Purines are critical for energy metabolism, cell signaling and cell reproduction and also function as precursors for coenzymes, energy transfer molecules, regulatory factors and proteins involved in RNA and DNA synthesis. GART (GAR transformylase), also referred to as AIRS, GARS, PAIS, PGFT, PRGS or GARTF, is 1,010 amino acids in length and is a key folate-dependent trifunctional enzyme with phosphoribosylglycinamide formyltransferase, phosphoribosylglycinamide synthetase and AICAR (phosphoribosylaminoimidazole synthetase) activity required for de novo purine biosynthesis. Cancer cells require considerable amounts of purines to sustain their accelerated growth and GART is, therefore, a target for cancer chemotherapy. GART is highly conserved in vertebrates. Two isoforms of GART are expressed due to alternative splicing events.











| 应用 | 已检合格种属 | 预测种属 | 推荐稀释比例 |
|---|---|---|---|
| WB | Human, Mouse, Rat | 1:500-2000 | |
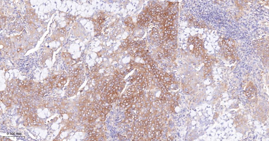
| IHC-P | Human, Mouse, Rat | 1:100-500 | |
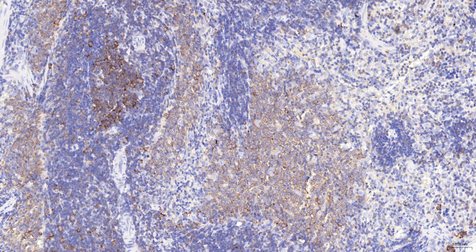
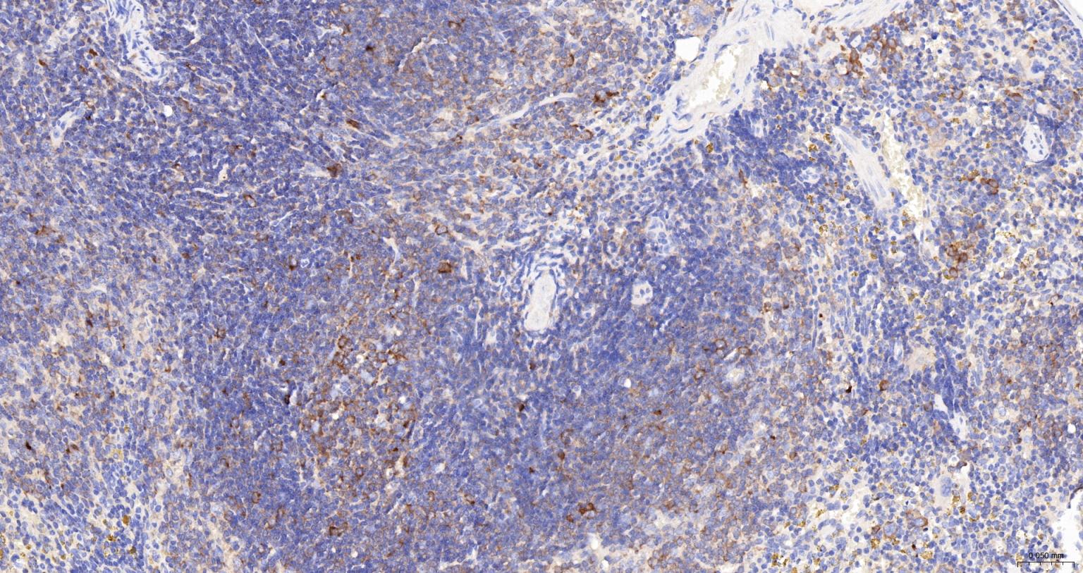
| IHC-F | Human, Mouse, Rat | 1:100-500 | |
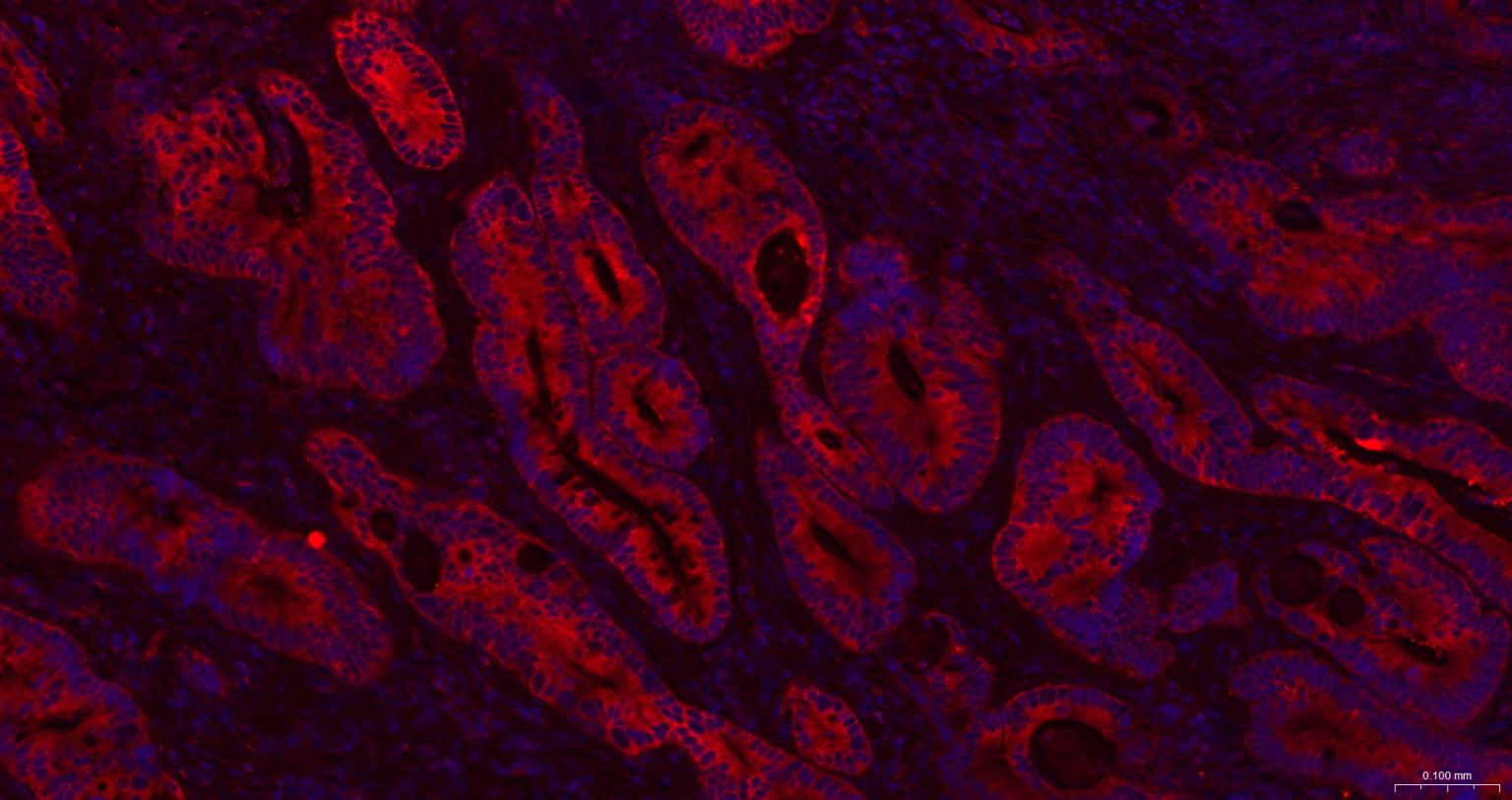
| IF | Human, Mouse, Rat | 1:100-500 | |
| Flow-Cyt | Human | Mouse, Rat | 1:50-100 |
| ICC/IF | Human, Mouse, Rat | 1:50-200 |
交叉反应: Human, Mouse, Rat
暂无相关产品