GAP43 Mouse mAb (一抗) - WB,IHC-P,IHC-F,IF,ICC/IF | Bioss

2026-03-02~2026-04-30,KXJ26032026-03-02~2026-04-30,促销赠品
GAP43 Mouse mAb (一抗) - WB,IHC-P,IHC-F,IF,ICC/IF | Bioss
货号:bsm-33192M
产品详情
相关标记
相关产品
相关文献
常见问题

概述

产品编号
bsm-33192M
英文名称
GAP43 Mouse mAb
中文名称
神经生长相关蛋白43单克隆抗体
英文别名
B-50; GAP-43; PP46; Basp2; NEUM_HUMAN; GAP43; Axonal membrane protein GAP-43; Growth-associated protein 43; Neural phosphoprotein B-50; NEUM_MOUSE; Calmodulin-binding protein P-57; NEUM_RAT; Protein F1;
抗体来源
Mouse
免疫原
Recombinant human GAP43 Protein
亚型
IgG
性状
Size : 50ul/100ul/200ul
Liquid

Size : 200ug (PBS only)
Lyophilized
Note: Centrifuge tubes before opening. Reconstitute the lyophilized product in distilled water. Optimal concentration should be determined by the end user.
纯化方法
affinity purified by Protein G
克隆类型
Monoclonal
克隆号
6F11
理论分子量
43 kDa
检测分子量
43 kDa
浓度
1mg/ml
储存液
Size : 50ul/100ul/200ul
0.01M TBS (pH7.4) with 1% BSA, 0.02% Proclin300 and 50% Glycerol.
Size : 200ug (PBS only)
0.01M PBS
SWISS
Gene ID
保存条件
Shipped at 4℃. Store at -20℃ for one year. Avoid repeated freeze/thaw cycles.
注意事项
This product as supplied is intended for research use only, not for use in human, therapeutic or diagnostic applications.
产品介绍
神经生物学相关蛋白(Neurobiology);神经标志物
GAP43 (Growth associated protein-43)又称作neuromodulin,是一个轴突膜蛋白,是一种神经特异性的蛋白质,参与神经细胞外生长及突触发育形成和神经细胞再生。在神经元发育和再生过程中以高水平表达。能调解轴突延伸作用,改变细胞形态。作为细胞内信号,可大大增强与G蛋白偶联的受体转运作用。
神经生长相关蛋白-GAP-43和神经细胞黏附因子(neural cell adhesion molecule,NCAM)与突触可塑性密切相关.GAP-43是一种神经细胞膜上的特异性磷蛋白,在神经发育和再生过程中呈现高表达,被作为突触生长的标志物,有称脊髓生长相关蛋白
GAP-43与CaM结合,参与G蛋白相互作用,神经递质的释放,作用于胞吞/胞吐过程,通过小囊溶合或诱导生长锥和突触前末端的胞吞促进膜扩展,与海马长时程增强密切相关.
神经细胞黏附因子是细胞表面糖蛋白大家族的成员之一,促进轴突生长,对长时记忆的保持有重要影响,同时,GAP-43对其具调节作用,广泛而深入地研究GAP-43意义深远。
背景资料
The protein encoded by this gene has been termed a 'growth' or 'plasticity' protein because it is expressed at high levels in neuronal growth cones during development and axonal regeneration. This protein is considered a crucial component of an effective regenerative response in the nervous system. Alternatively spliced transcript variants encoding distinct isoforms have been found for this gene. [provided by RefSeq, Jul 2008]
神经生长相关蛋白43单克隆抗体-bsm-33192M神经生长相关蛋白43单克隆抗体-bsm-33192M神经生长相关蛋白43单克隆抗体-bsm-33192M神经生长相关蛋白43单克隆抗体-bsm-33192M神经生长相关蛋白43单克隆抗体-bsm-33192M神经生长相关蛋白43单克隆抗体-bsm-33192M神经生长相关蛋白43单克隆抗体-bsm-33192M神经生长相关蛋白43单克隆抗体-bsm-33192M神经生长相关蛋白43单克隆抗体-bsm-33192M神经生长相关蛋白43单克隆抗体-bsm-33192M神经生长相关蛋白43单克隆抗体-bsm-33192M

产品应用

应用已检合格种属预测种属推荐稀释比例
WBMouse, RatHuman1:500-2000
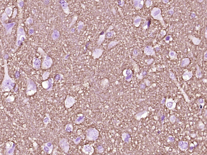
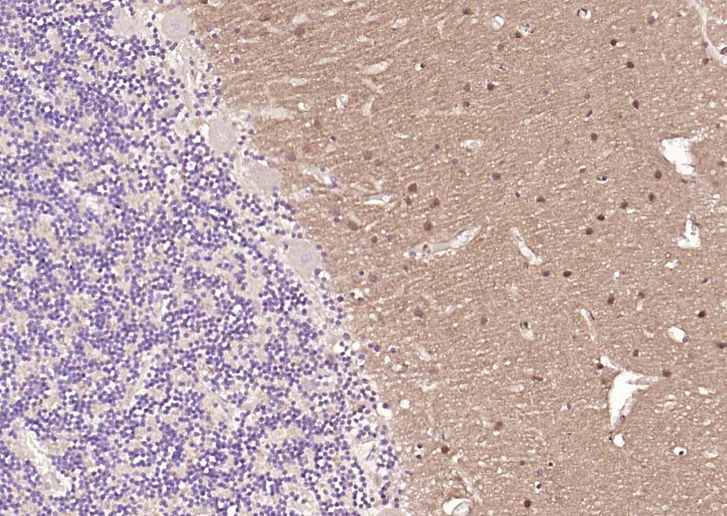
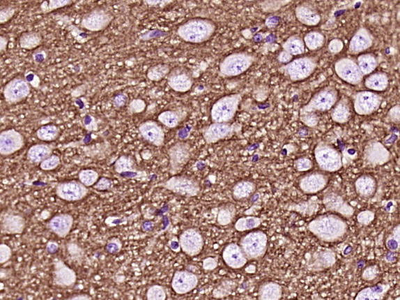
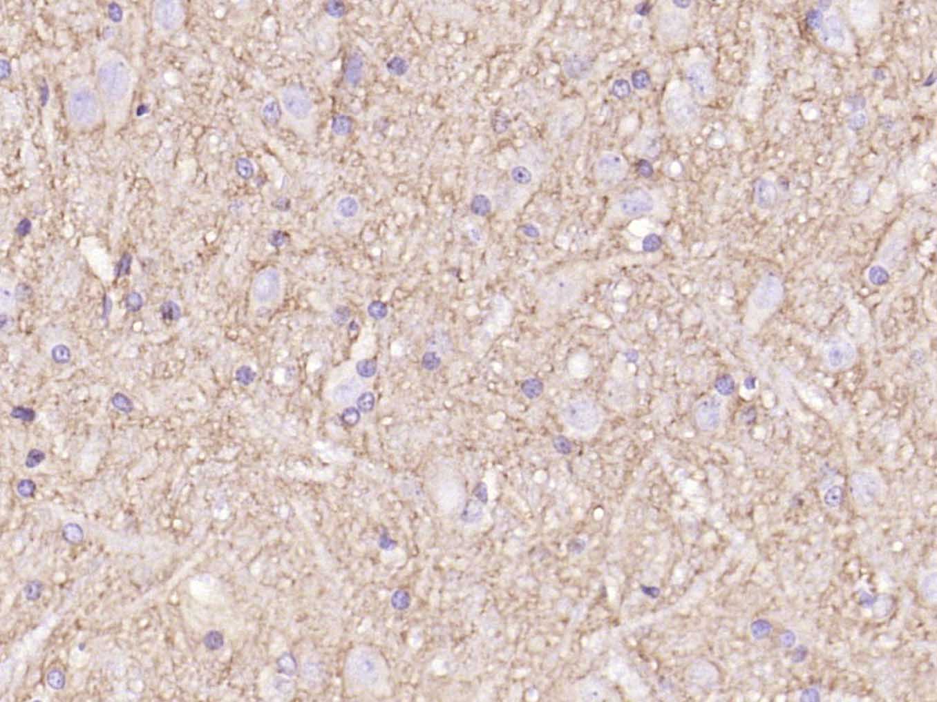
IHC-PHuman, Mouse, Rat1:100-500
IHC-FHuman, Mouse, Rat1:100-500
IFHuman, Mouse, Rat1:100-500
ICC/IFHumanMouse, Rat1:50-200

交叉反应

交叉反应: Human, Mouse, Rat

相关产品

暂无相关产品

靶标

基因名
GAP43
蛋白名
Neuromodulin
亚基
Identified in a complex containing FGFR4, NCAM1, CDH2, PLCG1, FRS2, SRC, SHC1, GAP43 and CTTN. Binds calmodulin with a greater affinity in the absence of Ca(2+) than in its presence.
亚细胞定位
Cell membrane; Peripheral membrane protein; Cytoplasmic side. Cell projection, growth cone membrane; Peripheral membrane protein; Cytoplasmic side. Cell junction, synapse. Cell projection, filopodium membrane; Peripheral membrane protein. Note=Cytoplasmic surface of growth cone and synaptic plasma membranes.
翻译后修饰
Phosphorylated at Ser-41 by PHK. Phosphorylation of this protein by a protein kinase C is specifically correlated with certain forms of synaptic plasticity.
Palmitoylation by ARF6 is essential for plasma membrane association and axonal and dendritic filopodia induction. Deacylated by LYPLA2.
相似性
Belongs to the neuromodulin family.
Contains 1 IQ domain.
功能
This protein is associated with nerve growth. It is a major component of the motile 'growth cones' that form the tips of elongating axons. Plays a role in axonal and dendritic filopodia induction.

同靶标产品

相关文献

提示: 发表研究结果有使用 bsm-33192M 时请让我们知道,以便我们可以引用参考文章。作为回馈,资料提供者将获得我们送上的小礼品。
具体参考文献:bsm-33192M 被引用于2文献中

常见问题