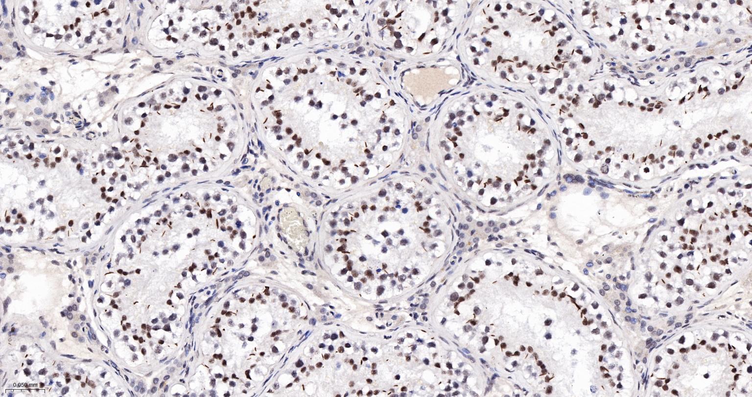
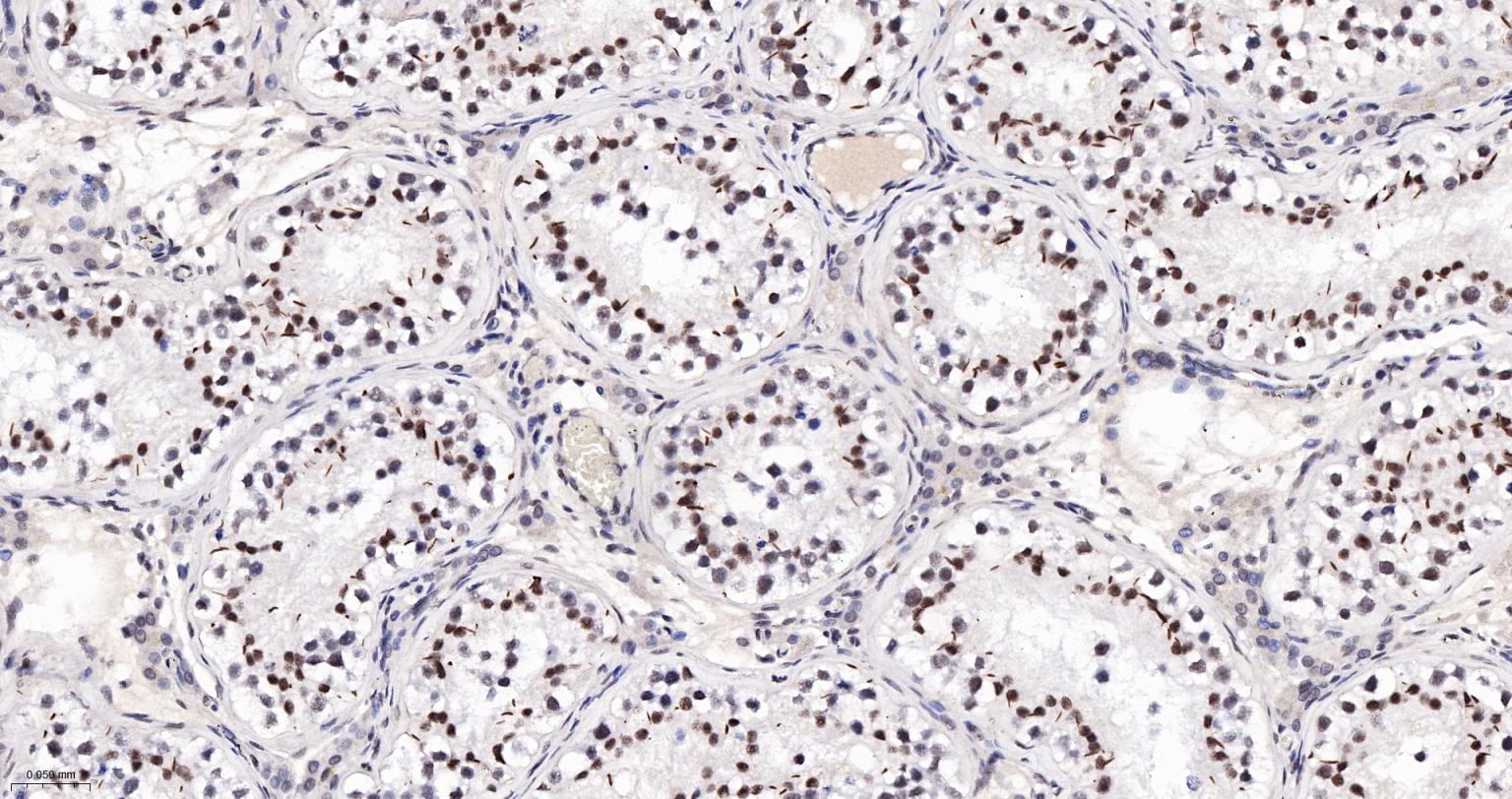
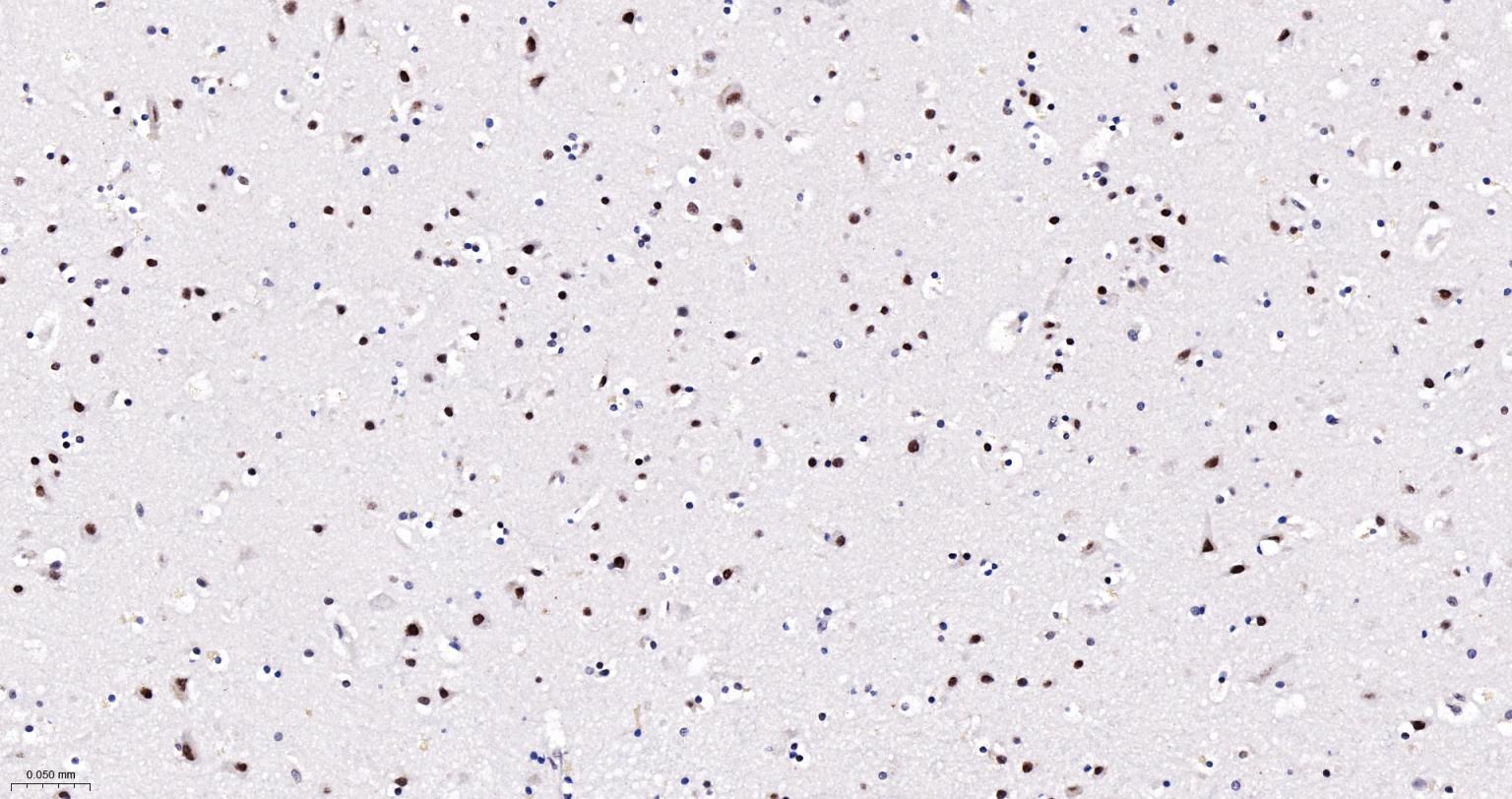
2679号盒-20230321-LXH_20.0x-1-C.jpg)
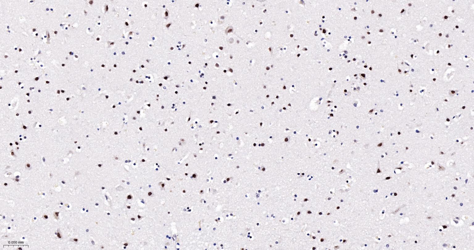
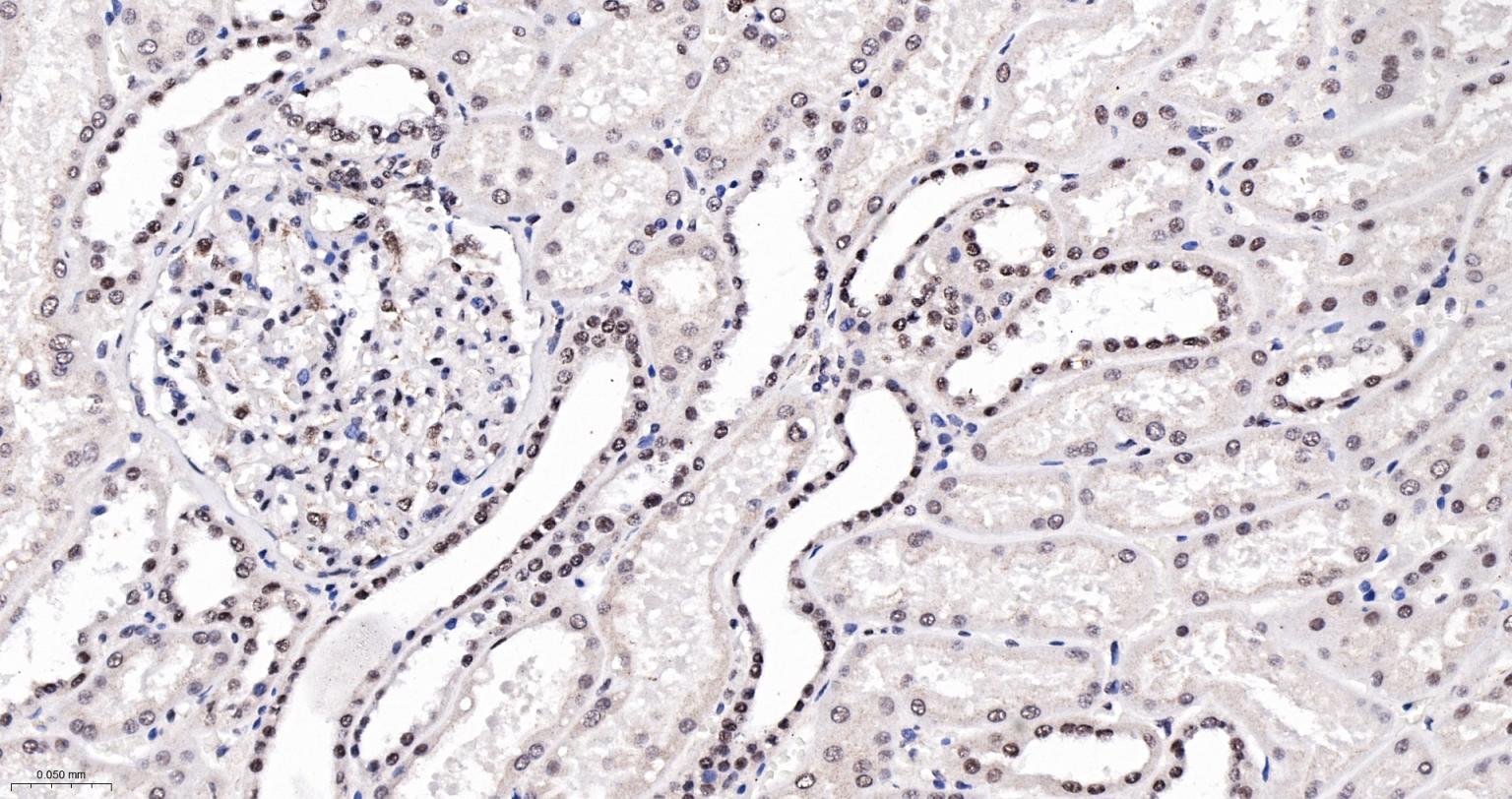
2679号盒-20230321-LXH_25.9x-2-C.jpg)
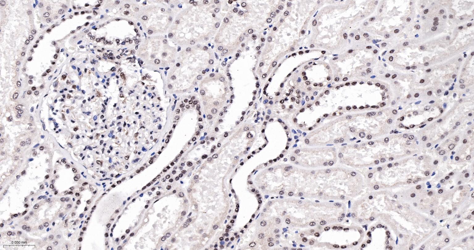
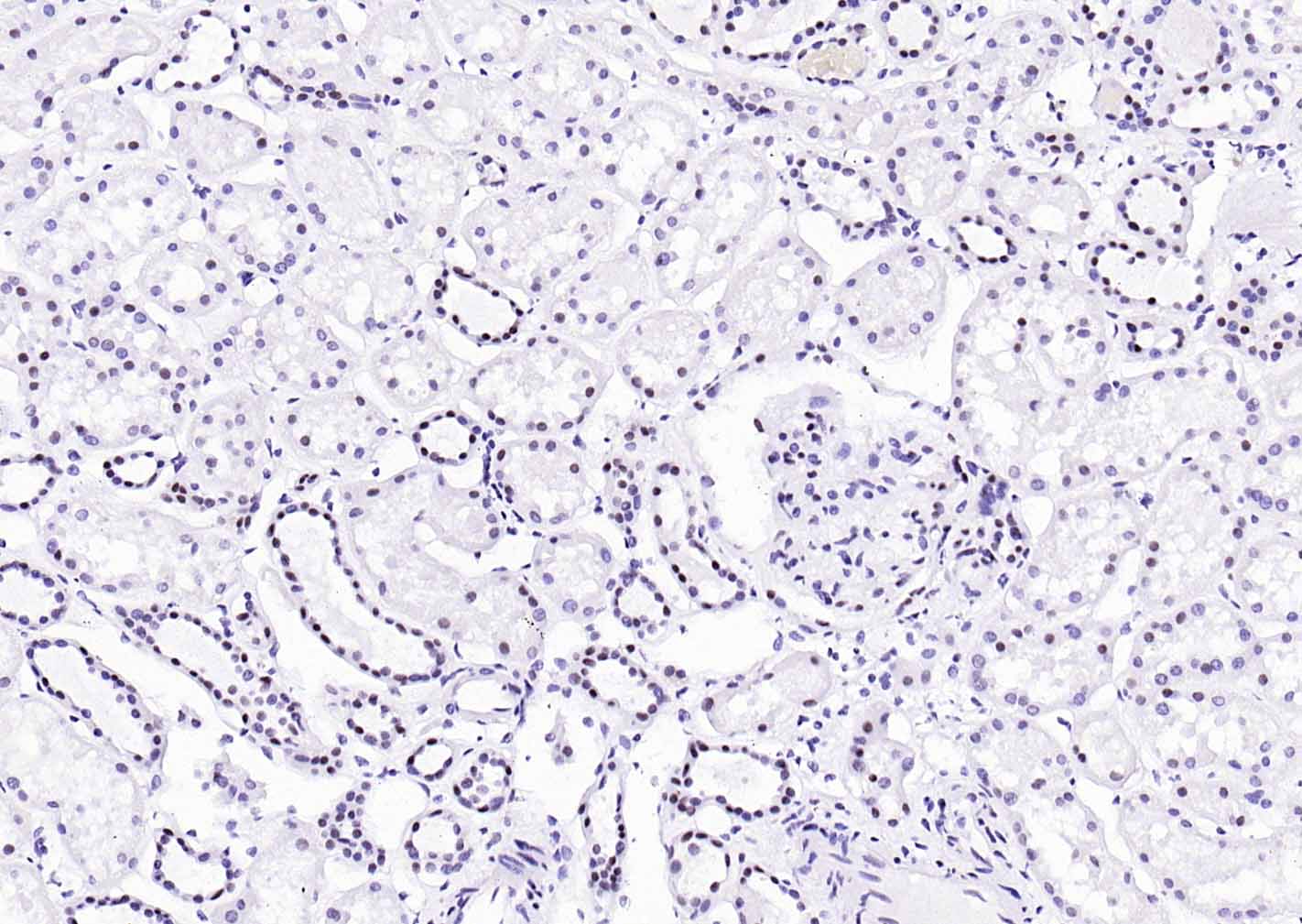
2679号盒-20230321-LXH_20.0x-5-C.jpg)






| 应用 | 已检合格种属 | 预测种属 | 推荐稀释比例 |
|---|---|---|---|
| IHC-P | Human | 1:100-500 | |
| IHC-F | Human | 1:100-500 | |
| IF | Human | 1:100-500 |
交叉反应: Human
暂无相关产品
Interacts directly with ATRX, CHAF1A, LBR, NIPBL, SP100, STAM2 and TRIM28 via the chromoshadow domain (PubMed:15882967, PubMed:9169472).
Can interact directly with CBX3 via the chromoshadow domain (PubMed:9169472).
Interacts with KMT5B and KMT5C (By similarity).
Interacts with HP1BP3 (PubMed:20042602).
Interacts with histone H3 methylated at 'Lys-9' (PubMed:11242053, PubMed:21047797).
Interacts with BAHD1, MIS12 and DSN1 (PubMed:15502821, PubMed:19666599).
Interacts with POGZ; POGZ and PXVXL motif-containing proteins such as INCENP and TRIM28 compete for interaction with CBX5 (PubMed:20562864, PubMed:20850016, PubMed:21346195).
Interacts with INCENP and TRIM24 (PubMed:11313457).
Interacts with CHAMP1 (PubMed:20850016).
Interacts with PRR14 (via N-terminus) (PubMed:25906157).
Interacts with RRP1B (PubMed:19710015).
Interacts with HNRNPU (via C-terminus); this interaction is, at least in part, RNA-dependent (PubMed:19617346).
Interacts with LRIF1 (via PxVxL motif) (PubMed:23542155).
Interacts with ZNF263; recruited to the SIX3 promoter along with other proteins involved in chromatin modification and transcriptional corepression where it contributes to transcriptional repression (PubMed:32051553).
May form homodimers (By similarity).
Interacts with SMYD5 (By similarity).
Interacts with CHD3 (PubMed:28977666).
Interacts with CHD4 (PubMed:28977666).
Nucleus. Chromosome. Chromosome, centromere. Note=Component of centromeric and pericentromeric heterochromatin. Associates with chromosomes during mitosis. Associates specifically with chromatin during metaphase and anaphase.
Phosphorylation of HP1 and LBR may be responsible for some of the alterations in chromatin organization and nuclear structure which occur at various times during the cell cycle (By similarity).
Phosphorylated during interphase and possibly hyper-phosphorylated during mitosis
Contains 2 chromo domains.
Component of heterochromatin that recognizes and binds histone H3 tails methylated at 'Lys-9' (H3K9me), leading to epigenetic repression. In contrast, it is excluded from chromatin when 'Tyr-41' of histone H3 is phosphorylated (H3Y41ph). Can interact with lamin-B receptor (LBR). This interaction can contribute to the association of the heterochromatin with the inner nuclear membrane. Involved in the formation of functional kinetochore through interaction with MIS12 complex proteins.