Cancer > Signal transduction > Nuclear signaling > STAT family
Epigenetics and Nuclear Signaling > Nuclear Signaling Pathways > STATs
Epigenetics and Nuclear Signaling > Transcription > Transcription Factors
Kits/ Lysates/ Other > Kits > ELISA Kits > In Cell ELISA Kits > Phosphoprotein ICE kits
Signal Transduction > Signaling Pathway > Nuclear Signaling > STATs













| 应用 | 已检合格种属 | 预测种属 | 推荐稀释比例 |
|---|---|---|---|
| WB | Human, Mouse | Rat | 1:500-1000 |
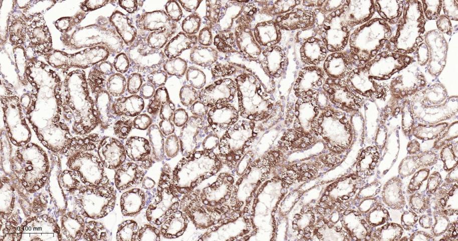
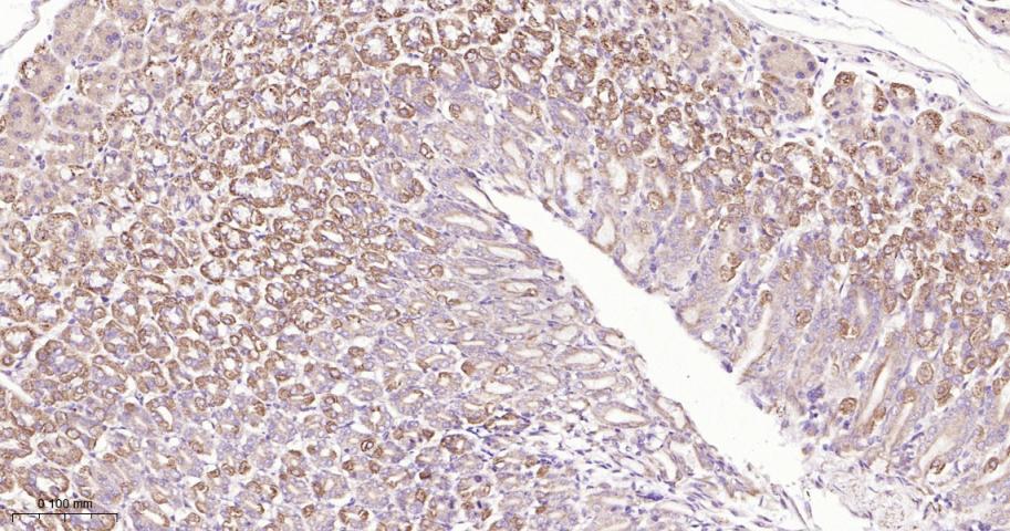
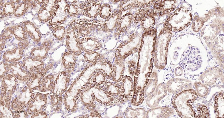
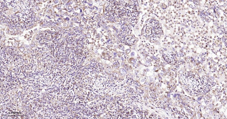
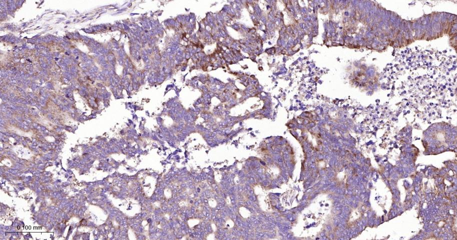
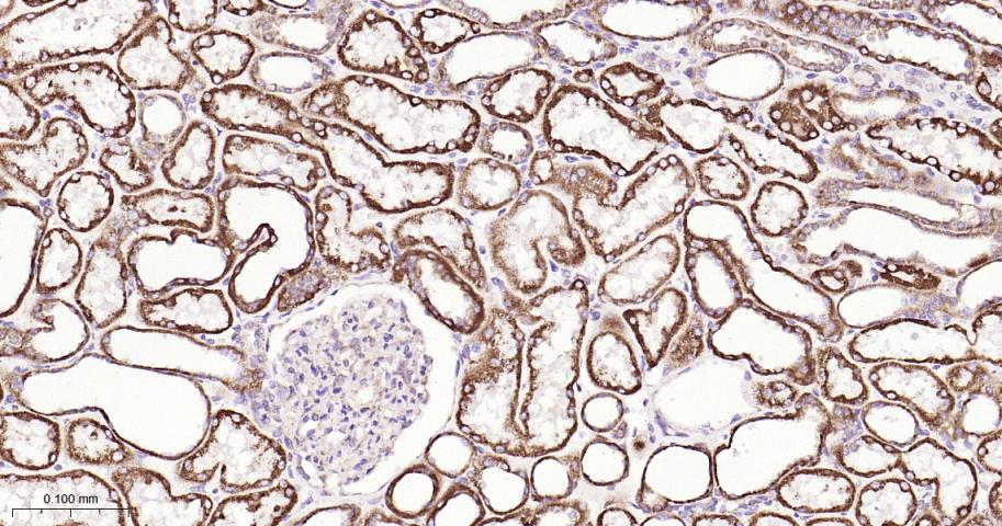
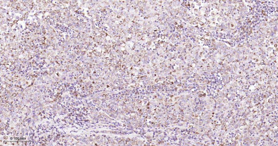
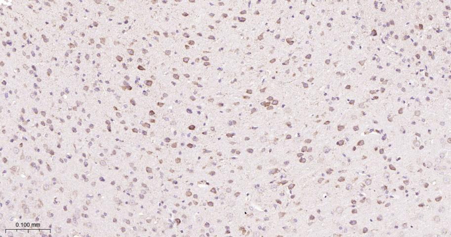
| IHC-P | Human, Mouse, Rat | 1:100-500 | |
| IHC-F | Human, Mouse, Rat | 1:100-500 | |
| IF | Human, Mouse, Rat | 1:100-500 |
交叉反应: Human, Mouse, Rat
暂无相关产品
暂无标记数据
暂无同靶标产品
暂无相关文献
暂无常见问题