Cancer > Cancer Metabolism > Response to hypoxia
Immunology > Adaptive Immunity > B Cells > CD
Immunology > Adaptive Immunity > Regulatory T Cells
Metabolism > Pathways and Processes > Metabolism processes > Hypoxia
Metabolism > Types of disease > Cancer
Microbiology > Organism > Virus > RNA Virus > ssRNA positive strand virus > SARS Coronavirus
Stem Cells > Hematopoietic Progenitors > Hematopoietic Stem Cells > Human Lineage Negative
Stem Cells > Hematopoietic Progenitors > Lymphoid > B Lymphocytic Lineage
Stem Cells > Hematopoietic Progenitors > Lymphoid > NK Cell Lineage
Stem Cells > Hematopoietic Progenitors > Lymphoid > T Lymphocytic Lineage
Stem Cells > Hematopoietic Progenitors > Myeloid > Monocytic Lineage









| 应用 | 已检合格种属 | 预测种属 | 推荐稀释比例 |
|---|---|---|---|
| WB | Human | 1:500-2000 | |
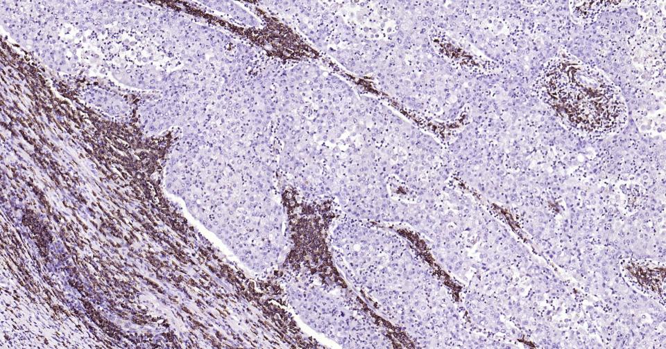
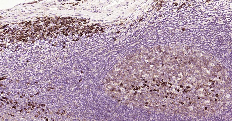
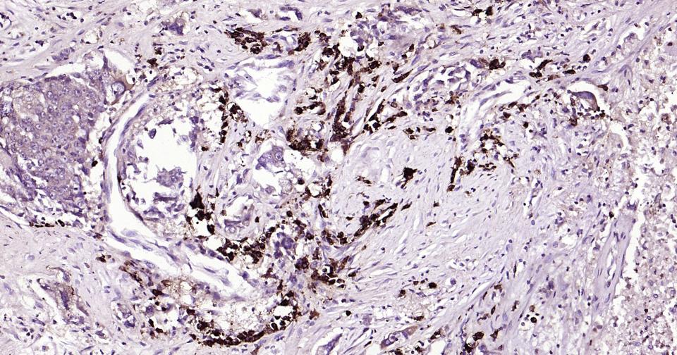
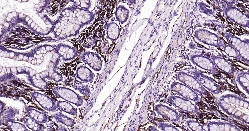
| IHC-P | Human | 1:100-500 | |
| IHC-F | Human | 1:100-500 | |
| IF | Human | 1:100-500 | |
| Flow-Cyt | Human | 1:50-100 | |
| ICC/IF | Human | 1:100-500 |
交叉反应: Human
暂无相关产品
暂无标记数据
暂无同靶标产品
暂无相关文献
暂无常见问题