Epigenetics and Nuclear Signaling > Transcription > Domain Families > Forkhead Box > Other FOXes
Epigenetics and Nuclear Signaling > Transcription > Transcription Factors
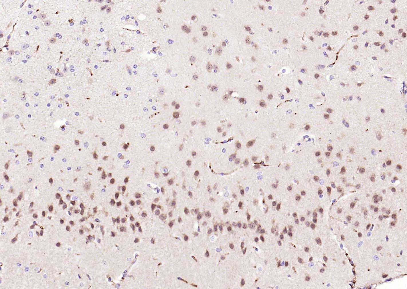
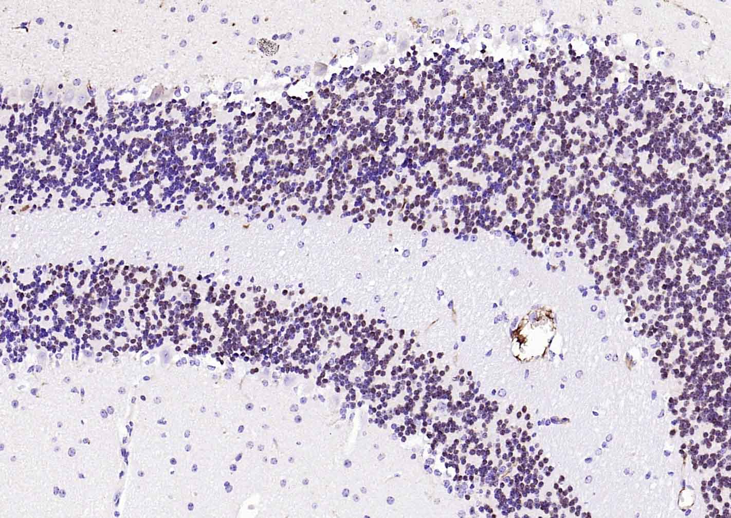
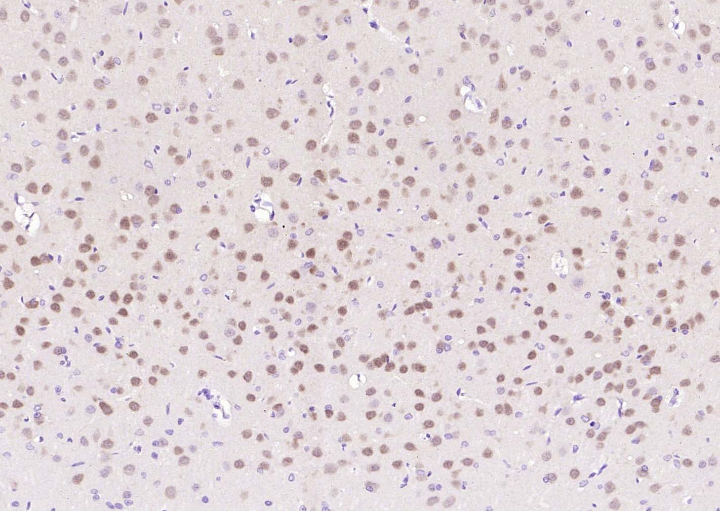
Neuroscience > Cell Type Marker > Neuron marker > Soma marker
Signal Transduction > Antibodies > neun
Tags & Cell Markers > Cell Type Markers > Neuroscience Markers > Neuronal




| 应用 | 已检合格种属 | 预测种属 | 推荐稀释比例 |
|---|---|---|---|
| IHC-P | Mouse, Rat | Human | 1:50-200 |
| IHC-F | Mouse, Rat | Human | 1:50-200 |
| IF | Mouse, Rat | Human | 1:50-200 |
交叉反应: Mouse, Rat (predicted: Human)
暂无相关产品