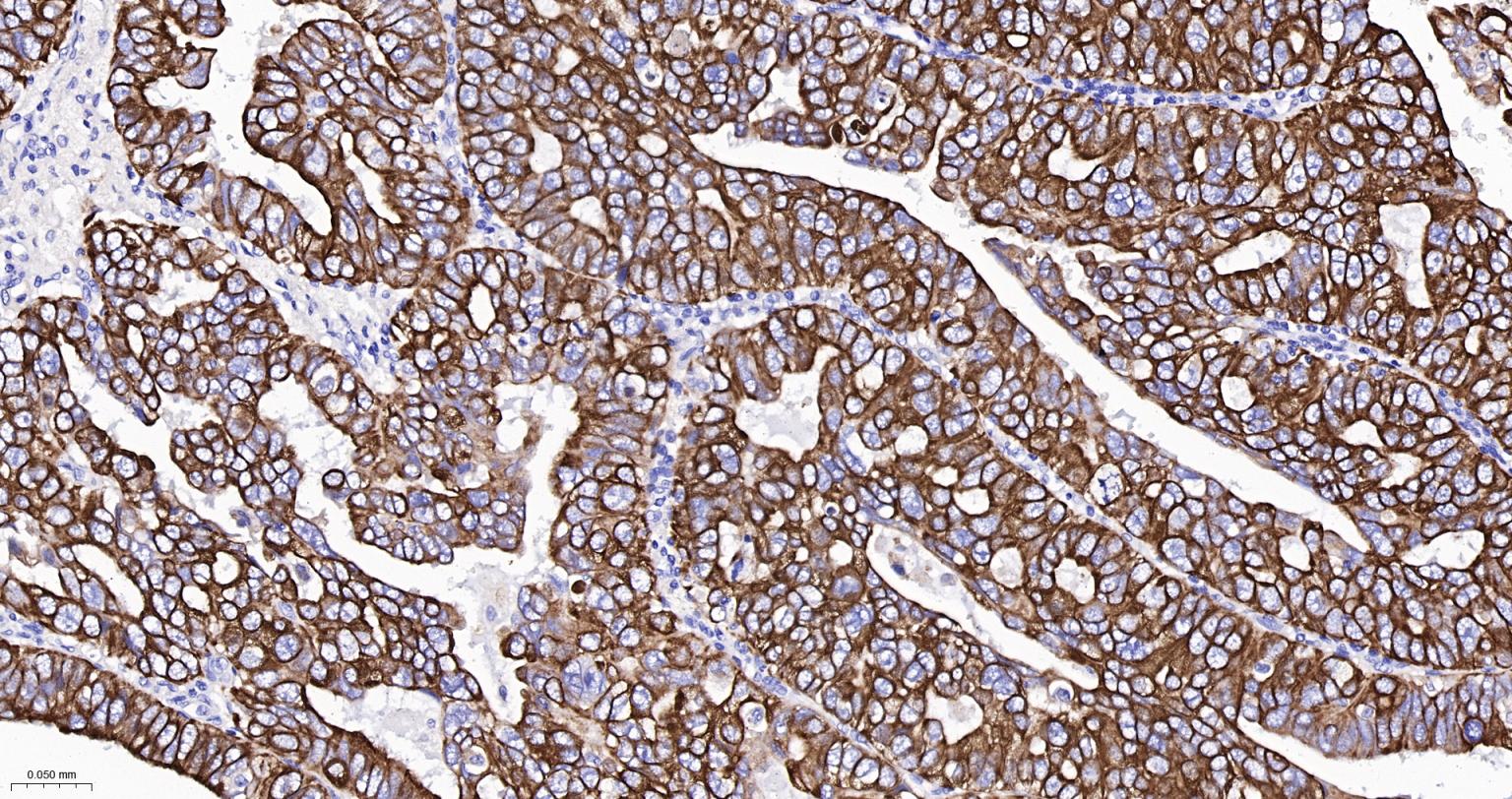
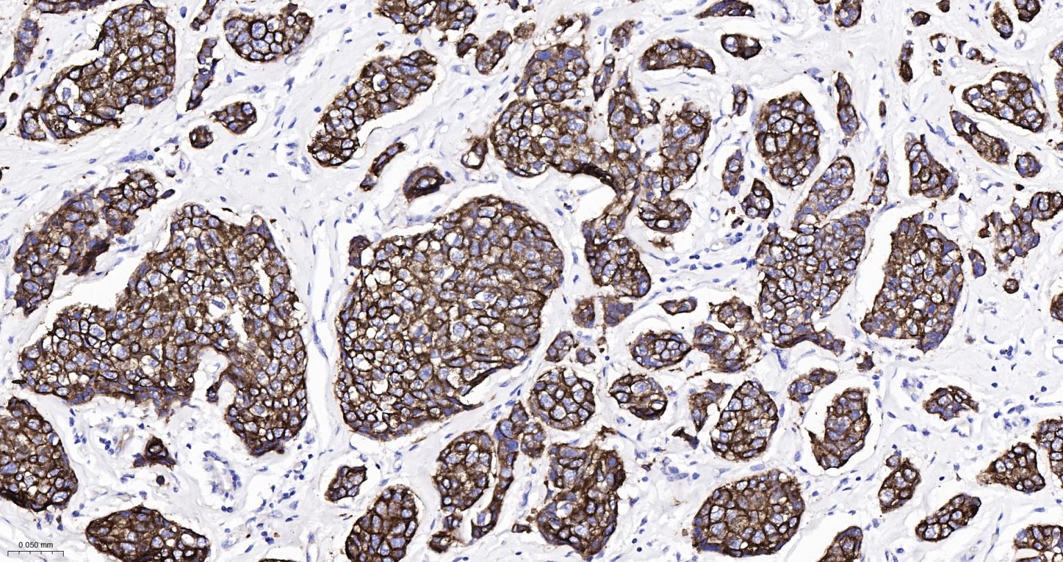
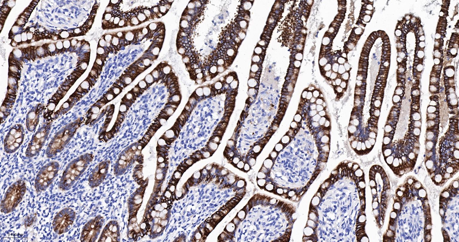
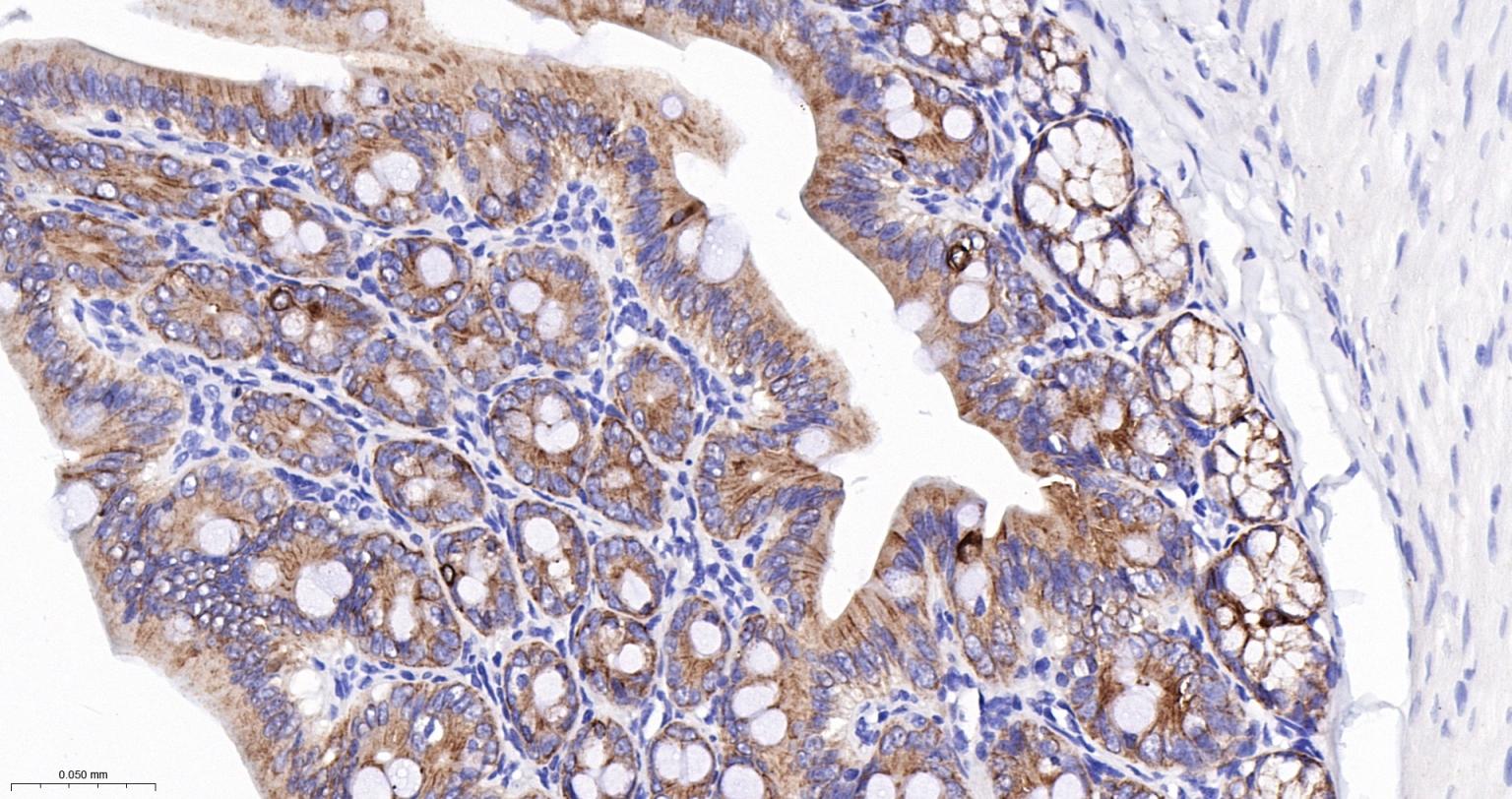
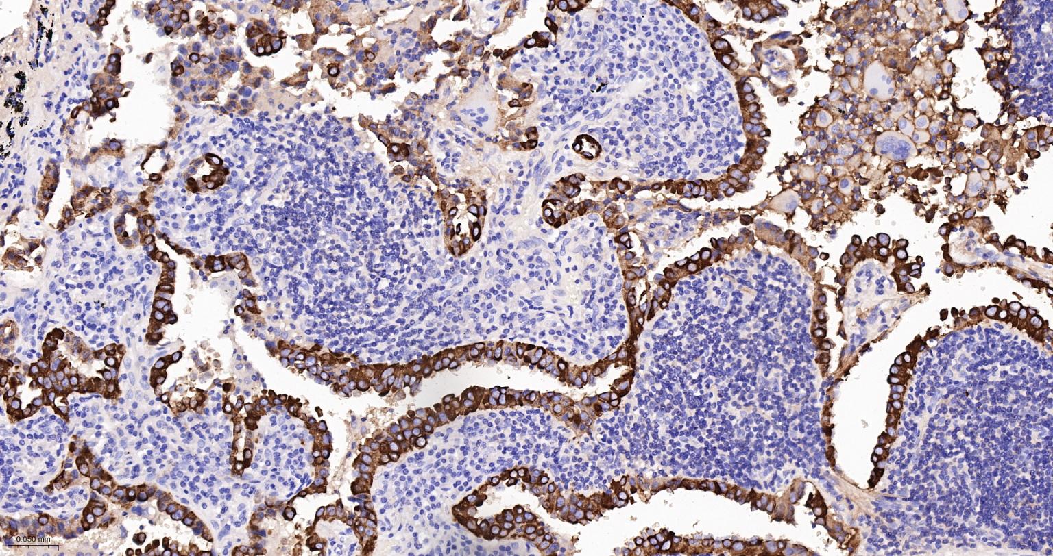
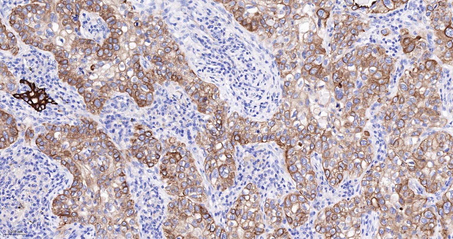
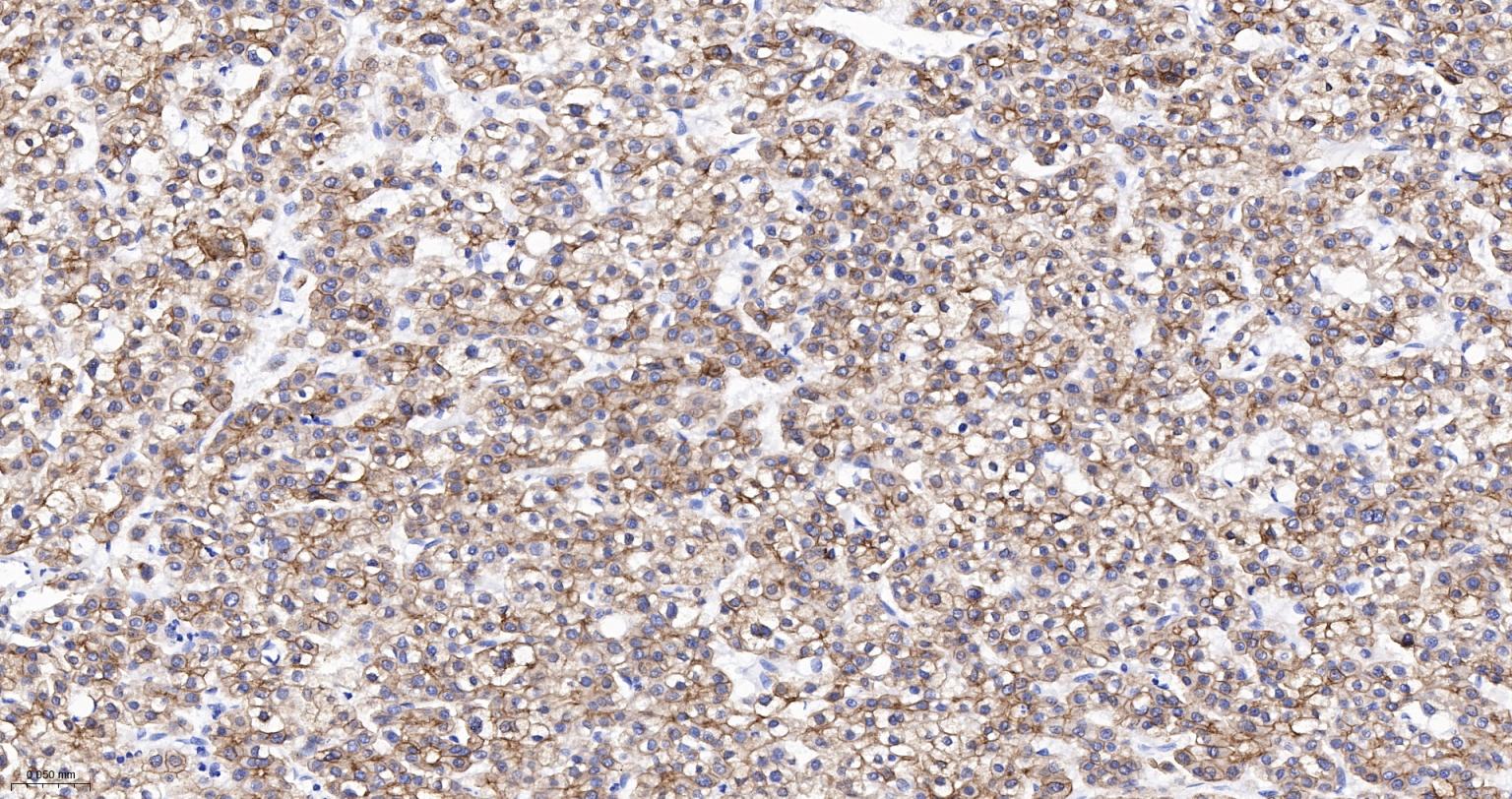
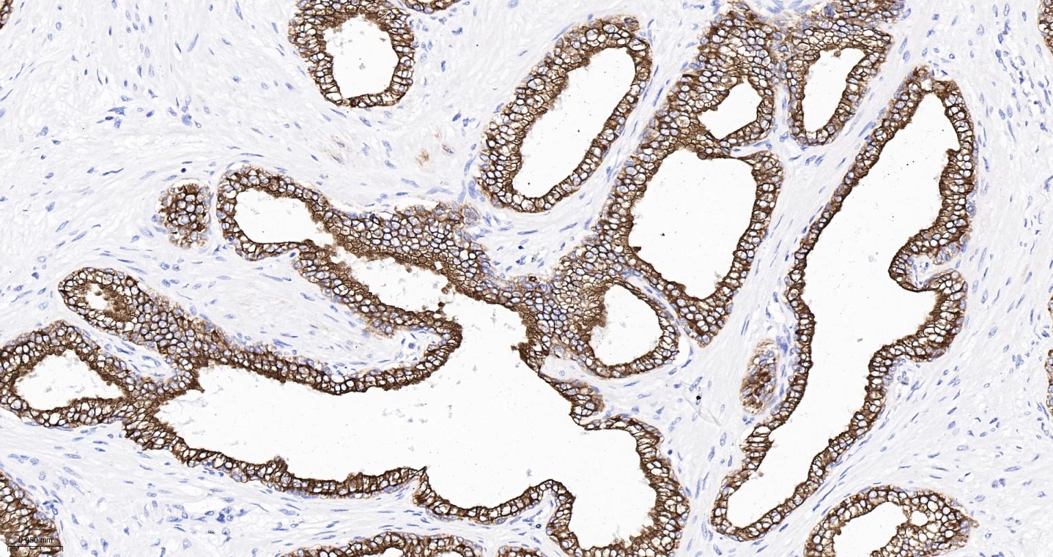
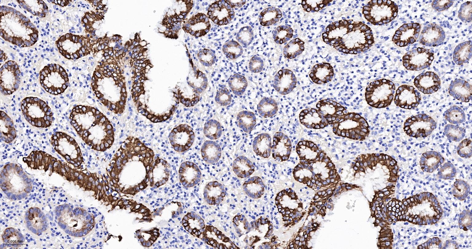
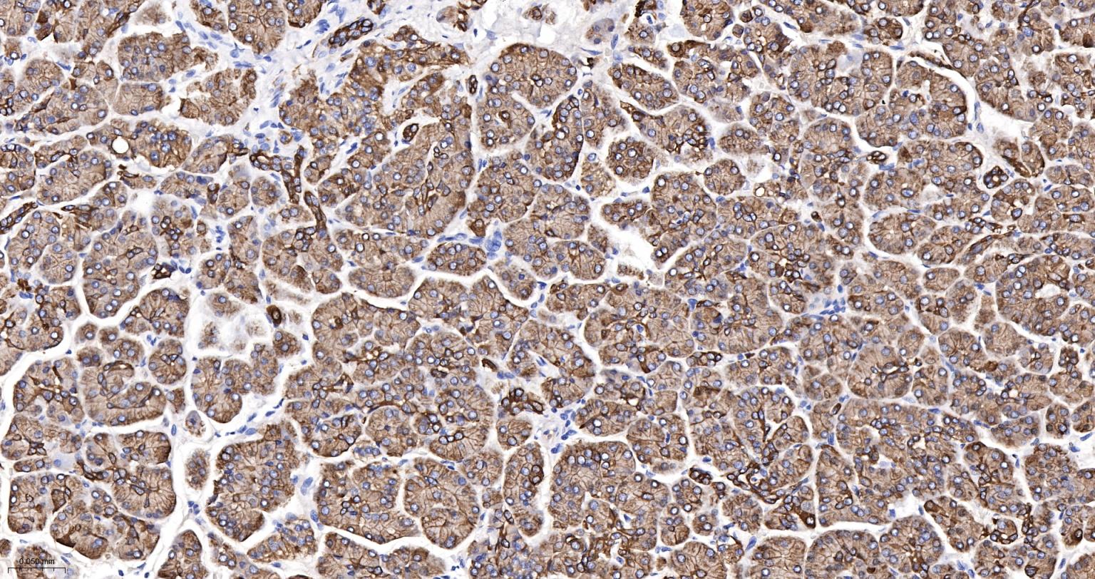
Cancer > Invasion/microenvironment > ECM > Cell adhesion > Cadherins
Developmental Biology > Organogenesis > Excretory system development > Kidney development
Signal Transduction > Antibodies > e cadherin
Signal Transduction > Cytoskeleton / ECM > Cell Adhesion > Cadherins
Signal Transduction > Signaling Pathway > Calcium Signaling > Calcium Binding Proteins











| 应用 | 已检合格种属 | 预测种属 | 推荐稀释比例 |
|---|---|---|---|
| IHC-P | Human, Mouse, Rat | Monkey | 1:500-2000 |
| IHC-F | Human, Mouse, Rat | Monkey | 1:500-2000 |
| IF | Human, Mouse, Rat | Monkey | 1:500-2000 |
交叉反应: Human, Mouse, Rat (predicted: Monkey)
暂无相关产品