肿瘤相关胰蛋白酶抑制剂1重组兔单抗

Rrmab?兔单抗
2026-03-02~2026-04-30,KXJ26032026-03-02~2026-04-30,促销赠品
肿瘤相关胰蛋白酶抑制剂1重组兔单抗
货号:bsm-60323R
产品详情
相关标记
相关产品
相关文献
常见问题

概述

产品编号
bsm-60323R
产品类型
重组兔单抗
英文名称
SPINK1 Recombinant Rabbit mAb
中文名称
肿瘤相关胰蛋白酶抑制剂1重组兔单抗
英文别名
PCTT; PSTI; Spink3; TATI; TCP; ISK1_HUMAN; SPINK1; Pancreatic secretory trypsin inhibitor; Tumor-associated trypsin inhibitor (TATI);
抗体来源
Rabbit
免疫原
A synthesized peptide derived from human SPINK1: 1-79/79
亚型
IgG
性状
Liquid
纯化方法
affinity purified by Protein A
克隆类型
Recombinant
克隆号
E5F9
理论分子量
6.2 kDa
浓度
1mg/ml
储存液
0.01M TBS (pH7.4) with 1% BSA, 0.02% Proclin300 and 50% Glycerol.
保存条件
Shipped at 4℃. Store at -20℃ for one year. Avoid repeated freeze/thaw cycles.
注意事项
This product as supplied is intended for research use only, not for use in human, therapeutic or diagnostic applications.
产品介绍
丝氨酸蛋白酶抑制剂因子Kazal 1型(SPINK1)是蛋白酶抑制剂家族的成员之一。因其在卵巢癌,胰腺癌,肝细胞癌,结直肠癌,前列腺癌等恶性肿瘤的发生、发展及预后中发挥重要作用,因此,SPINK1作为一种肿瘤标志物的临床应用受到广泛关注。
背景资料
The protein encoded by this gene is a trypsin inhibitor, which is secreted from pancreatic acinar cells into pancreatic juice. It is thought to function in the prevention of trypsin-catalyzed premature activation of zymogens within the pancreas and the pancreatic duct. Mutations in this gene are associated with hereditary pancreatitis and tropical calcific pancreatitis. [provided by RefSeq, Oct 2008]
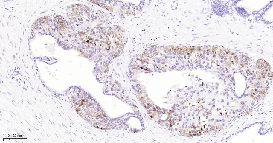
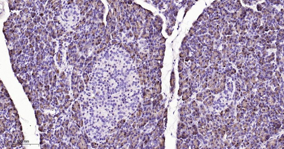
肿瘤相关胰蛋白酶抑制剂1重组兔单抗肿瘤相关胰蛋白酶抑制剂1重组兔单抗

产品应用

应用已检合格种属预测种属推荐稀释比例
IHC-PHuman1:50-200
IHC-FHuman1:50-200
IFHuman1:50-200

交叉反应

交叉反应: Human

相关产品

暂无相关产品

靶标

基因名
SPINK1
蛋白名
Serine protease inhibitor Kazal-type 1
亚细胞定位
Secreted.
相似性
Contains 1 Kazal-like domain.
功能
This is a trypsin inhibitor, its physiological function is to prevent the trypsin-catalyzed premature activation of zymogens within the pancreas.

标记抗体

暂无标记数据

同靶标产品

暂无同靶标产品

相关文献

提示: 发表研究结果有使用 bsm-60323R 时请让我们知道,以便我们可以引用参考文章。作为回馈,资料提供者将获得我们送上的小礼品。

暂无相关文献

常见问题

暂无常见问题