紧密连接蛋白7重组兔单抗

Rrmab?兔单抗
2026-03-02~2026-04-30,KXJ26032026-03-02~2026-04-30,促销赠品
紧密连接蛋白7重组兔单抗
货号:bsm-60600R
产品详情
相关标记
相关产品
相关文献
常见问题

概述

产品编号
bsm-60600R
产品类型
重组兔单抗、mIHC精品抗体
英文名称
CLDN7 Recombinant Rabbit mAb
中文名称
紧密连接蛋白7重组兔单抗
英文别名
CEPTRL2; CLDN-7; CPETRL2; Hs.84359; claudin-1; cld-7; CLD7_HUMAN; CLDN7; CLD7_MOUSE; CLD7_RAT;
抗体来源
Rabbit
亚型
IgG
性状
Liquid
纯化方法
affinity purified by Protein A
克隆类型
Recombinant
克隆号
H1C6
理论分子量
22 kDa
浓度
1mg/ml
储存液
0.01M TBS (pH7.4) with 1% BSA, 0.02% Proclin300 and 50% Glycerol.
保存条件
Shipped at 4℃. Store at -20℃ for one year. Avoid repeated freeze/thaw cycles.
注意事项
This product as supplied is intended for research use only, not for use in human, therapeutic or diagnostic applications.
产品介绍
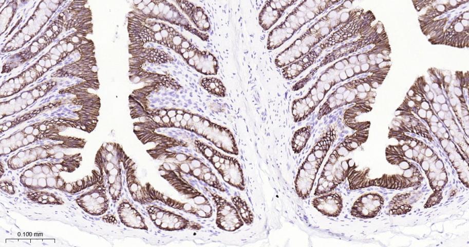
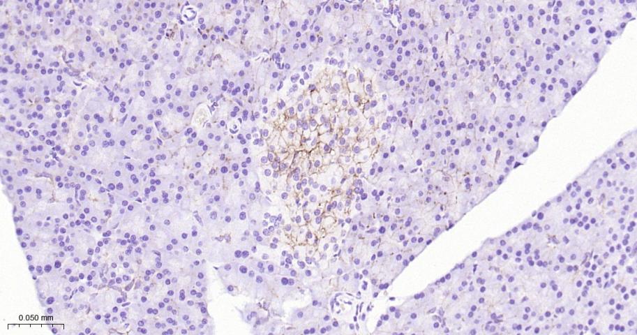
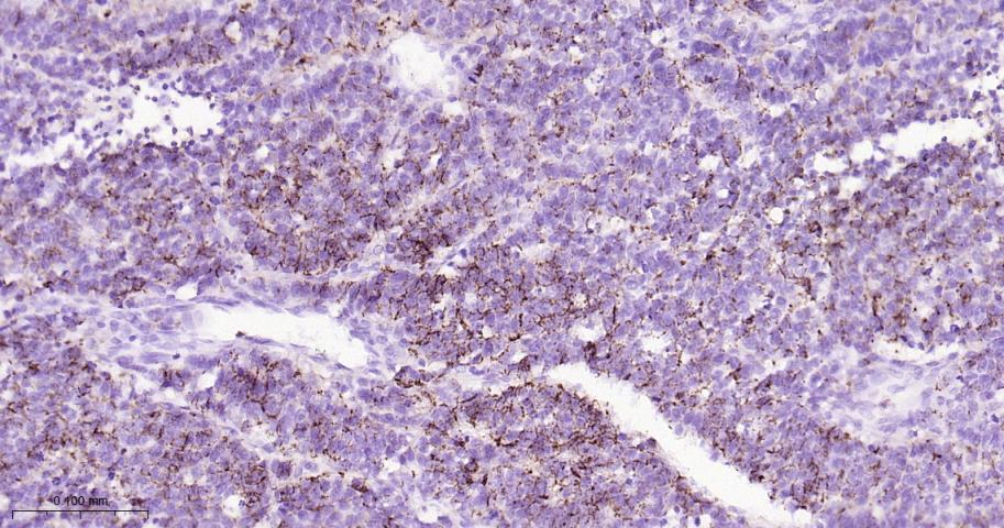
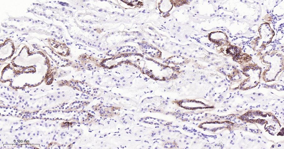
在细胞间隙的紧密连接特异性闭塞中起主要作用。
背景资料
This gene encodes a member of the claudin family. Claudins are integral membrane proteins and components of tight junction strands. Tight junction strands serve as a physical barrier to prevent solutes and water from passing freely through the paracellular space between epithelial or endothelial cell sheets, and also play critical roles in maintaining cell polarity and signal transductions. Differential expression of this gene has been observed in different types of malignancies, including breast cancer, ovarian cancer, hepatocellular carcinomas, urinary tumors, prostate cancer, lung cancer, head and neck cancers, thyroid carcinomas, etc.. Alternatively spliced transcript variants encoding different isoforms have been found.[provided by RefSeq, May 2010]
紧密连接蛋白7重组兔单抗紧密连接蛋白7重组兔单抗紧密连接蛋白7重组兔单抗紧密连接蛋白7重组兔单抗紧密连接蛋白7重组兔单抗紧密连接蛋白7重组兔单抗紧密连接蛋白7重组兔单抗紧密连接蛋白7重组兔单抗紧密连接蛋白7重组兔单抗紧密连接蛋白7重组兔单抗紧密连接蛋白7重组兔单抗紧密连接蛋白7重组兔单抗

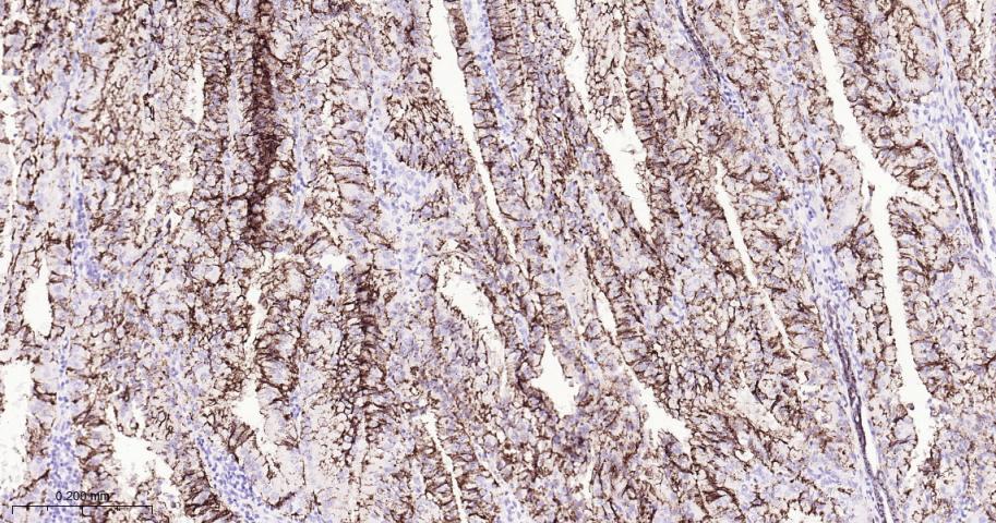
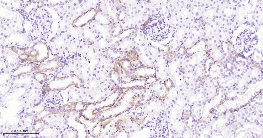
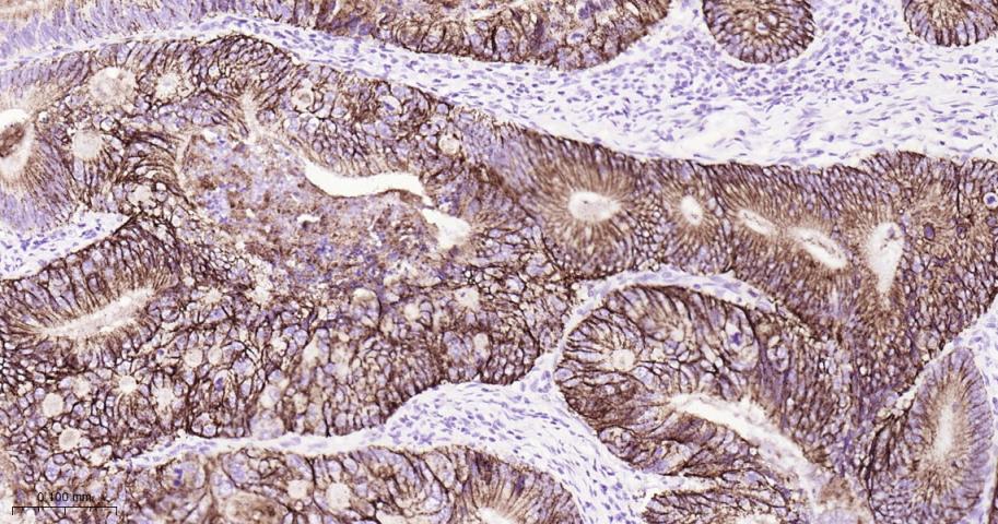
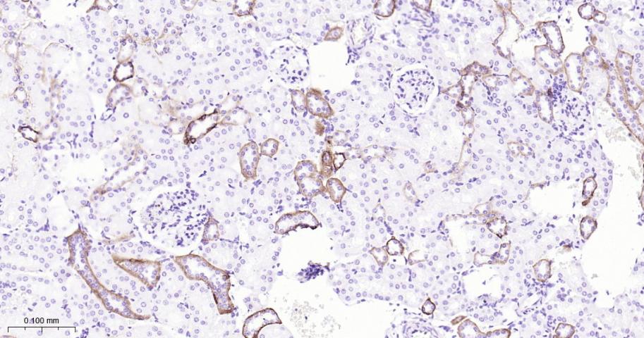
产品应用

应用已检合格种属预测种属推荐稀释比例
WBHuman, MouseRat1:500-2000
IHC-PHuman, Mouse, Rat1:50-200
IHC-FHuman, Mouse, Rat1:50-200
IFHuman, Mouse, Rat1:50-200

交叉反应

交叉反应: Human, Mouse, Rat

相关产品

暂无相关产品

靶标

基因名
CLDN7
蛋白名
Claudin-7
亚基
Directly interacts with TJP1/ZO-1, TJP2/ZO-2 and TJP3/ZO-3 (By similarity). The phosphorylated form interacts with EPCAM.
亚细胞定位
Cell membrane. Lateral cell membrane. Cell junction > tight junction. Co-localizes with EPCAM at the lateral cell membrane and tight junction.
组织特异性
Expressed in kidney, lung and prostate. Isoform 1 seems to be predominant, except in some normal prostate samples, where isoform 2 is the major form. Down-regulated in breast cancers, including ductal carcinoma in situ (DCIS), lobular carcinoma in situ (LCIS) and invasive ductal carcinoma (IDC) (at protein level), as well as in several cancer cell lines. Loss of expression correlates with histological grade, occurring predominantly in high-grade lesions.
翻译后修饰
Phosphorylated.
相似性
Belongs to the claudin family.
功能
Plays a major role in tight junction-specific obliteration of the intercellular space.

标记抗体

暂无标记数据

同靶标产品

暂无同靶标产品

相关文献

提示: 发表研究结果有使用 bsm-60600R 时请让我们知道,以便我们可以引用参考文章。作为回馈,资料提供者将获得我们送上的小礼品。
具体参考文献:bsm-60600R 被引用于1文献中

暂无相关文献

常见问题

暂无常见问题