滋养层细胞糖蛋白5T4重组兔单抗

Rrmab?兔单抗
2026-03-02~2026-04-30,KXJ26032026-03-02~2026-04-30,促销赠品
滋养层细胞糖蛋白5T4重组兔单抗
货号:bsm-52422R
产品详情
相关标记
相关产品
相关文献
常见问题

概述

产品编号
bsm-52422R
产品类型
重组兔单抗、mIHC精品抗体
英文名称
5T4 Recombinant Rabbit mAb
中文名称
滋养层细胞糖蛋白5T4重组兔单抗
英文别名
TPBG_HUMAN; TPBG; 5T4 oncofetal antigen; 5T4 oncofetal trophoblast glycoprotein (5T4 oncotrophoblast glycoprotein); M6P1; Wnt-activated inhibitory factor 1 (WAIF1); 5T4; TPBG_MOUSE; TPBG_RAT;
抗体来源
Rabbit
免疫原
KLH conjugated synthetic peptide derived from human TPBG/5T4
亚型
IgG
性状
Liquid
纯化方法
affinity purified by Protein A
克隆类型
Recombinant
克隆号
23B1
浓度
1mg/ml
储存液
0.01M TBS (pH7.4) with 1% BSA, 0.02% Proclin300 and 50% Glycerol.
SWISS
Gene ID
保存条件
Shipped at 4℃. Store at -20℃ for one year. Avoid repeated freeze/thaw cycles.
注意事项
This product as supplied is intended for research use only, not for use in human, therapeutic or diagnostic applications.
背景资料
TPBG is a 420 amino acid single-pass type I membrane protein expressed by all types of trophoblasts as early as 9 weeks of development. TPBG contains an N-terminal putative signal sequence, a 310-residue extracellular region, a membrane anchorage domain and a 44-amino acid cytoplasmic tail with a potential phosphorylation site. The extracellular region has seven potential N-glycosylation sites and seven leucine-rich repeats, which are located in two regions separated by a hydrophilic stretch. Suggested to be involved in cell adhesion, TPBG may also be associated with tumor growth and progression.
滋养层细胞糖蛋白5T4重组兔单抗滋养层细胞糖蛋白5T4重组兔单抗滋养层细胞糖蛋白5T4重组兔单抗

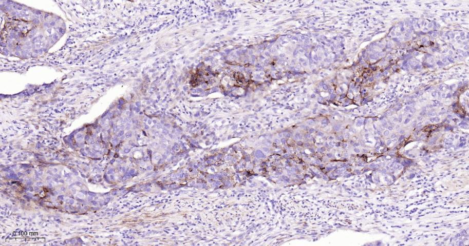
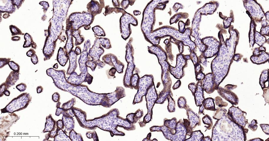
产品应用

应用已检合格种属预测种属推荐稀释比例
WBHuman1:500-2000
IHC-PHuman1:100-500
IHC-FHuman1:100-500

交叉反应

交叉反应: Human

相关产品

暂无相关产品

靶标

基因名
Tpbg
蛋白名
Trophoblast glycoprotein
亚细胞定位
Membrane.
组织特异性
Expressed by all types of trophoblasts as early as 9 weeks of development. Specific for trophoblastic cells except for amniotic epithelium. In adult tissues, the expression is limited to a few epithelial cell types but is found on a variety of carcinoma.
相似性
Contains 6 LRR (leucine-rich) repeats.
Contains 1 LRRCT domain.
Contains 1 LRRNT domain.

标记抗体

暂无标记数据

同靶标产品

暂无同靶标产品

相关文献

提示: 发表研究结果有使用 bsm-52422R 时请让我们知道,以便我们可以引用参考文章。作为回馈,资料提供者将获得我们送上的小礼品。

暂无相关文献

常见问题

暂无常见问题