Cancer > Cancer Metabolism > Metabolic signaling pathway > Integration of energy metabolism
Cell Biology > Other Antibodies > Plant related targets
Metabolism > Pathways and Processes > Cofactors, Vitamins / minerals > Vitamins / minerals
Metabolism > Pathways and Processes > Metabolic signaling pathways > Energy transfer pathways > Integration of energy
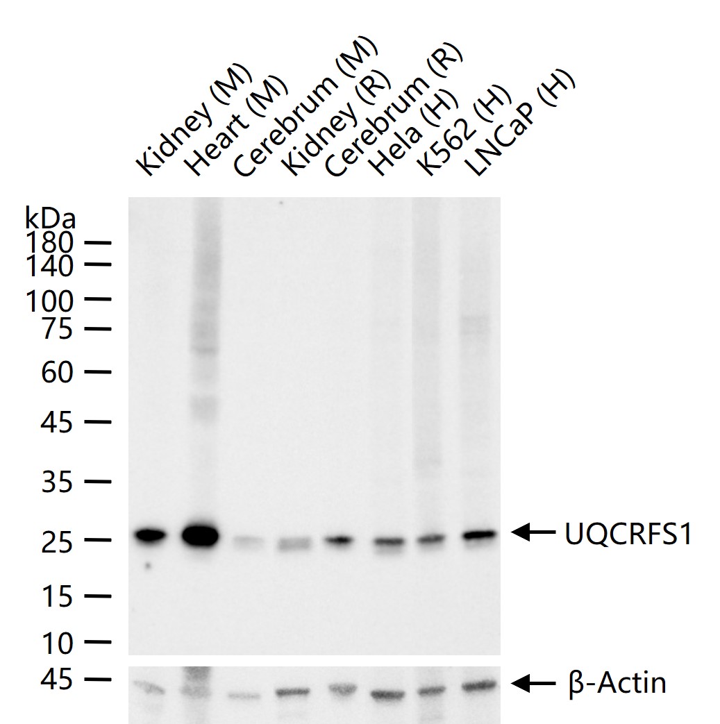
Metabolism > Pathways and Processes > Mitochondrial Metabolism > Mitochondrial markers
Metabolism > Pathways and Processes > Mitochondrial Metabolism > Oxidative phosphorylation > Complex III
Metabolism > Pathways and Processes > Redox metabolism > Antioxidants
Microbiology > Interspecies Interaction > Host Virus Interaction

| 应用 | 已检合格种属 | 预测种属 | 推荐稀释比例 |
|---|---|---|---|
| WB | Human, Mouse, Rat | 1:500-2000 | |
| IHC-P | Human, Mouse, Rat | 1:200-1000 | |
| IHC-F | Human, Mouse, Rat | 1:200-1000 | |
| IF | Human, Mouse, Rat | 1:200-1000 | |
| IP | Human, Mouse, Rat | 1:20-100 |
交叉反应: Human, Mouse, Rat
暂无相关产品
暂无标记数据
暂无同靶标产品
暂无相关文献
暂无常见问题