人IgM重组兔单抗

Rrmab?兔单抗
2026-03-02~2026-04-30,KXJ26032026-03-02~2026-04-30,促销赠品
人IgM重组兔单抗
货号:bsm-52860R
产品详情
相关标记
相关产品
相关文献
常见问题

概述

产品编号
bsm-52860R
产品类型
重组兔单抗
英文名称
Human IgM Recombinant Rabbit mAb
中文名称
人IgM重组兔单抗
英文别名
human Immunoglobulin M; Human IgM;
抗体来源
Rabbit
免疫原
Human IgM
亚型
IgG
性状
Liquid
纯化方法
affinity purified by Protein A
克隆类型
Recombinant
克隆号
4C2
理论分子量
900 kDa
浓度
1mg/ml
储存液
0.01M TBS (pH7.4) with 1% BSA, 0.02% Proclin300 and 50% Glycerol.
Gene ID
保存条件
Store at -20℃ for one year. Avoid repeated freeze/thaw cycles. The lyophilized antibody is stable at room temperature for at least one month and for greater than a year when kept at -20°C. When reconstituted in sterile pH 7.4 0.01M PBS or diluent of antibody the antibody is stable for at least two weeks at 2-4℃.
注意事项
This product as supplied is intended for research use only, not for use in human, therapeutic or diagnostic applications.
背景资料
IgM normally constitutes about 10% of serum immunoglobulins. IgM antibody is prominent in early immune responses to most antigens and is largely confined to plasma due to it's large size. Monomeric IgM is expressed as a membrane bound antibody on the surface of B cells and as a pentamer when secreted by plasma cells. Due to it's high valency IgM is more efficient than other isotypes is binding antigens with repeating epitopes (virus particles and red blood cells) and is more efficient than IgG in activiating the complement pathway. The gene for the mu constant region contains four domains separated by short intervening sequences.
人IgM重组兔单抗人IgM重组兔单抗人IgM重组兔单抗人IgM重组兔单抗

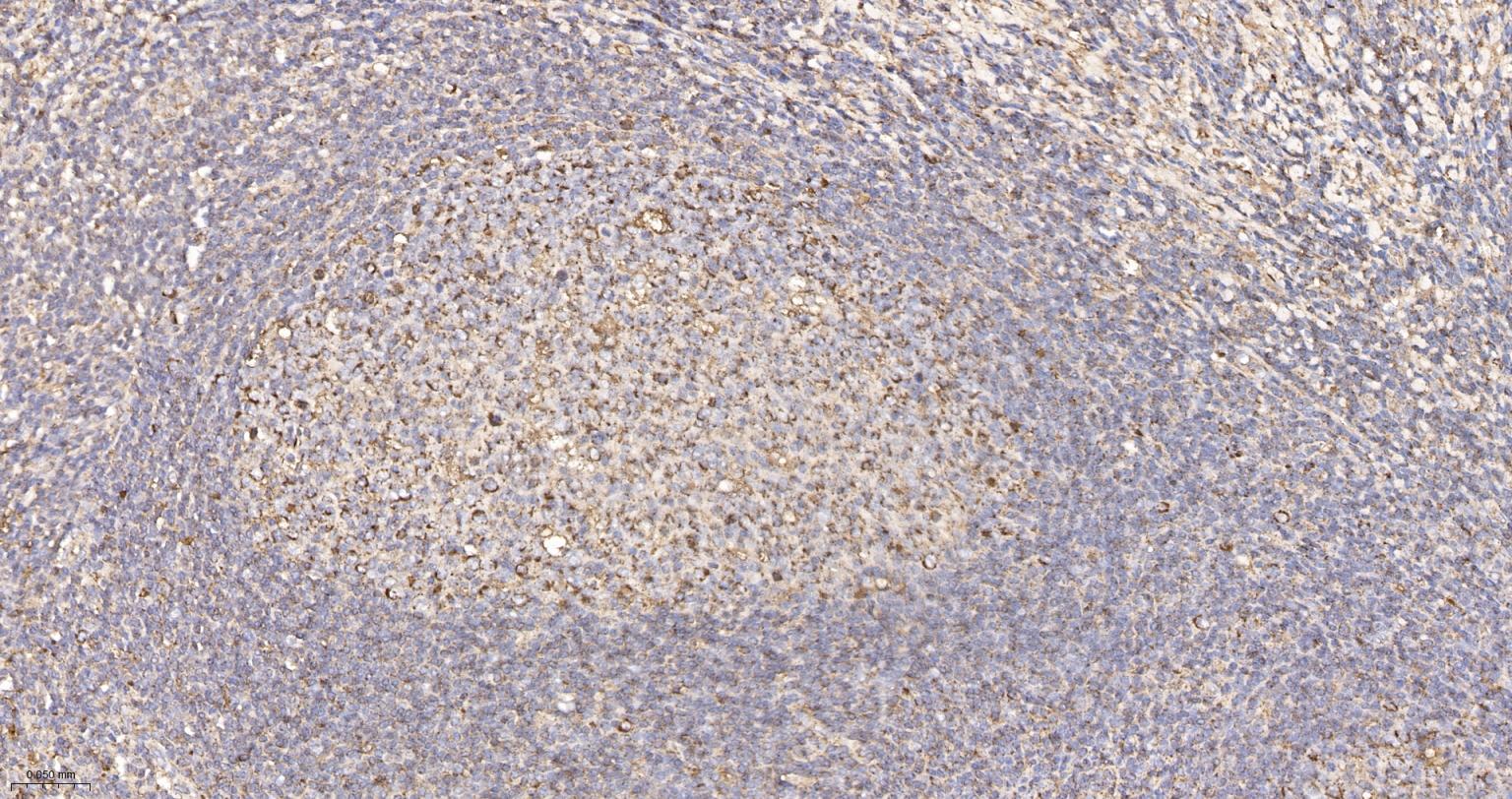
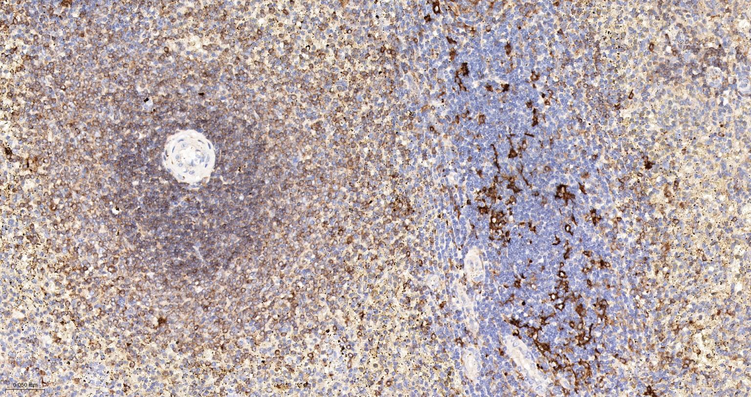
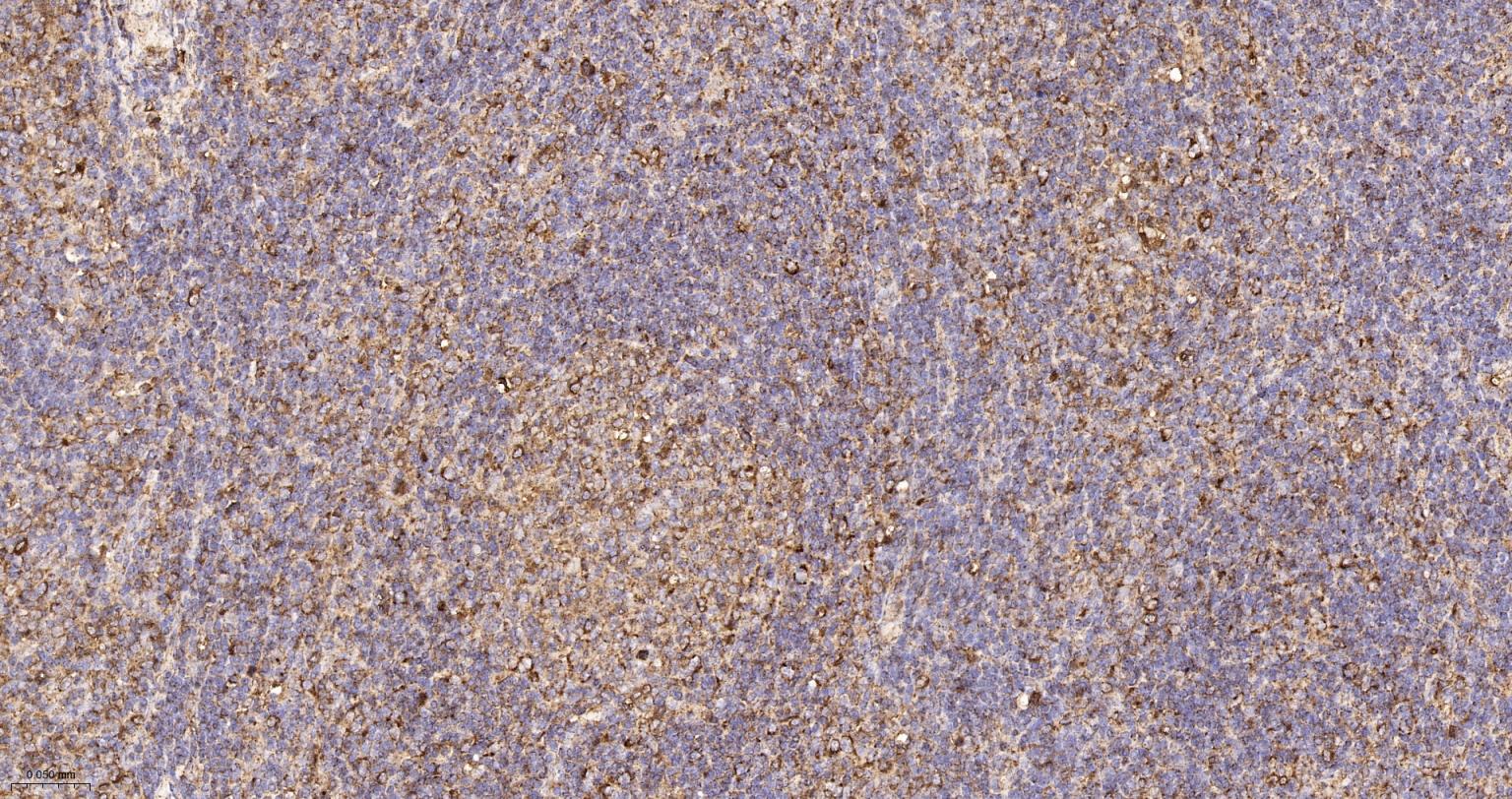
产品应用

应用已检合格种属预测种属推荐稀释比例
WBHuman1:500-2000
IHC-PHuman1:100-500
IHC-FHuman1:100-500
IFHuman1:100-500

交叉反应

交叉反应: Human

相关产品

暂无相关产品

标记抗体

暂无标记数据

同靶标产品

暂无同靶标产品

相关文献

提示: 发表研究结果有使用 bsm-52860R 时请让我们知道,以便我们可以引用参考文章。作为回馈,资料提供者将获得我们送上的小礼品。

暂无相关文献

常见问题

暂无常见问题