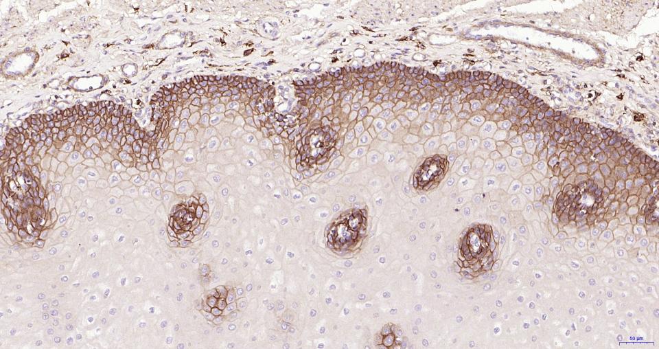
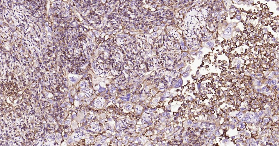
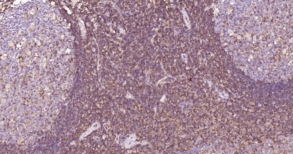
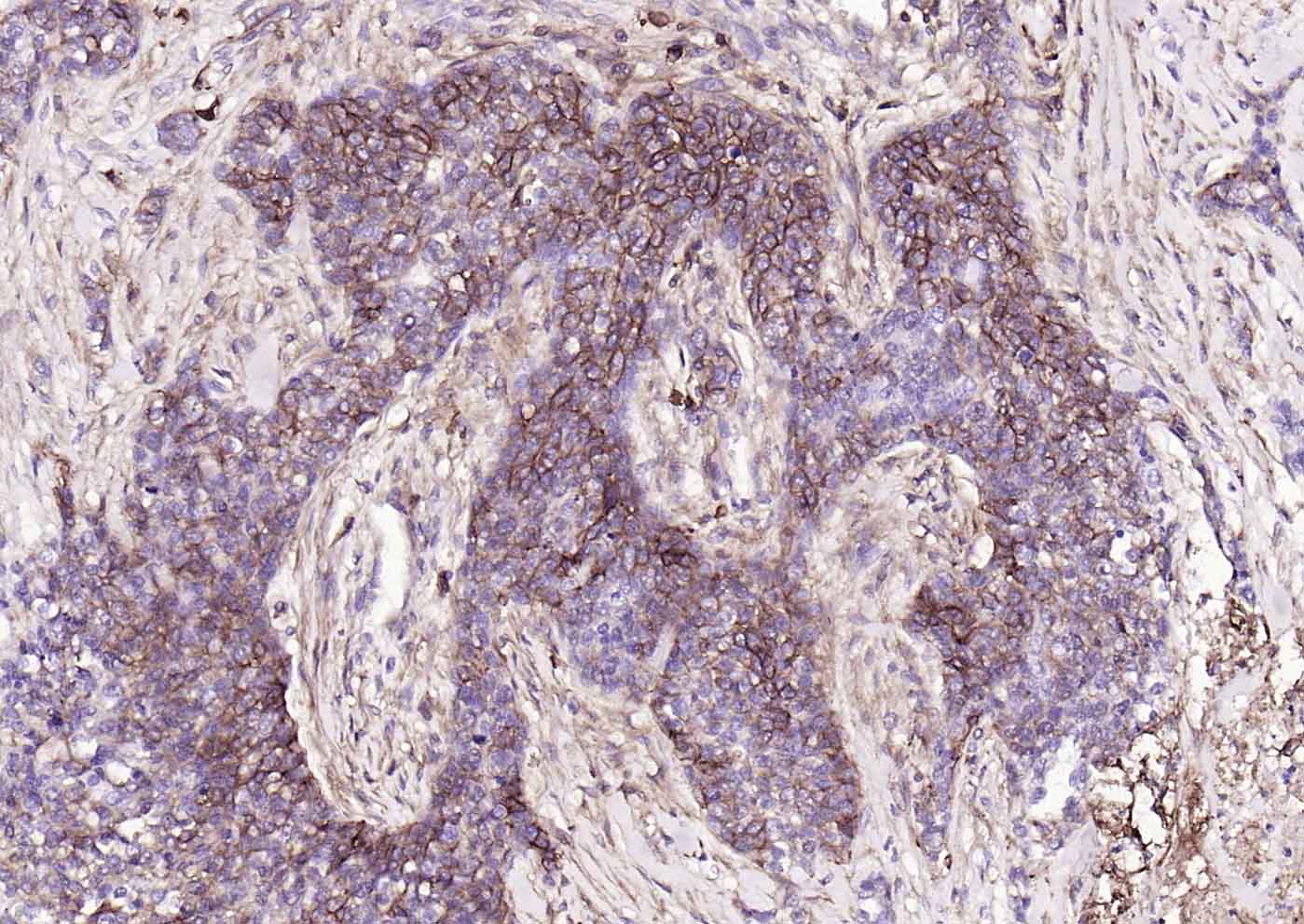
Cancer > Tumor immunology > CD markers
Immunology > Cell Type Markers > CD > Adhesion
Kits/ Lysates/ Other > Kits > ELISA Kits > ELISA Kits > CD markers ELISA kits
Stem Cells > Hematopoietic Progenitors > Lymphoid > T Lymphocytic Lineage
Stem Cells > Hematopoietic Progenitors > Myeloid > Dendritic Cell Lineage
Stem Cells > Hematopoietic Progenitors > Myeloid > Neutrophil Lineage












| 应用 | 已检合格种属 | 预测种属 | 推荐稀释比例 |
|---|---|---|---|
| IHC-P | Human | 1:100-500 | |
| IHC-F | Human | 1:100-500 | |
| IF | Human | 1:100-500 | |
| Flow-Cyt | Human | 1ug/Test | |
| ICC/IF | Human | 1:100-500 |
交叉反应: Human
暂无相关产品