活化蛋白激酶B重组兔单抗

Rrmab?兔单抗
2026-03-02~2026-04-30,KXJ26032026-03-02~2026-04-30,促销赠品
活化蛋白激酶B重组兔单抗
货号:bsm-60454R
产品详情
相关标记
相关产品
相关文献
常见问题

概述

产品编号
bsm-60454R
产品类型
重组兔单抗
英文名称
JUNB Recombinant Rabbit mAb
中文名称
活化蛋白激酶B重组兔单抗
英文别名
AP-1; JUNB_HUMAN; JUNB; Transcription factor AP-1 subunit JunB; JUNB_MOUSE; MyD21; Jun-b; JUNB_RAT;
抗体来源
Rabbit
亚型
IgG
性状
Liquid
纯化方法
affinity purified by Protein A
克隆类型
Recombinant
克隆号
C5F3
浓度
1mg/ml
储存液
0.01M TBS (pH7.4) with 1% BSA, 0.02% Proclin300 and 50% Glycerol.
保存条件
Shipped at 4℃. Store at -20℃ for one year. Avoid repeated freeze/thaw cycles.
注意事项
This product as supplied is intended for research use only, not for use in human, therapeutic or diagnostic applications.
产品介绍
Jun-B属于转录因子AP-1家族(Jun蛋白家族包括c-Jun、JunB和JunD)
背景资料
The cJun proto-oncogene was first identified as the cellular homolog of the avian sarcoma virus vjun oncogene. JunB and JunD have been shown to be almost identical to cJun in their C terminal regions, which are involved in dimerization and DNA binding, whereas their N terminal domains, which are involved in transcriptional activation, diverge. JunB is a transcription factor involved in regulating gene activity following the primary growth factor response. It binds to the DNA sequence 5'-TGA[CG]TCA-3'.
活化蛋白激酶B重组兔单抗活化蛋白激酶B重组兔单抗活化蛋白激酶B重组兔单抗活化蛋白激酶B重组兔单抗活化蛋白激酶B重组兔单抗活化蛋白激酶B重组兔单抗活化蛋白激酶B重组兔单抗活化蛋白激酶B重组兔单抗

产品应用

应用已检合格种属预测种属推荐稀释比例
WBHumanMouse1:500-2000
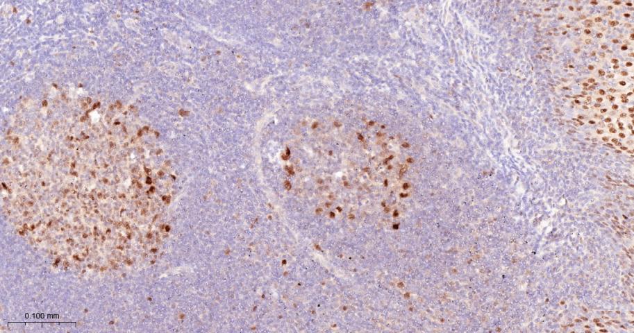
IHC-PHuman, Mouse1:50-200
IHC-FHuman, Mouse1:50-200
IFHuman, Mouse1:50-200
ICC/IFHumanMouse1:50-200

交叉反应

交叉反应: Human, Mouse

相关产品

暂无相关产品

靶标

基因名
JUNB
蛋白名
Transcription factor jun-B
亚基
Binds DNA as a homodimer or as a heterodimer with another member of the Jun/Fos family. Interacts with ITCH (via its WW domains).
亚细胞定位
Nucleus.
翻译后修饰
Ubiquitinated by ITCH, leading to its degradation.
相似性
Belongs to the bZIP family. Jun subfamily.
Contains 1 bZIP (basic-leucine zipper) domain.
功能
Transcription factor involved in regulating gene activity following the primary growth factor response. Binds to the DNA sequence 5'-TGA[CG]TCA-3'.

标记抗体

暂无标记数据

同靶标产品

暂无同靶标产品

相关文献

提示: 发表研究结果有使用 bsm-60454R 时请让我们知道,以便我们可以引用参考文章。作为回馈,资料提供者将获得我们送上的小礼品。

暂无相关文献

常见问题

暂无常见问题