HLA-DR Recombinant Rabbit mAb (一抗) - WB,IHC-P,IHC-F,IF | Bioss

Rrmab?兔单抗
2026-05-01~2026-06-30,AB26052026-05-01~2026-06-30,WB精选(促销赠品)
HLA-DR Recombinant Rabbit mAb (一抗) - WB,IHC-P,IHC-F,IF | Bioss
货号:bsm-52535R
产品详情
相关标记
相关产品
相关文献
常见问题

概述

产品编号
bsm-52535R
产品类型
重组兔单抗、病理级抗体、mIHC精品抗体
英文名称
HLA-DR Recombinant Rabbit mAb
中文名称
HLA-DR重组兔单抗
英文别名
HLA-DRA1; DRA_HUMAN; HLA-DRA; MHC class II antigen DRA; major histocompatibility complex, class II, DR alpha
抗体来源
Rabbit
免疫原
A synthesized peptide derived from human HLA DRA: 150-190/254
亚型
IgG
性状
Liquid
纯化方法
affinity purified by Protein A
克隆类型
Recombinant
克隆号
32G3
理论分子量
29 kDa
检测分子量
35 kDa
浓度
1mg/ml
储存液
0.01M TBS (pH7.4) with 1% BSA, 0.02% Proclin300 and 50% Glycerol.
SWISS
Gene ID
保存条件
Shipped at 4℃. Store at -20℃ for one year. Avoid repeated freeze/thaw cycles.
注意事项
This product as supplied is intended for research use only, not for use in human, therapeutic or diagnostic applications.
产品介绍
HLA-DR抗原主要存在于内皮细胞、B淋巴细胞、单核细胞。HLA-DR分子为二聚体结构,由非多态性的DRα链和多态性的DRβ链组成.
背景资料
HLA-DRA is one of the HLA class II alpha chain paralogues. This class II molecule is a heterodimer consisting of an alpha and a beta chain, both anchored in the membrane. It plays a central role in the immune system by presenting peptides derived from extracellular proteins. Class II molecules are expressed in antigen presenting cells (APC: B lymphocytes, dendritic cells, macrophages). The alpha chain is approximately 33-35 kDa and its gene contains 5 exons. Exon 1 encodes the leader peptide, exons 2 and 3 encode the two extracellular domains, and exon 4 encodes the transmembrane domain and the cytoplasmic tail. DRA does not have polymorphisms in the peptide binding part and acts as the sole alpha chain for DRB1, DRB3, DRB4 and DRB5. [provided by RefSeq]
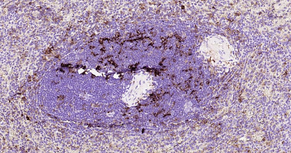
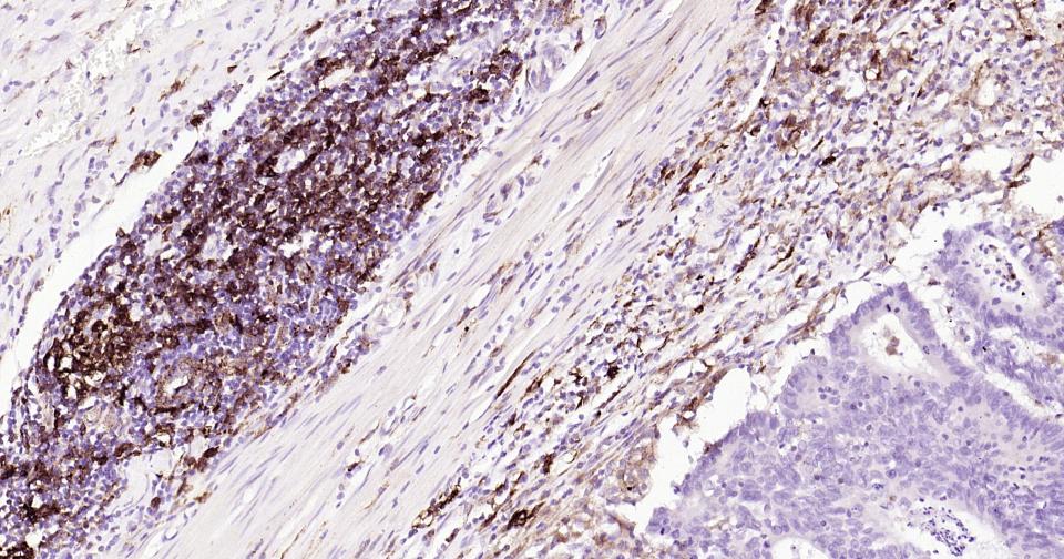
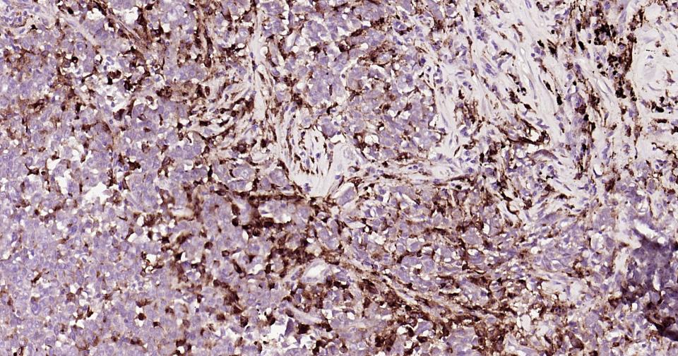
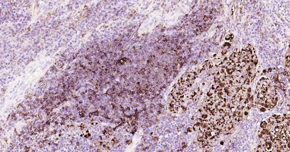
HLA-DR重组兔单抗-bsm-52535RHLA-DR重组兔单抗-bsm-52535RHLA-DR重组兔单抗-bsm-52535RHLA-DR重组兔单抗-bsm-52535RHLA-DR重组兔单抗-bsm-52535RHLA-DR重组兔单抗-bsm-52535RHLA-DR重组兔单抗-bsm-52535RHLA-DR重组兔单抗-bsm-52535RHLA-DR重组兔单抗-bsm-52535RHLA-DR重组兔单抗-bsm-52535R

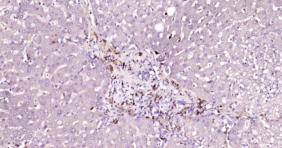
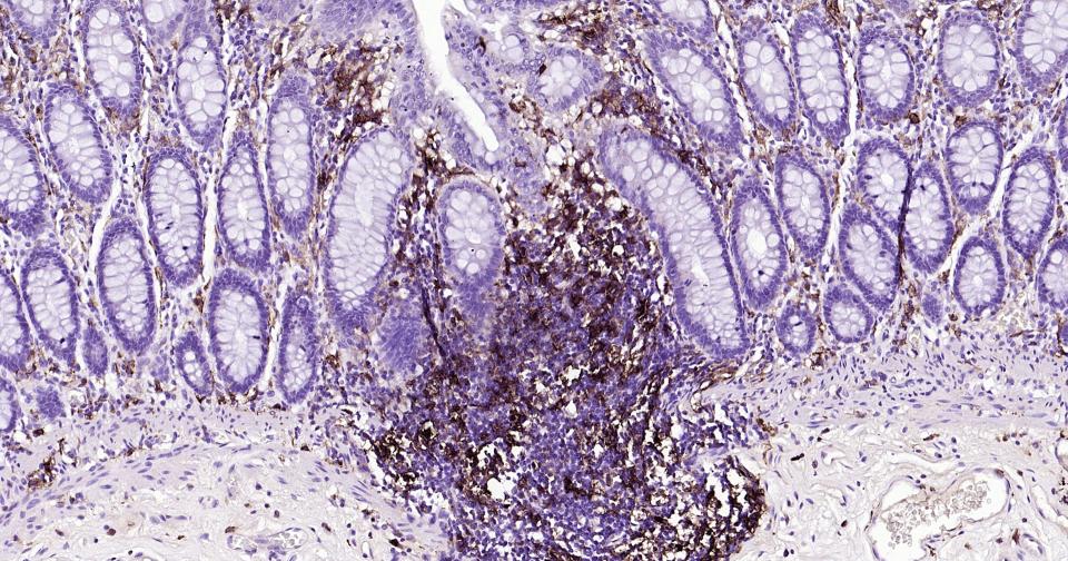
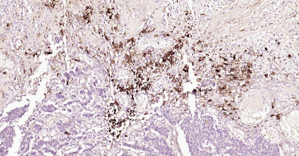
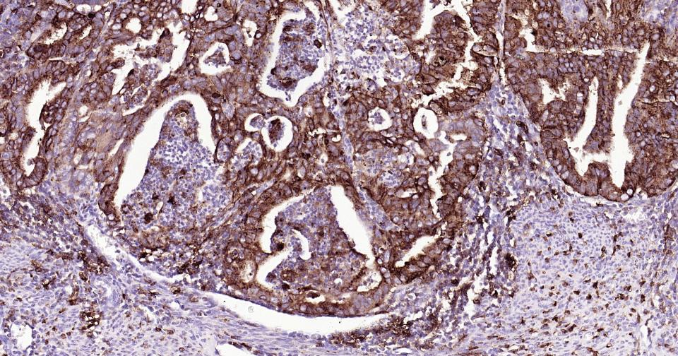
产品应用

应用已检合格种属预测种属推荐稀释比例
WBHuman1:1000-5000
IHC-PHuman1:1000-5000
IHC-FHuman1:1000-5000
IFHuman1:500-2000

交叉反应

交叉反应: Human

相关产品

暂无相关产品

靶标

基因名
HLA-DRA
蛋白名
HLA class II histocompatibility antigen, DR alpha chain
亚基
Heterodimer of an alpha and a beta subunit; also referred as MHC class II molecule. In the endoplasmic reticulum (ER) it forms an heterononamer; 3 MHC class II molecules bind to a CD74 homotrimer (also known as invariant chain or HLA class II histocompatibility antigen gamma chain).
亚细胞定位
Cell membrane; Single-pass type I membrane protein. Endoplasmic reticulum membrane; Single-pass type I membrane protein. Golgi apparatus, trans-Golgi network membrane; Single-pass type I membrane protein. Endosome membrane; Single-pass type I membrane protein. Lysosome membrane; Single-pass type I membrane protein. Late endosome membrane; Single-pass type I membrane protein. Note=The MHC class II complex transits through a number of intracellular compartments in the endocytic pathway until it reaches the cell membrane for antigen presentation.
翻译后修饰
Ubiquitinated by MARCH1 or MARCH8 at Lys-244 leading to down-regulation of MHC class II. When associated with ubiquitination of the beta subunit of HLA-DR: HLA-DRB4 'Lys-254', the down-regulation of MHC class II may be highly effective.
相似性
Belongs to the MHC class II family.
Contains 1 Ig-like C1-type (immunoglobulin-like) domain.
功能
Binds peptides derived from antigens that access the endocytic route of antigen presenting cells (APC) and presents them on the cell surface for recognition by the CD4 T-cells. The peptide binding cleft accommodates peptides of 10-30 residues. The peptides presented by MHC class II molecules are generated mostly by degradation of proteins that access the endocytic route, where they are processed by lysosomal proteases and other hydrolases. Exogenous antigens that have been endocytosed by the APC are thus readily available for presentation via MHC II molecules, and for this reason this antigen presentation pathway is usually referred to as exogenous. As membrane proteins on their way to degradation in lysosomes as part of their normal turn-over are also contained in the endosomal/lysosomal compartments, exogenous antigens must compete with those derived from endogenous components. Autophagy is also a source of endogenous peptides, autophagosomes constitutively fuse with MHC class II loading compartments.

同靶标产品

相关文献

提示: 发表研究结果有使用 bsm-52535R 时请让我们知道,以便我们可以引用参考文章。作为回馈,资料提供者将获得我们送上的小礼品。
具体参考文献:bsm-52535R 被引用于4文献中

常见问题