏氨酸蛋白激酶MARK2重组兔单抗
英文别名
EMK-1; EMK1; MRD76; PAR-1; Par-1b; Par1b; Emk; MARK2_HUMAN; MARK2; ELKL motif kinase 1 (EMK-1); MAP/microtubule affinity-regulating kinase 2; PAR1 homolog; PAR1 homolog b (Par-1b | Par1b); 2.7.11.1; 2.7.11.26; MARK2_MOUSE; PAR1 homolog b (Par-1b | mPar-1b); MARK2_RAT;
抗体来源
Rabbit
免疫原
Recombinant human MARK2
亚型
IgG
性状
Liquid
纯化方法
affinity purified by Protein A
克隆类型
Recombinant
克隆号
9B9
理论分子量
88 kDa
浓度
1mg/ml
储存液
0.01M TBS (pH7.4) with 1% BSA, 0.02% Proclin300 and 50% Glycerol.
SWISS
Gene ID
保存条件
Shipped at 4℃. Store at -20℃ for one year. Avoid repeated freeze/thaw cycles.
注意事项
This product as supplied is intended for research use only, not for use in human, therapeutic or diagnostic applications.
背景资料
This gene encodes a member of the Par-1 family of serine/threonine protein kinases. The protein is an important regulator of cell polarity in epithelial and neuronal cells, and also controls the stability of microtubules through phosphorylation and inactivation of several microtubule-associating proteins. The protein localizes to cell membranes. Multiple transcript variants encoding different isoforms have been found for this gene. [provided by RefSeq, Jul 2009].
丝氨酸/苏氨酸蛋白激酶MARK2重组兔单抗丝氨酸/苏氨酸蛋白激酶MARK2重组兔单抗

产品应用

应用已检合格种属预测种属推荐稀释比例
WBHuman, Mouse, Rat1:500-1000
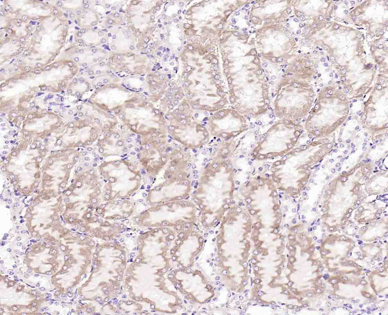
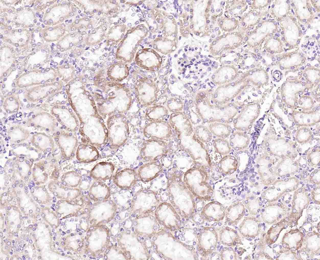
IHC-PMouse, RatHuman1:50-200
IHC-FMouse, RatHuman1:400-800
IFMouse, RatHuman1:100-500
Flow-CytHuman, Mouse, Rat1:100-200

交叉反应

交叉反应: Human, Mouse, Rat

相关产品

暂无相关产品

靶标

基因名
MARK2
蛋白名
Serine/threonine-protein kinase MARK2
亚基
Homodimer. Interacts with PAK7/PAK5; leading to inhibit the protein kinase activity. Interacts (when phosphorylated at Thr-596) with YWHAZ. In case of infection, interacts with H.pylori CagA, leading to inhibit kinase activity and junctional and polarity defects.
亚细胞定位
Cell membrane; Peripheral membrane protein. Cytoplasm. Note=Phosphorylation at Thr-596 by PRKCZ/aPKC and subsequent interaction with 14-3-3 protein YWHAZ promotes relocation from the cell membrane to the cytoplasm.
组织特异性
High levels of expression in heart, brain, skeletal muscle and pancreas, lower levels observed in lung, liver and kidney.
翻译后修饰
Autophosphorylated. Phosphorylated at Thr-208 by STK11/LKB1 in complex with STE20-related adapter-alpha (STRADA) pseudo kinase and CAB39. Phosphorylation at Thr-208 by TAOK1 activates the kinase activity, leading to phosphorylation and detachment of MAPT/TAU from microtubules. Phosphorylation at Ser-212 by GSK3-beta (GSK3B) inhibits the kinase activity. Phosphorylation by CaMK1 promotes activity and is required to promote neurite outgrowth. Phosphorylation at Thr-596 by PRKCZ/aPKC in polarized epithelial cells inhibits the kinase activity and promotes binding to 14-3-3 protein YWHAZ, leading to relocation from cell membrane to cytoplasm.
相似性
Belongs to the protein kinase superfamily. CAMK Ser/Thr protein kinase family. SNF1 subfamily.
Contains 1 KA1 (kinase-associated) domain.
Contains 1 protein kinase domain.
Contains 1 UBA domain.
功能
Serine/threonine-protein kinase involved in cell polarity and microtubule dynamics regulation. Phosphorylates CRTC2/TORC2, DCX, HDAC7, KIF13B, MAP2, MAP4, MAPT/TAU, and RAB11FIP2. Plays a key role in cell polarity by phosphorylating the microtubule-associated proteins MAP2, MAP4 and MAPT/TAU at KXGS motifs, causing detachment from microtubules, and their disassembly. Regulates epithelial cell polarity by phosphorylating RAB11FIP2. Involved in the regulation of neuronal migration through its dual activities in regulating cellular polarity and microtubule dynamics, possibly by phosphorylating and regulating DCX. Regulates axogenesis by phosphorylating KIF13B, promoting interaction between KIF13B and 14-3-3 and inhibiting microtubule-dependent accumulation of KIF13B. Also required for neurite outgrowth and establishment of neuronal polarity. Regulates localization and activity of some histone deacetylases by mediating phosphorylation of HDAC7, promoting subsequent interaction between HDAC7 and 14-3-3 and export from the nucleus. Also acts as a positive regulator of the Wnt signaling pathway, probably by mediating phosphorylation of dishevelled proteins (DVL1, DVL2 and/or DVL3). Modulates the developmental decision to build a columnar versus a hepatic epithelial cell apparently by promoting a switch from a direct to a transcytotic mode of apical protein delivery. Essential for the asymmetric development of membrane domains of polarized epithelial cells.

标记抗体

暂无标记数据

同靶标产品

暂无同靶标产品

相关文献

提示: 发表研究结果有使用 bsm-54447R 时请让我们知道,以便我们可以引用参考文章。作为回馈,资料提供者将获得我们送上的小礼品。

暂无相关文献

常见问题

暂无常见问题