肝肠钙粘连蛋白重组兔单抗

Rrmab?兔单抗
2026-03-02~2026-04-30,KXJ26032026-03-02~2026-04-30,促销赠品
肝肠钙粘连蛋白重组兔单抗
货号:bsm-60434R
产品详情
相关标记
相关产品
相关文献
常见问题

概述

产品编号
bsm-60434R
产品类型
重组兔单抗、mIHC精品抗体
英文名称
CDH17/LI-cadherin Recombinant Rabbit mAb
中文名称
肝肠钙粘连蛋白重组兔单抗
英文别名
CDH16; HPT-1; HPT1; CAD17_HUMAN; CDH17; Intestinal peptide-associated transporter HPT-1; Liver-intestine cadherin (LI-cadherin);
抗体来源
Rabbit
免疫原
A synthesized peptide derived from human Cadherin 17: 1-65/832
亚型
IgG
性状
Liquid
纯化方法
affinity purified by Protein A
克隆类型
Recombinant
克隆号
B5A7
理论分子量
90 kDa
浓度
1mg/ml
储存液
0.01M TBS (pH7.4) with 1% BSA, 0.02% Proclin300 and 50% Glycerol.
保存条件
Shipped at 4℃. Store at -20℃ for one year. Avoid repeated freeze/thaw cycles.
注意事项
This product as supplied is intended for research use only, not for use in human, therapeutic or diagnostic applications.
产品介绍
Cadherin家族,即钙离子依赖的细胞粘附素家族,是Takeichi最早发现的一种介导细胞间相互聚集的粘附分子,对生长发育过程中细胞的选择性聚集具有至关重要的作用。
背景资料
This gene is a member of the cadherin superfamily, genes encoding calcium-dependent, membrane-associated glycoproteins. The encoded protein is cadherin-like, consisting of an extracellular region, containing 7 cadherin domains, and a transmembrane region but lacking the conserved cytoplasmic domain. The protein is a component of the gastrointestinal tract and pancreatic ducts, acting as an intestinal proton-dependent peptide transporter in the first step in oral absorption of many medically important peptide-based drugs. The protein may also play a role in the morphological organization of liver and intestine. Alternative splicing results in multiple transcript variants. [provided by RefSeq, Jan 2009]
肝肠钙粘连蛋白重组兔单抗肝肠钙粘连蛋白重组兔单抗肝肠钙粘连蛋白重组兔单抗肝肠钙粘连蛋白重组兔单抗肝肠钙粘连蛋白重组兔单抗肝肠钙粘连蛋白重组兔单抗肝肠钙粘连蛋白重组兔单抗肝肠钙粘连蛋白重组兔单抗肝肠钙粘连蛋白重组兔单抗肝肠钙粘连蛋白重组兔单抗肝肠钙粘连蛋白重组兔单抗肝肠钙粘连蛋白重组兔单抗

产品应用

应用已检合格种属预测种属推荐稀释比例
WBHuman, MouseRat1:500-2000
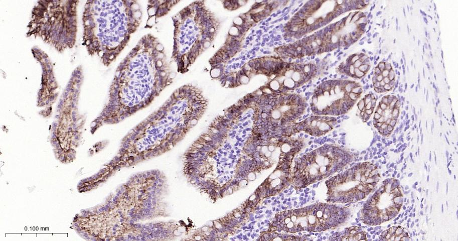
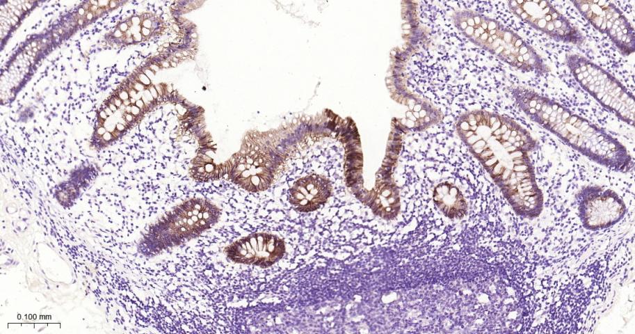
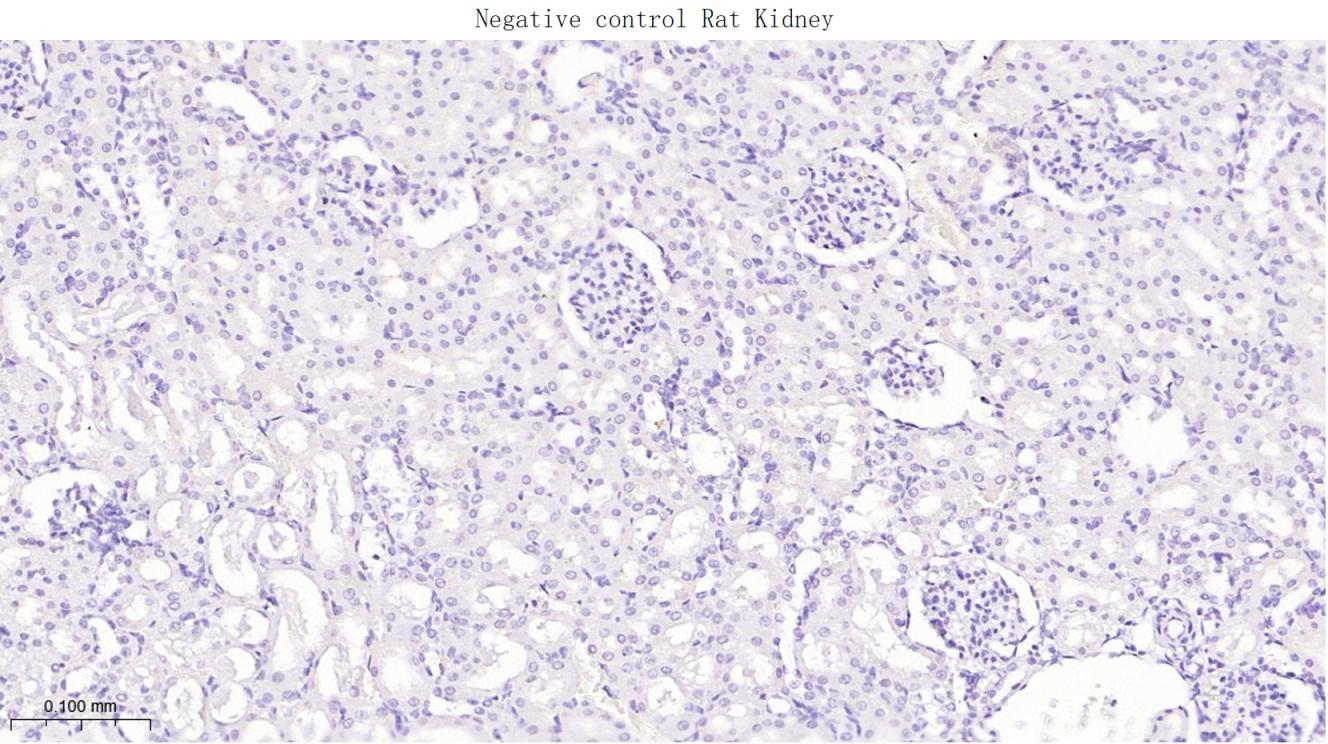
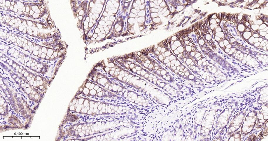
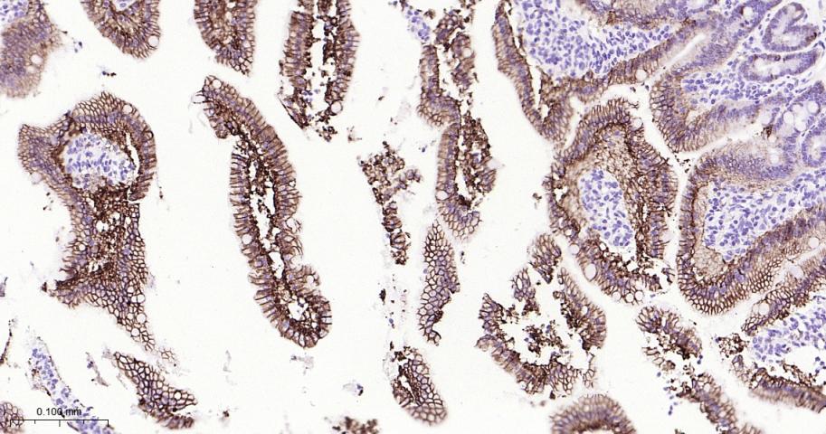
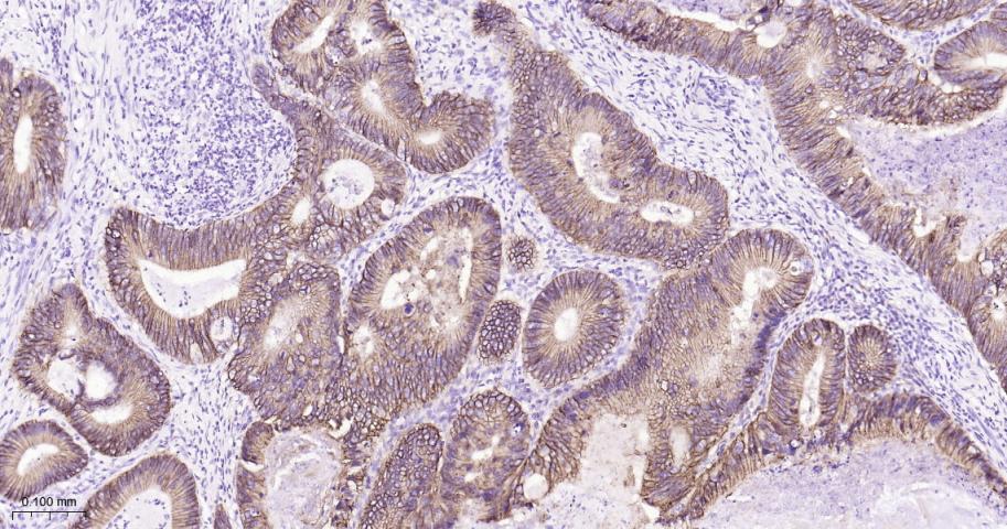
IHC-PHuman, Mouse, Rat1:100-500
IHC-FHuman, Mouse, Rat1:100-500
IFHuman, Mouse, Rat1:100-500

交叉反应

交叉反应: Human, Mouse, Rat

相关产品

暂无相关产品

靶标

基因名
CDH17
蛋白名
Cadherin-17
亚细胞定位
Cell membrane; Single-pass type I membrane protein (Potential).
组织特异性
Expressed in the gastrointestinal tract and pancreatic duct. Not detected in kidney, lung, liver, brain, adrenal gland and skin. Similarity : Contains 7 cadherin domains.
相似性
Contains 7 cadherin domains.
功能
Cadherins are calcium-dependent cell adhesion proteins. They preferentially interact with themselves in a homophilic manner in connecting cells; cadherins may thus contribute to the sorting of heterogeneous cell types. LI-cadherin may have a role in the morphological organization of liver and intestine. Involved in intestinal peptide transport.

标记抗体

暂无标记数据

同靶标产品

暂无同靶标产品

相关文献

提示: 发表研究结果有使用 bsm-60434R 时请让我们知道,以便我们可以引用参考文章。作为回馈,资料提供者将获得我们送上的小礼品。

暂无相关文献

常见问题

暂无常见问题