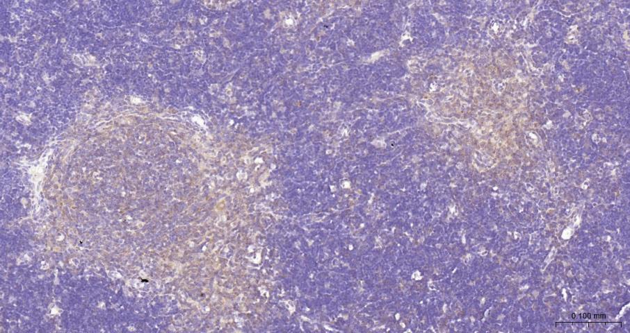
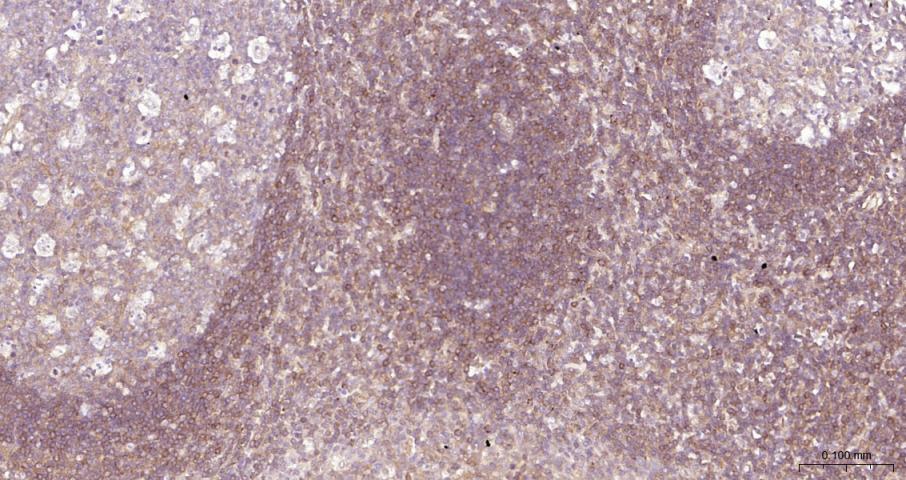
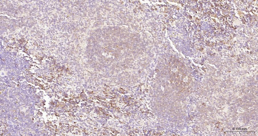
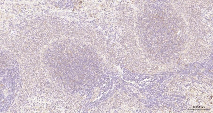
Cancer > Cell Death > Apoptosis > Apoptosis Markers > NFkB > RelA (p65)
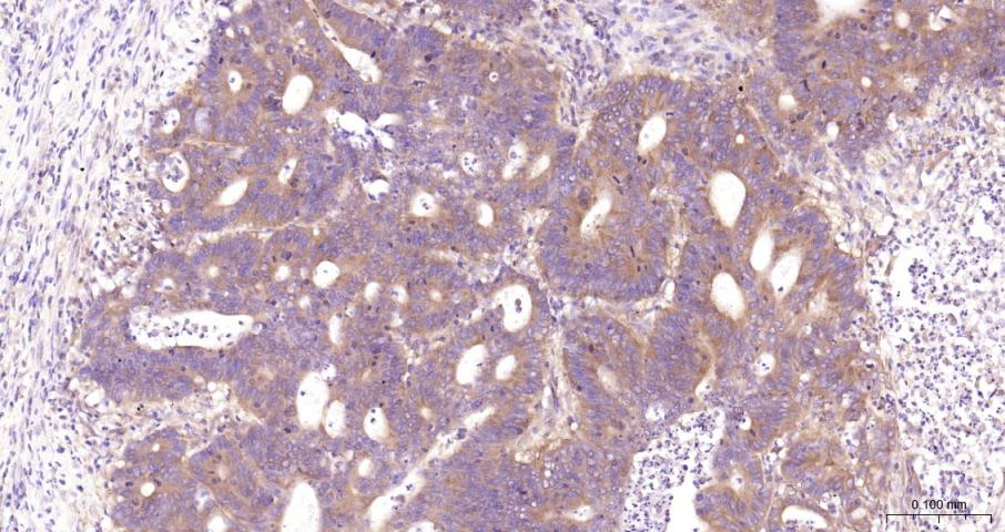
Cancer > Signal transduction > Nuclear signaling > NFkB pathway
Cardiovascular > Atherosclerosis > Vascular Inflammation > Inflammatory mediators
Cell Biology > Apoptosis > Intracellular > NFkB > RelA (p65)
Epigenetics and Nuclear Signaling > Nuclear Signaling Pathways > NFkB pathway
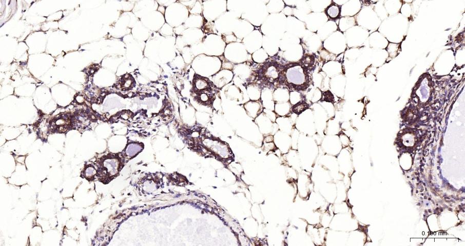
Metabolism > Types of disease > Obesity
Microbiology > Interspecies Interaction > Host Immune Response
Microbiology > Interspecies Interaction > Host Virus Interaction
Neuroscience > Neurology process > Neurodegenerative disease > Alzheimer's disease
Signal Transduction > Signaling Pathway > Nuclear Signaling > NFkB Pathway


















| 应用 | 已检合格种属 | 预测种属 | 推荐稀释比例 |
|---|---|---|---|
| WB | Human, Mouse | Rat | 1:1000-5000 |
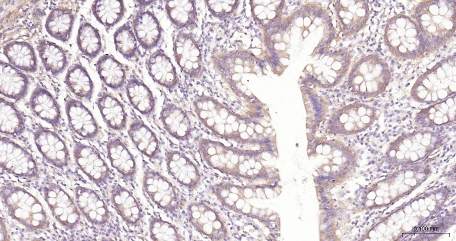
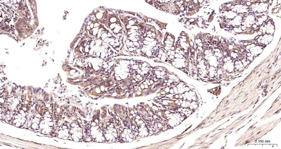
| IHC-P | Human, Mouse, Rat | 1:100-200 | |
| IHC-F | Human, Mouse, Rat | 1:100-200 | |
| IF | Human, Mouse, Rat | 1:100-200 | |
| Flow-Cyt | Human | Mouse, Rat | 1:50-100 |
| ICC/IF | Human | Mouse, Rat | 1:100-200 |
交叉反应: Human, Mouse, Rat
暂无相关产品