Cardiovascular > Atherosclerosis > Diabetes associated
Cardiovascular > Atherosclerosis > Thrombosis
Metabolism > Types of disease > Diabetes
Metabolism > Types of disease > Obesity
Neuroscience > Neurology process > Growth and Development > Neurotrophins
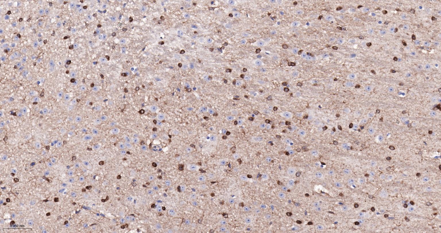
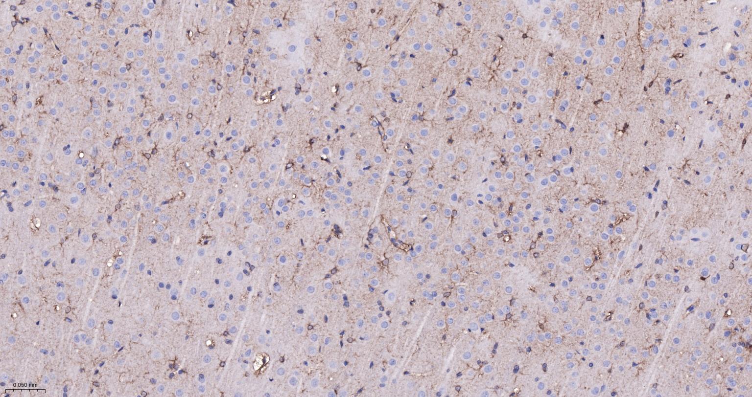
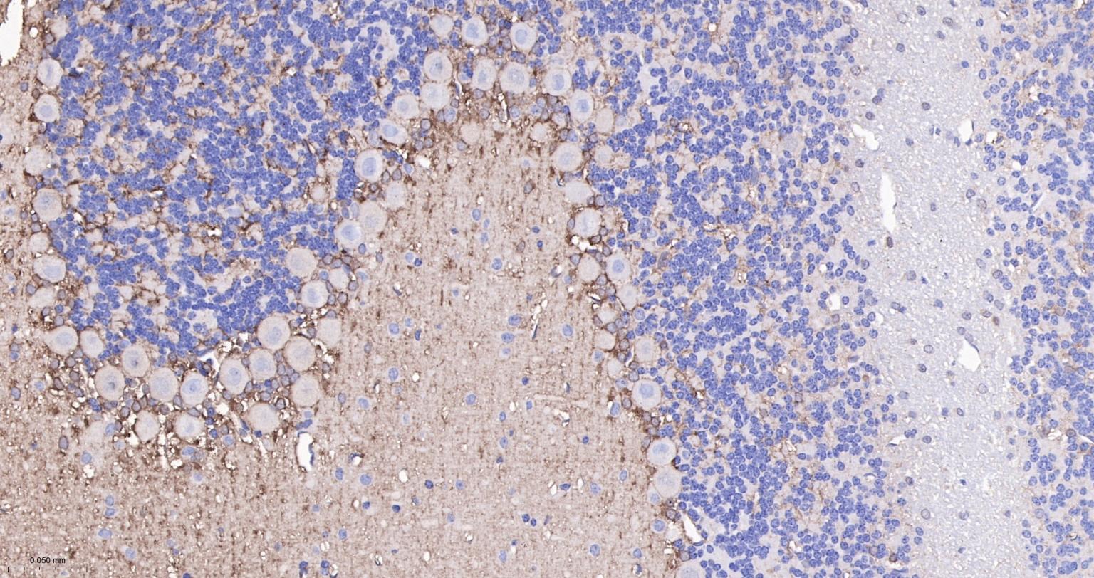
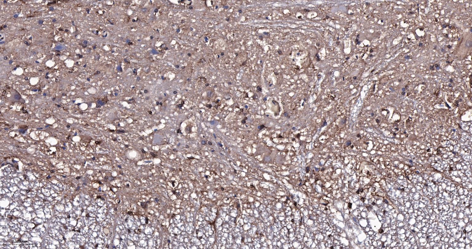
Neuroscience > Neurology process > Neurodegenerative disease > Alzheimer's disease
Neuroscience > Neurology process > Neurodegenerative disease > Huntington's disease











| 应用 | 已检合格种属 | 预测种属 | 推荐稀释比例 |
|---|---|---|---|
| WB | Human, Mouse | Rat | 1:1000-2000 |
| IHC-P | Human, Mouse, Rat | 1:100-500 | |
| IHC-F | Human, Mouse, Rat | 1:100-500 | |
| IF | Human, Mouse, Rat | 1:100-500 |
交叉反应: Human, Mouse, Rat
暂无相关产品
暂无标记数据
暂无同靶标产品
暂无相关文献
暂无常见问题