Developmental Biology > Lineage specification > Ectoderm
Neuroscience > Cell Type Marker > Neural Stem Cell marker
Neuroscience > Neurology process > Neurogenesis
Neuroscience > Neurology process > Neuroregeneration > Neuroregeneration
Signal Transduction > Antibodies > vimentin
Signal Transduction > Cytoskeleton / ECM > Cytoskeleton > Intermediate Filaments > Class III > Vimentin
























| 应用 | 已检合格种属 | 预测种属 | 推荐稀释比例 |
|---|---|---|---|
| WB | Human, Mouse, Rat | Pig, Cow, Chicken, Goat | 1:1000-5000 |
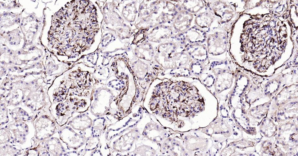
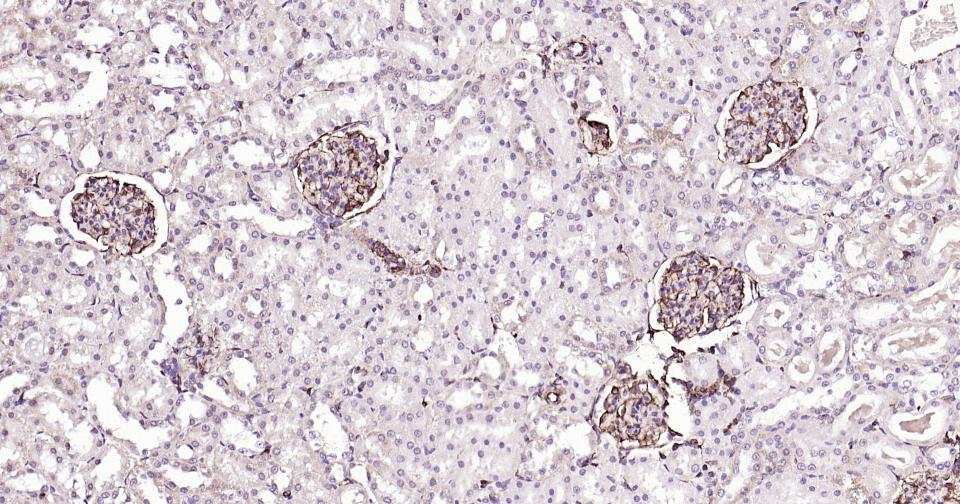
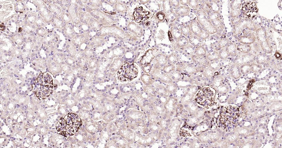
| IHC-P | Human, Mouse, Rat | Pig, Cow, Chicken, Goat | 1:200-1000 |
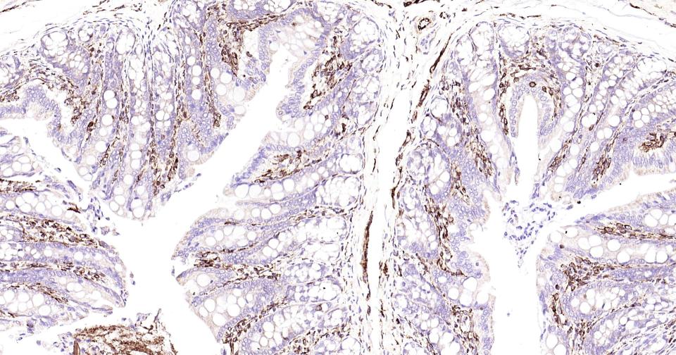
| IHC-F | Human, Mouse, Rat | Pig, Cow, Chicken, Goat | 1:200-1000 |
| IF | Human, Mouse, Rat | Pig, Cow, Chicken, Goat | 1:200-1000 |
| Flow-Cyt | Human | Mouse, Rat, Pig, Cow, Chicken, Goat | 1μg/Test |
| ICC/IF | Human, Mouse | Rat, Pig, Cow, Chicken, Goat | 1:100-500 |
交叉反应: Human, Mouse, Rat (predicted: Pig, Cow, Chicken, Goat)
暂无相关产品