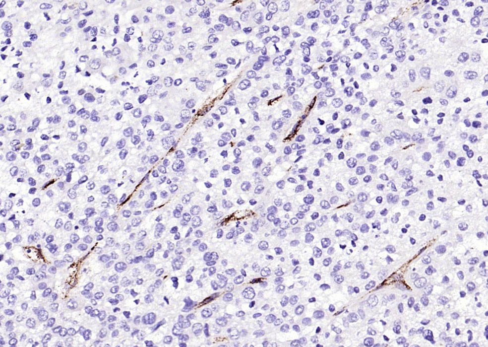
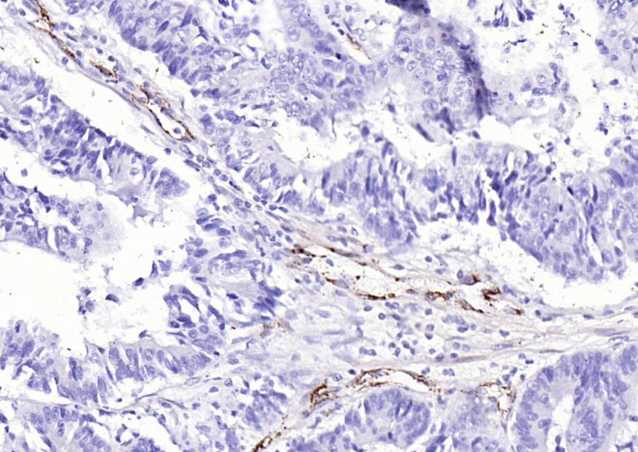
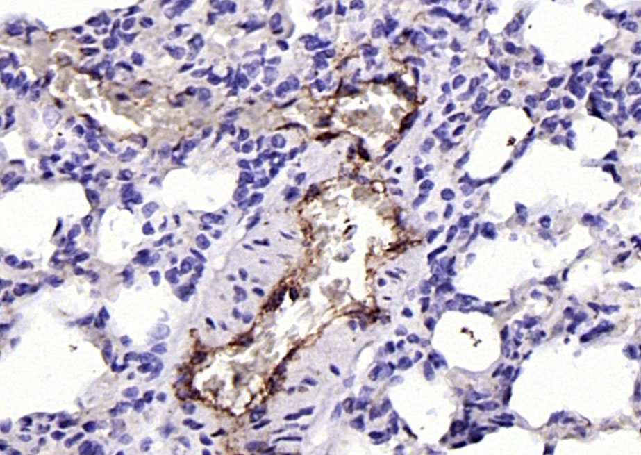
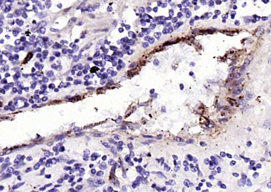
Cancer > Invasion/microenvironment > Angiogenesis > Angiogenic growth factors
Cardiovascular > Angiogenesis > Endothelial Cell Markers
Cardiovascular > Blood > Coagulation > Extrinsic
Cardiovascular > Blood > Coagulation > Regulatory
Cardiovascular > Blood > Platelets




| 应用 | 已检合格种属 | 预测种属 | 推荐稀释比例 |
|---|---|---|---|
| IHC-P | Human, Rat | Mouse | 1:100-500 |
| IHC-F | Human, Rat | Mouse | 1:100-500 |
| IF | Human, Rat | Mouse | 1:100-500 |
交叉反应: Human, Rat (predicted: Mouse)
暂无相关产品