Mucin-1 Mouse mAb (一抗) - IHC-P,IHC-F,IF | Bioss

2026-05-01~2026-06-30,AB2605
Mucin-1 Mouse mAb (一抗) - IHC-P,IHC-F,IF | Bioss
货号:bsm-41731M
产品详情
相关标记
相关产品
相关文献
常见问题

概述

产品编号
bsm-41731M
英文名称
Mucin-1 Mouse mAb
中文名称
粘蛋白-1单克隆抗体
英文别名
ADMCKD; ADMCKD1; ADTKD2; CA 15-3; CD227; Ca15-3; EMA; H23AG; KL-6; MAM6; MCD; MCKD; MCKD1; MUC-1; MUC-1/SEC; MUC-1/X; MUC1/ZD; PEM; PEMT; PUM; MUC1_HUMAN; MUC1; Breast carcinoma-associated antigen DF3; Cancer antigen 15-3 (CA 15-3); Carcinoma-associated mucin; Episialin; Krebs von den Lungen-6 (KL-6); Peanut-reactive urinary mucin (PUM); Polymorphic epithelial mucin (PEM); Tumor-associated epithelial membrane antigen (EMA); Tumor-associated mucin; MUC1_MOUSE; mucin 1, cell surface associated; mucin 1, transmembrane; medullary cystic kidney disease 1 (autosomal dominant); epithelial membrane antigen
抗体来源
Mouse
免疫原
Recombinant Human Mucin-1 Protein: 921-1158/1255
亚型
IgG1
性状
Size : 50ul/100ul
Liquid

Size : 200ug (PBS only)
Lyophilized
Note: Centrifuge tubes before opening. Reconstitute the lyophilized product in distilled water. Optimal concentration should be determined by the end user.
纯化方法
affinity purified by Protein A
克隆类型
Monoclonal
克隆号
6E9
理论分子量
138 kDa
浓度
1mg/ml
储存液
Size : 50ul/100ul
0.01M TBS (pH7.4) with 1% BSA, 0.02% Proclin300 and 50% Glycerol.
Size : 200ug (PBS only)
0.01M PBS
SWISS
Gene ID
保存条件
Shipped at 4℃. Store at -20℃ for one year. Avoid repeated freeze/thaw cycles.
注意事项
This product as supplied is intended for research use only, not for use in human, therapeutic or diagnostic applications.
产品介绍
CA153为高分子糖蛋白,是乳腺癌标志物之一,其表达的量与乳腺癌的分化程度及雌激素受体高低有关联。近年来,很多学者研究认为:在人的很多种恶性肿瘤中都有CA15-3的不同表达。
背景资料
MUC1 is a large cell surface mucin glycoprotein expressed by most glandular and ductal epithelial cells and some hematopoietic cell lineages. It is expressed on most secretory epithelium, including mammary gland and some hematopoietic cells. It is expressed abundantly in lactating mammary glands and overexpressed abundantly in >90% breast carcinomas and metastases. Transgenic MUC1 has been shown to associate with all four cebB receptors and localize with erbB1 (EGFR) in lactating glands. The MUC1 gene contains seven exons and produces several different alternatively spliced variants. The major expressed form of MUC1 uses all seven exons and is a type 1 transmembrane protein with a large extracellular tandem repeat domain. The tandem repeat domain is highly O glycosylated and alterations in glycosylation have been shown in epithelial cancer cells.
粘蛋白-1单克隆抗体-bsm-41731M粘蛋白-1单克隆抗体-bsm-41731M粘蛋白-1单克隆抗体-bsm-41731M粘蛋白-1单克隆抗体-bsm-41731M粘蛋白-1单克隆抗体-bsm-41731M

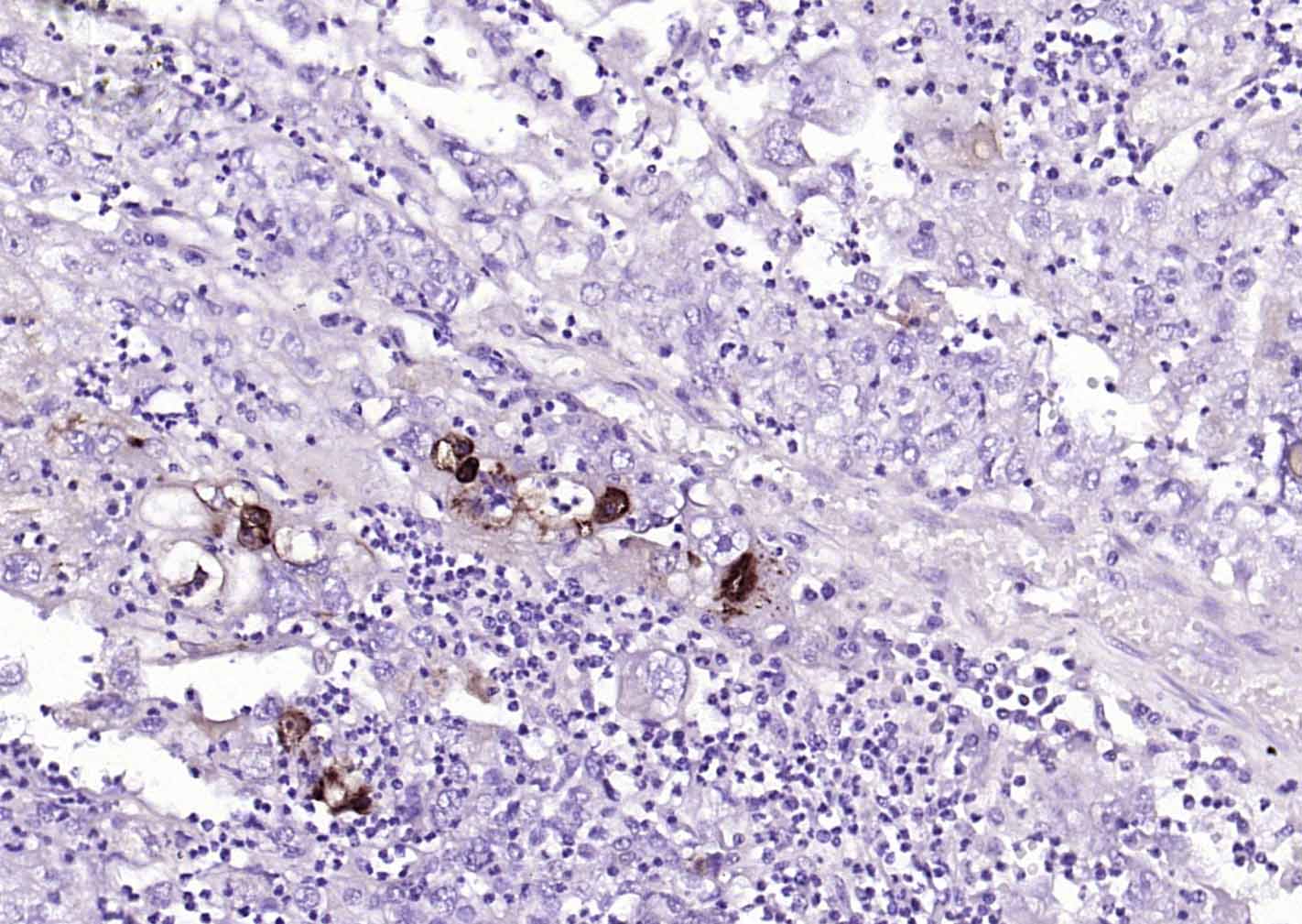
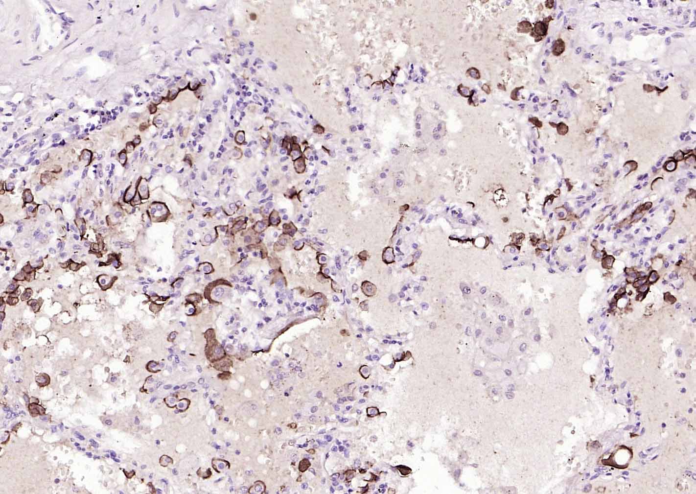
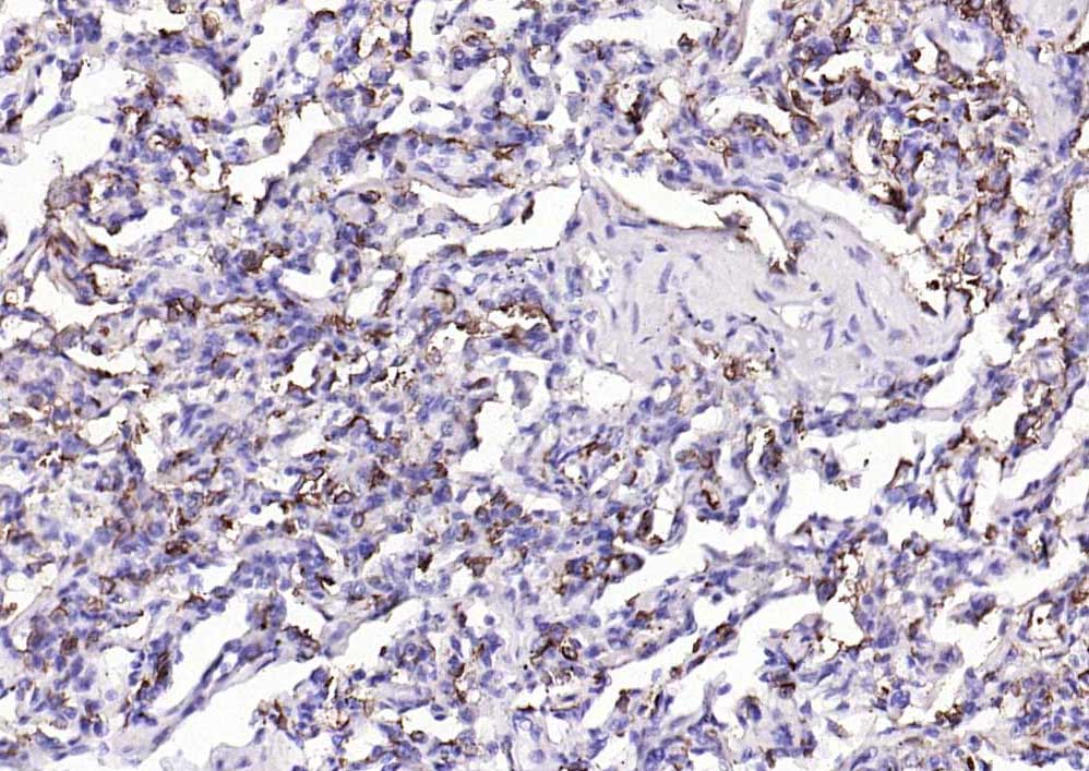
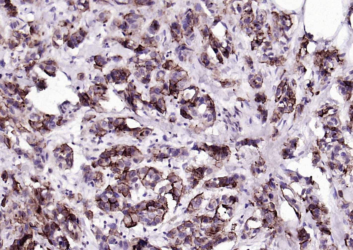
产品应用

应用已检合格种属预测种属推荐稀释比例
IHC-PHuman1:100-500
IHC-FHuman1:100-500
IFHuman1:100-500

交叉反应

交叉反应: Human

相关产品

暂无相关产品

靶标

基因名
MUC1
蛋白名
Mucin-1
亚基
The alpha subunit forms a tight, non-covalent heterodimeric complex with the proteolytically-released beta-subunit.
亚细胞定位
Secreted; Cell membrane. Cytoplasm. Nucleus. On EGF and PDGFRB stimulation, transported to the nucleus through interaction with CTNNB1, a process which is stimulated by phosphorylation. On HRG stimulation, colocalizes with JUP/gamma-catenin at the nucleus and Apical cell membrane. Exclusively located in the apical domain of the plasma membrane of highly polarized epithelial cells. After endocytosis, internalized and recycled to the cell membrane. Located to microvilli and to the tips of long filopodial protusions.
组织特异性
Expressed on the apical surface of epithelial cells, especially of airway passages, breast and uterus. Also expressed in activated and unactivated T-cells.
Overexpressed in epithelial tumors, such as breast or ovarian cancer and also in non-epithelial tumor cells. Isoform 7 is expressed in tumor cells only.
翻译后修饰
Highly glycosylated (N- and O-linked carbohydrates and sialic acid). O-glycosylated to a varying degree on serine and threonine residues within each tandem repeat, ranging from mono- to penta-glycosylation. The average density ranges from about 50% in human milk to over 90% in T47D breast cancer cells. Further sialylation occurs during recycling. Membrane-shed glycoproteins from kidney and breast cancer cells have preferentially sialyated core 1 structures, while secreted forms from the same tissues display mainly core 2 structures. The O-glycosylated content is overlapping in both these tissues with terminal fucose and galactose, 2- and 3-linked galactose, 3- and 3,6-linked GalNAc-ol and 4-linked GlcNAc predominating. Differentially O-glycosylated in breast carcinomas with 3,4-linked GlcNAc. N-glycosylation consists of high-mannose, acidic complex-type and hybrid glycans in the secreted form MUC1/SEC, and neutral complex-type in the transmembrane form, MUC1/TM.
Proteolytic cleavage in the SEA domain occurs in the endoplasmic reticulum by an autoproteolytic mechanism and requires the full-length SEA domain as well as requiring a Ser, Thr or Cys residue at the P + 1 site. Cleavage at this site also occurs on isoform MUC1/X but not on isoform MUC1/Y. Ectodomain shedding is mediated by ADAM17.
疾病
Note=MUC1/CA 15-3 is used as a serological clinical marker of breast cancer to monitor response to breast cancer treatment and disease recurrence (PubMed:20816948). Decreased levels over time may be indicative of a positive response to treatment. Conversely, increased levels may indicate disease progression. At an early stage disease, only 21% of patients exhibit high MUC1/CA 15-3 levels, that is why CA 15-3 is not a useful screening test. Most antibodies target the highly immunodominant core peptide domain of 20 amino acid (APDTRPAPGSTAPPAHGVTS) tandem repeats. Some antibodies recognize glycosylated epitopes.
相似性
Contains 1 SEA domain.
功能
The alpha subunit has cell adhesive properties. Can act both as an adhesion and an anti-adhesion protein. May provide a protective layer on epithelial cells against bacterial and enzyme attack.
The beta subunit contains a C-terminal domain which is involved in cell signaling, through phosphorylations and protein-protein interactions. Modulates signaling in ERK, SRC and NF-kappa-B pathways. In activated T-cells, influences directly or indirectly the Ras/MAPK pathway. Promotes tumor progression. Regulates TP53-mediated transcription and determines cell fate in the genotoxic stress response. Binds, together with KLF4, the PE21 promoter element of TP53 and represses TP53 activity.

同靶标产品

相关文献

提示: 发表研究结果有使用 bsm-41731M 时请让我们知道,以便我们可以引用参考文章。作为回馈,资料提供者将获得我们送上的小礼品。

常见问题