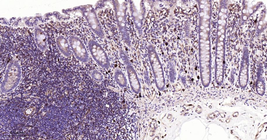
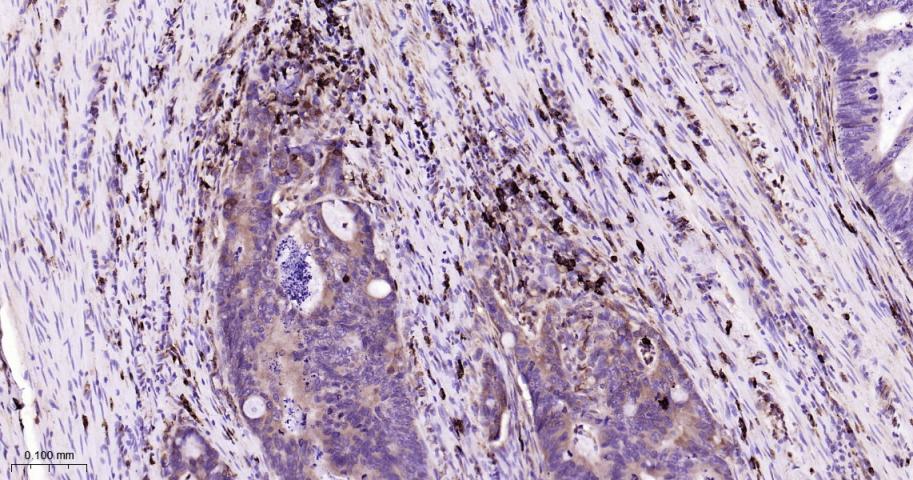
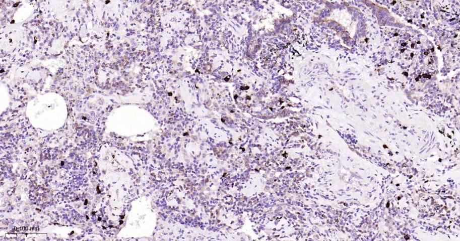
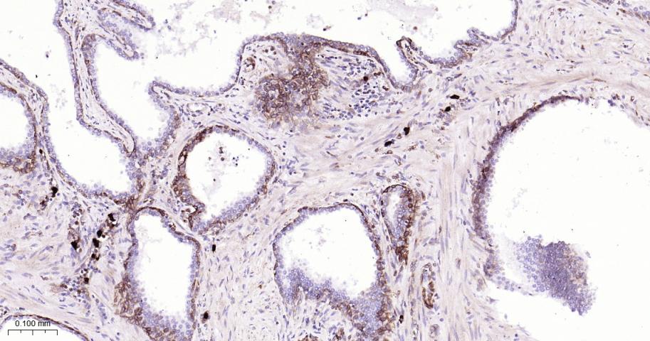
跨膜蛋白173重组兔单抗

Rrmab?兔单抗
2026-03-02~2026-04-30,KXJ26032026-03-02~2026-04-30,促销赠品
跨膜蛋白173重组兔单抗
货号:bsm-60326R
产品详情
相关标记
相关产品
相关文献
常见问题

概述

产品编号
bsm-60326R
产品类型
重组兔单抗、mIHC精品抗体
英文名称
STING1 Recombinant Rabbit mAb
中文名称
跨膜蛋白173重组兔单抗
英文别名
ERIS; MITA; MPYS; NET23; SAVI; STING; STING-beta; TMEM173; hMITA; hSTING; STING_HUMAN; STING1; Endoplasmic reticulum interferon stimulator (ERIS); Mediator of IRF3 activation (hMITA); Transmembrane protein 173;
抗体来源
Rabbit
免疫原
A synthesized peptide derived from human STING: 250-379/379
亚型
IgG
性状
Liquid
纯化方法
affinity purified by Protein A
克隆类型
Recombinant
克隆号
H9B4
浓度
1mg/ml
储存液
0.01M TBS (pH7.4) with 1% BSA, 0.02% Proclin300 and 50% Glycerol.
保存条件
Shipped at 4℃. Store at -20℃ for one year. Avoid repeated freeze/thaw cycles.
注意事项
This product as supplied is intended for research use only, not for use in human, therapeutic or diagnostic applications.
产品介绍
STING由379个氨基酸构成,有数个跨膜结构域,在多种内皮细胞、上皮细胞中以及造血肝细胞均有表达。STING参与并促进DNA介导的先天免疫反应,即来自病毒和细菌的非CpG双链DNA与cGAS蛋白结合后被催化成第二信使cGAMP;接着二聚化的STING与cGAMP结合,发生构象变化,通过自噬小体(autophagsome)经内质网和高尔基体进一步进入细胞质,期间被泛素化后募集TBK1蛋白,再被磷酸化,之后与IRF3结合;接着IRF3被磷酸化后入核,诱导表达IFNs,细胞因子、T细胞募集因子等进而增强机体的免疫能力,更大限度的杀伤细菌,病毒等病原体。
背景资料
This gene encodes a five transmembrane protein that functions as a major regulator of the innate immune response to viral and bacterial infections. The encoded protein is a pattern recognition receptor that detects cytosolic nucleic acids and transmits signals that activate type I interferon responses. The encoded protein has also been shown to play a role in apoptotic signaling by associating with type II major histocompatibility complex. Mutations in this gene are the cause of infantile-onset STING-associated vasculopathy. Alternate splicing results in multiple transcript variants. [provided by RefSeq, Sep 2014]
跨膜蛋白173重组兔单抗跨膜蛋白173重组兔单抗跨膜蛋白173重组兔单抗跨膜蛋白173重组兔单抗跨膜蛋白173重组兔单抗跨膜蛋白173重组兔单抗跨膜蛋白173重组兔单抗跨膜蛋白173重组兔单抗跨膜蛋白173重组兔单抗跨膜蛋白173重组兔单抗

产品应用

应用已检合格种属预测种属推荐稀释比例
WBHuman1:500-2000
IHC-PHuman1:100-500
IHC-FHuman1:100-500
IFHuman1:100-500
Flow-CytHuman1:50-100
ICC/IFHuman1:50-200

交叉反应

交叉反应: Human

相关产品

暂无相关产品

靶标

基因名
STING1
蛋白名
Stimulator of interferon genes protein
亚基
Associates with the MHC-II complex (By similarity). Homodimer; 'Lys-63'-linked ubiquitination at Lys-150 is required for homodimerization. Interacts with DDX58/RIG-I, MAVS and SSR2. Interacts with RNF5 and TRIM56. Interacts with TBK1; when homodimer, leading to subsequent production of IFN-beta. Interacts with IFIT1 and IFIT2.
亚细胞定位
Endoplasmic reticulum membrane. Mitochondrion outer membrane. Cell membrane. Cytoplasm > perinuclear region. In response to double-stranded DNA stimulation, relocalizes to perinuclear region, where the kinase TBK1 is recruited.
组织特异性
Ubiquitously expressed.
翻译后修饰
Phosphorylated on tyrosine residues upon MHC-II aggregation (By similarity). Phosphorylated on Ser-358 by TBK1, leading to activation and production of IFN-beta.
Ubiquitinated. 'Lys-63'-linked ubiquitination mediated by TRIM56 at Lys-150 promotes homodimerization and recruitment of the antiviral kinase TBK1 and subsequent production of IFN-beta. 'Lys-48'-linked polyubiquitination at Lys-150 occurring after viral infection is mediated by RNF5 and leads to proteasomal degradation.
相似性
Belongs to the TMEM173 family.
功能
Facilitator of innate immune signaling that promotes the production of type I interferon (IFN-alpha and IFN-beta). Innate immune response is triggered in response to non-CpG double-stranded DNA from viruses and bacteria delivered to the cytoplasm. Able to activate both NF-kappa-B and IRF3 transcription pathways to induce expression of type I interferon and exert a potent anti-viral state following expression. May be involved in translocon function, the translocon possibly being able to influence the induction of type I interferons. May be involved in transduction of apoptotic signals via its association with the major histocompatibility complex class II (MHC-II). Mediates death signaling via activation of the extracellular signal-regulated kinase (ERK) pathway.

标记抗体

暂无标记数据

同靶标产品

暂无同靶标产品

相关文献

提示: 发表研究结果有使用 bsm-60326R 时请让我们知道,以便我们可以引用参考文章。作为回馈,资料提供者将获得我们送上的小礼品。
具体参考文献:bsm-60326R 被引用于1文献中

暂无相关文献

常见问题

暂无常见问题