糖皮质激素调节激酶1重组兔单抗

Rrmab?兔单抗
2026-03-02~2026-04-30,KXJ26032026-03-02~2026-04-30,促销赠品
糖皮质激素调节激酶1重组兔单抗
货号:bsm-52499R
产品详情
相关标记
相关产品
相关文献
常见问题

概述

产品编号
bsm-52499R
产品类型
重组兔单抗
英文名称
SGK1 Recombinant Rabbit mAb
中文名称
糖皮质激素调节激酶1重组兔单抗
英文别名
SGK; SGK1_HUMAN; SGK1; Serum/glucocorticoid-regulated kinase 1; 2.7.11.1; SGK1_MOUSE; SGK1_RAT;
抗体来源
Rabbit
免疫原
KLH conjugated synthetic peptide derived from human SGK1
亚型
IgG
性状
Liquid
纯化方法
affinity purified by Protein A
克隆类型
Recombinant
克隆号
6D1
理论分子量
55 kDa
浓度
1mg/ml
储存液
0.01M TBS (pH7.4) with 1% BSA, 0.02% Proclin300 and 50% Glycerol.
SWISS
Gene ID
保存条件
Shipped at 4℃. Store at -20℃ for one year. Avoid repeated freeze/thaw cycles.
注意事项
This product as supplied is intended for research use only, not for use in human, therapeutic or diagnostic applications.
背景资料
SGK1 is a protein kinase that plays an important role in cellular stress response. SGK1 activates certain potassium, sodium, and chloride channels, suggesting an involvement in the regulation of processes such as cell survival, neuronal excitability, and renal sodium excretion. Sustained high levels of SGK1 and activity may contribute to conditions such as hypertension and diabetic nephropathy. This protein also mediates cell survival signals, as it has been shown to phosphorylate and negatively regulate the pro apoptotic FOXO3A protein. Ser 422 is a critical site on the protein and may be involved in its activation.
糖皮质激素调节激酶1重组兔单抗糖皮质激素调节激酶1重组兔单抗糖皮质激素调节激酶1重组兔单抗糖皮质激素调节激酶1重组兔单抗糖皮质激素调节激酶1重组兔单抗糖皮质激素调节激酶1重组兔单抗糖皮质激素调节激酶1重组兔单抗糖皮质激素调节激酶1重组兔单抗糖皮质激素调节激酶1重组兔单抗糖皮质激素调节激酶1重组兔单抗糖皮质激素调节激酶1重组兔单抗糖皮质激素调节激酶1重组兔单抗糖皮质激素调节激酶1重组兔单抗

产品应用

应用已检合格种属预测种属推荐稀释比例
WBHumanMouse, Rat1:500-1000
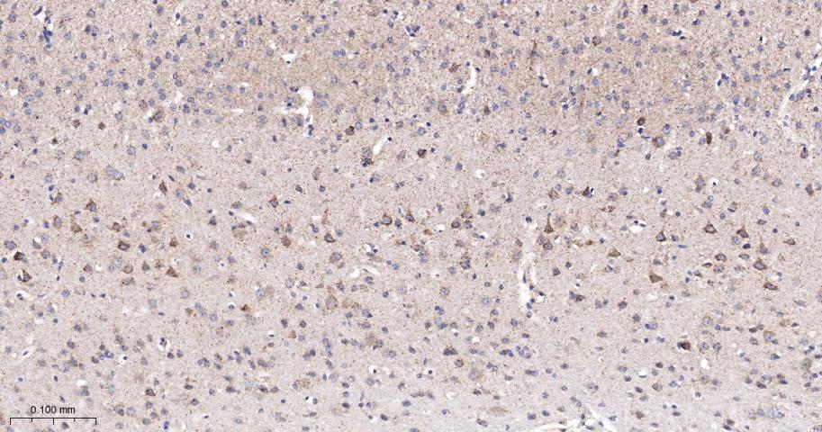
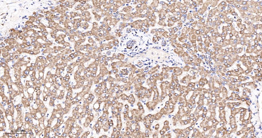
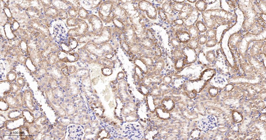
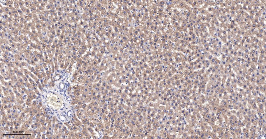
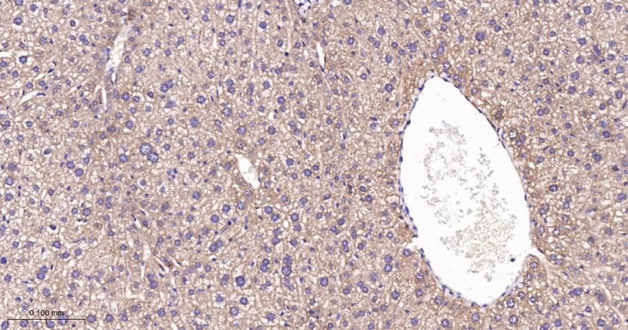
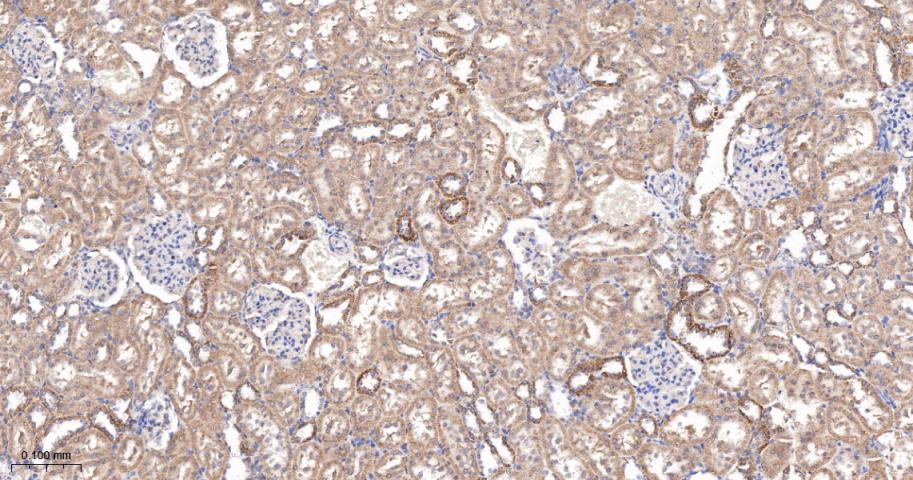
IHC-PHuman, Mouse, Rat1:100-500
IHC-FHuman, Mouse, Rat1:100-500
IFHuman, Mouse, Rat1:100-500

交叉反应

交叉反应: Human, Mouse, Rat

相关产品

暂无相关产品

靶标

基因名
SGK1
蛋白名
Serine/threonine-protein kinase Sgk1
亚基
Interacts with NEDD4 and NEDD4L.
亚细胞定位
Isoform 2: Cell membrane.
Cytoplasm. Nucleus. Endoplasmic reticulum. Note=Nuclear, upon phosphorylation.
组织特异性
Expressed in most tissues with highest levels in the pancreas, followed by placenta, kidney and lung. Isoform 2 is strongly expressed in brain and pancreas, weaker in heart, placenta, lung, liver and skeletal muscle.
翻译后修饰
Regulated by phosphorylation. Phosphoinositide 3-kinase (PI3-kinase) pathway promotes phosphorylation at Ser-422 which in turn increases the phosphorylation of Thr-256 by PDPK1.
Ubiquitinated by NEDD4L; which promotes proteasomal degradation. Ubiquitinated by SYVN1 at the endoplasmic reticulum; which promotes rapid proteasomal degradation and maintains a high turnover rate in resting cells. Isoform 2 shows enhanced stability. Isoform 2 resistance to proteasomal degradation is mediated by the sequences within the first 120-amino acid.
相似性
Belongs to the protein kinase superfamily. AGC Ser/Thr protein kinase family.
Contains 1 AGC-kinase C-terminal domain.
Contains 1 protein kinase domain.
功能
Protein kinase that plays an important role in cellular stress response. Activates certain potassium, sodium, and chloride channels, suggesting an involvement in the regulation of processes such as cell survival, neuronal excitability and renal sodium excretion. Sustained high levels and activity may contribute to conditions such as hypertension and diabetic nephropathy. Mediates cell survival signals, phosphorylates and negatively regulates pro-apoptotic FOXO3A. Phosphorylates NEDD4L, which leads to its inactivation and to the subsequent activation of various channels and transporters such as ENaC, KCNA3/Kv1.3 or EAAT1. Isoform 2 exhibited a greater effect on cell plasma membrane expression of ENaC and Na(+) transport than isoform 1.

标记抗体

暂无标记数据

同靶标产品

暂无同靶标产品

相关文献

提示: 发表研究结果有使用 bsm-52499R 时请让我们知道,以便我们可以引用参考文章。作为回馈,资料提供者将获得我们送上的小礼品。

暂无相关文献

常见问题

暂无常见问题