Cancer > Invasion/microenvironment > ECM > Cell adhesion
Cardiovascular > Heart > Contractility > Contractile Proteins > Actins
Cardiovascular > Vasculature > Smooth muscle cell (SMC) > Cytoskeleton
Neuroscience > Cell Type Marker > Neuron marker > Axon marker
Neuroscience > Neurology process > Growth and Development > Axonal Guidance Proteins
Signal Transduction > Cytoskeleton / ECM > Cytoskeleton > Microfilaments > Actin etc > Actin Binding Proteins



| 应用 | 已检合格种属 | 预测种属 | 推荐稀释比例 |
|---|---|---|---|
| WB | Mouse | Human, Rat, Pig, Sheep, Cow, Horse | 1:500-2000 |
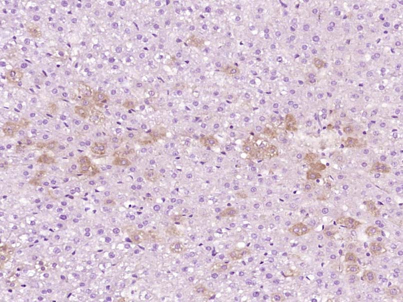
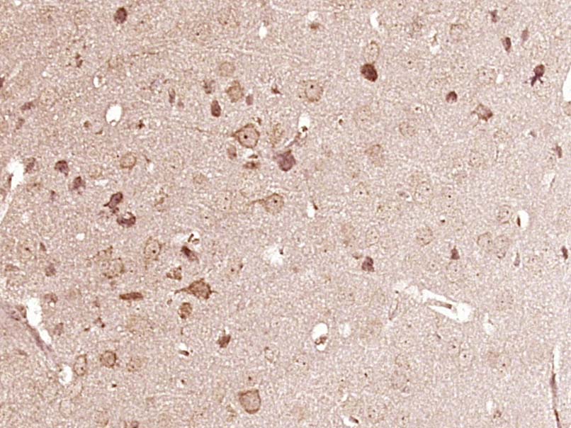
| IHC-P | Mouse, Rat | Human, Pig, Sheep, Cow, Horse | 1:100-500 |
| IHC-F | Mouse, Rat | Human, Pig, Sheep, Cow, Horse | 1:100-500 |
| IF | Mouse, Rat | Human, Pig, Sheep, Cow, Horse | 1:100-500 |
交叉反应: Mouse, Rat (predicted: Human, Pig, Sheep, Cow, Horse)
暂无相关产品