甲状腺球蛋白重组兔单抗

Rrmab?兔单抗
2026-03-02~2026-04-30,KXJ26032026-03-02~2026-04-30,促销赠品
甲状腺球蛋白重组兔单抗
货号:bsm-60597R
产品详情
相关标记
相关产品
相关文献
常见问题

概述

产品编号
bsm-60597R
产品类型
重组兔单抗、mIHC精品抗体
英文名称
TG Recombinant Rabbit mAb
中文名称
甲状腺球蛋白重组兔单抗
英文别名
AITD3; TGN; cog; THYG_HUMAN; TG; THYG_MOUSE; THYG_RAT;
抗体来源
Rabbit
免疫原
A synthesized peptide derived from human Thyroglobulin: 1001-1023/2768
亚型
IgG
性状
Liquid
纯化方法
affinity purified by Protein A
克隆类型
Recombinant
克隆号
A7B9
理论分子量
660 kDa
浓度
1mg/ml
储存液
0.01M TBS (pH7.4) with 1% BSA, 0.02% Proclin300 and 50% Glycerol.
SWISS
Gene ID
保存条件
Shipped at 4℃. Store at -20℃ for one year. Avoid repeated freeze/thaw cycles.
注意事项
This product as supplied is intended for research use only, not for use in human, therapeutic or diagnostic applications.
产品介绍
用作生产碘化甲状腺激素甲状腺素(T4)和三碘甲状腺素(T3)的底物。 T3和T4的合成涉及对TG /甲状腺球蛋白的选定酪氨酸残基加碘,然后在甲状腺滤泡内腔中进行氧化偶联。 在TG重新内在化和溶酶体介导的蛋白水解之后,T3和T4从多肽主链释放,导致它们分泌到血液中。 一个二聚体产生7个甲状腺激素分子。
背景资料
Thyroglobulin is the glycoprotein precursor of the iodinated thyroid hormones thyroxine (T4) and triiodothyronine (T3). Thyroglobulin is obtained from the thyroid gland and exhibits the general properties of the globulins. The human thyroglobulin (hTG) is a high molecular weight glycoprotein (605 kDa) found in the thyroid follicular cells. It plays a central role in the uptake, incorporation, and regulated biosynthesis of thyroid hormones, T4 and T3. Thyroid disorders are, in large part, due to autoimmune origin, and anti thyroglobulin autoantibodies were the first factor to be discovered. Anti hTG is found in all thyroid autoimmune diseases (Hashimoto's thyroiditis, Graves' diseases), with the highest level observed in Hashimoto's thyroiditis. Anti hTG is also characteristic of thyroid cancer, and its determination can be used for the follow up of cancer patients.
甲状腺球蛋白重组兔单抗甲状腺球蛋白重组兔单抗甲状腺球蛋白重组兔单抗甲状腺球蛋白重组兔单抗

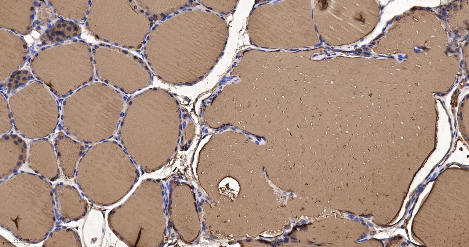
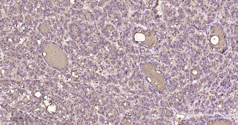
产品应用

应用已检合格种属预测种属推荐稀释比例
WBRatHuman, Mouse1:1000-5000
IHC-PHuman, Mouse, Rat1:200-800
IHC-FHuman, Mouse, Rat1:200-800
IFHuman, Mouse, Rat1:200-800

交叉反应

交叉反应: Human, Mouse, Rat

相关产品

暂无相关产品

靶标

基因名
TG
蛋白名
Thyroglobulin
亚基
Homodimer.
亚细胞定位
Secreted.
组织特异性
Thyroid gland specific.
翻译后修饰
Sulfated tyrosines are desulfated during iodination.
疾病
Defects in TG are the cause of thyroid dyshormonogenesis 3 (TDH3) [MIM:274700]. A disorder due to thyroid dyshormonogenesis, causing large goiters of elastic and soft consistency in the majority of patients. Although the degree of thyroid dysfunction varies considerably among patients with defective thyroglobulin synthesis, patients usually have a relatively high serum free triiodothyronine (T3) concentration with disproportionately low free tetraiodothyronine (T4) level. The maintenance of relatively high free T3 levels prevents profound tissue hypothyroidism except in brain and pituitary, which are dependent on T4 supply, resulting in neurologic and intellectual defects in some cases.
Variations in TG are associated with susceptibility to autoimmune thyroid disease type 3 (AITD3) [MIM:608175]. AITDs including Graves disease (GD) and Hashimoto thyroiditis (HT), are among the most common human autoimmune diseases. They are complex diseases, which are caused by an interaction between susceptibility genes and nongenetic factors, such as infection.
相似性
Belongs to the type-B carboxylesterase/lipase family.
Contains 11 thyroglobulin type-1 domains.
功能
Precursor of the iodinated thyroid hormones thyroxine (T4) and triiodothyronine (T3).

标记抗体

暂无标记数据

同靶标产品

暂无同靶标产品

相关文献

提示: 发表研究结果有使用 bsm-60597R 时请让我们知道,以便我们可以引用参考文章。作为回馈,资料提供者将获得我们送上的小礼品。

暂无相关文献

常见问题

暂无常见问题