HSC70 Mouse mAb (一抗) | Bioss

2026-03-02~2026-04-30,KXJ26032026-03-02~2026-04-30,促销赠品
HSC70 Mouse mAb (一抗) | Bioss
货号:bsm-33211M
产品详情
相关标记
相关产品
相关文献
常见问题

概述

产品编号
bsm-33211M
英文名称
HSC70 Mouse mAb
中文名称
热休克蛋白71单克隆抗体
英文别名
HEL-33; HEL-S-72p; HSC54; HSC70; HSC71; HSP71; HSP73; HSPA10; LAP-1; LAP1; NIP71; 2410008N15Rik; Hsc73; HSP7C_HUMAN; HSPA8; Heat shock 70 kDa protein 8; Heat shock protein family A member 8; Lipopolysaccharide-associated protein 1 (LAP-1 | LPS-associated protein 1); 3.6.4.10; HSP7C_MOUSE; HSP7C_RAT;
抗体来源
Mouse
免疫原
Recombinant human HSC70 Protein
亚型
IgG
性状
Size : 50ul/100ul/200ul
Liquid

Size : 200ug (PBS only)
Lyophilized
Note: Centrifuge tubes before opening. Reconstitute the lyophilized product in distilled water. Optimal concentration should be determined by the end user.
纯化方法
affinity purified by Protein G
克隆类型
Monoclonal
克隆号
8C7
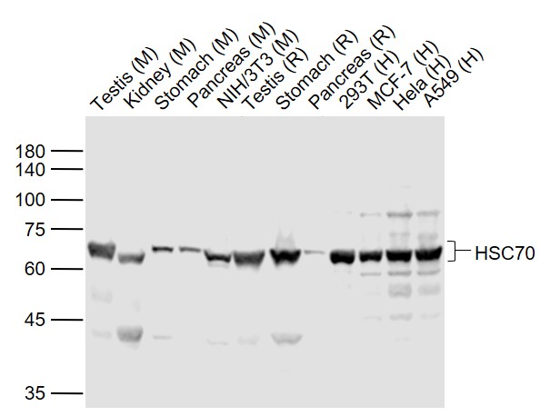
理论分子量
71 kDa
检测分子量
68 kDa
浓度
1mg/ml
储存液
Size : 50ul/100ul/200ul
0.01M TBS (pH7.4) with 1% BSA, 0.02% Proclin300 and 50% Glycerol.
Size : 200ug (PBS only)
0.01M PBS
SWISS
Gene ID
保存条件
Shipped at 4℃. Store at -20℃ for one year. Avoid repeated freeze/thaw cycles.
注意事项
This product as supplied is intended for research use only, not for use in human, therapeutic or diagnostic applications.
背景资料
This gene encodes a member of the heat shock protein 70 family, which contains both heat-inducible and constitutively expressed members. This protein belongs to the latter group, which are also referred to as heat-shock cognate proteins. It functions as a chaperone, and binds to nascent polypeptides to facilitate correct folding. It also functions as an ATPase in the disassembly of clathrin-coated vesicles during transport of membrane components through the cell. Alternatively spliced transcript variants encoding different isoforms have been found for this gene. [provided by RefSeq, Aug 2011]
热休克蛋白71单克隆抗体-bsm-33211M热休克蛋白71单克隆抗体-bsm-33211M热休克蛋白71单克隆抗体-bsm-33211M热休克蛋白71单克隆抗体-bsm-33211M热休克蛋白71单克隆抗体-bsm-33211M热休克蛋白71单克隆抗体-bsm-33211M热休克蛋白71单克隆抗体-bsm-33211M热休克蛋白71单克隆抗体-bsm-33211M热休克蛋白71单克隆抗体-bsm-33211M热休克蛋白71单克隆抗体-bsm-33211M热休克蛋白71单克隆抗体-bsm-33211M

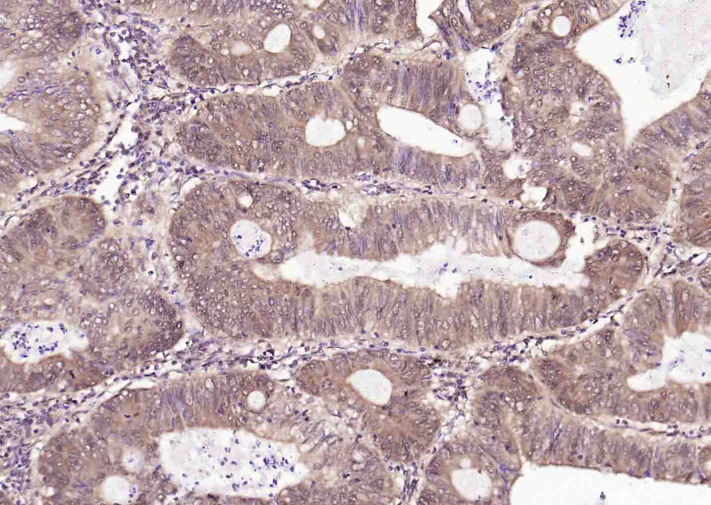
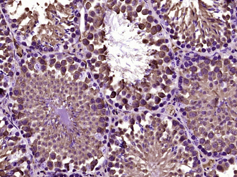
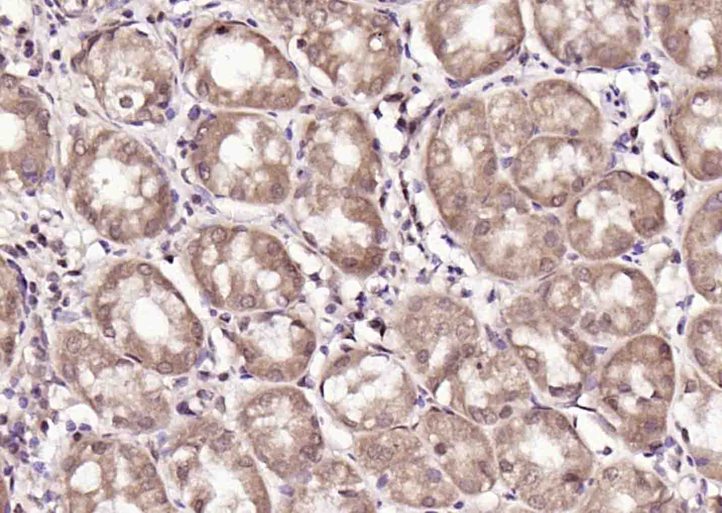
产品应用

应用已检合格种属预测种属推荐稀释比例
WBHuman, Mouse, Rat1:500-1000
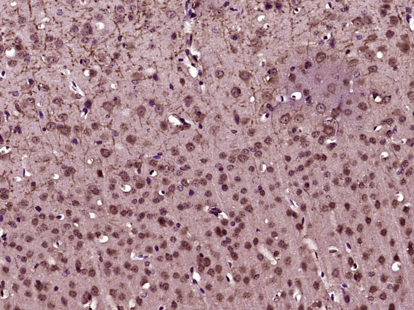
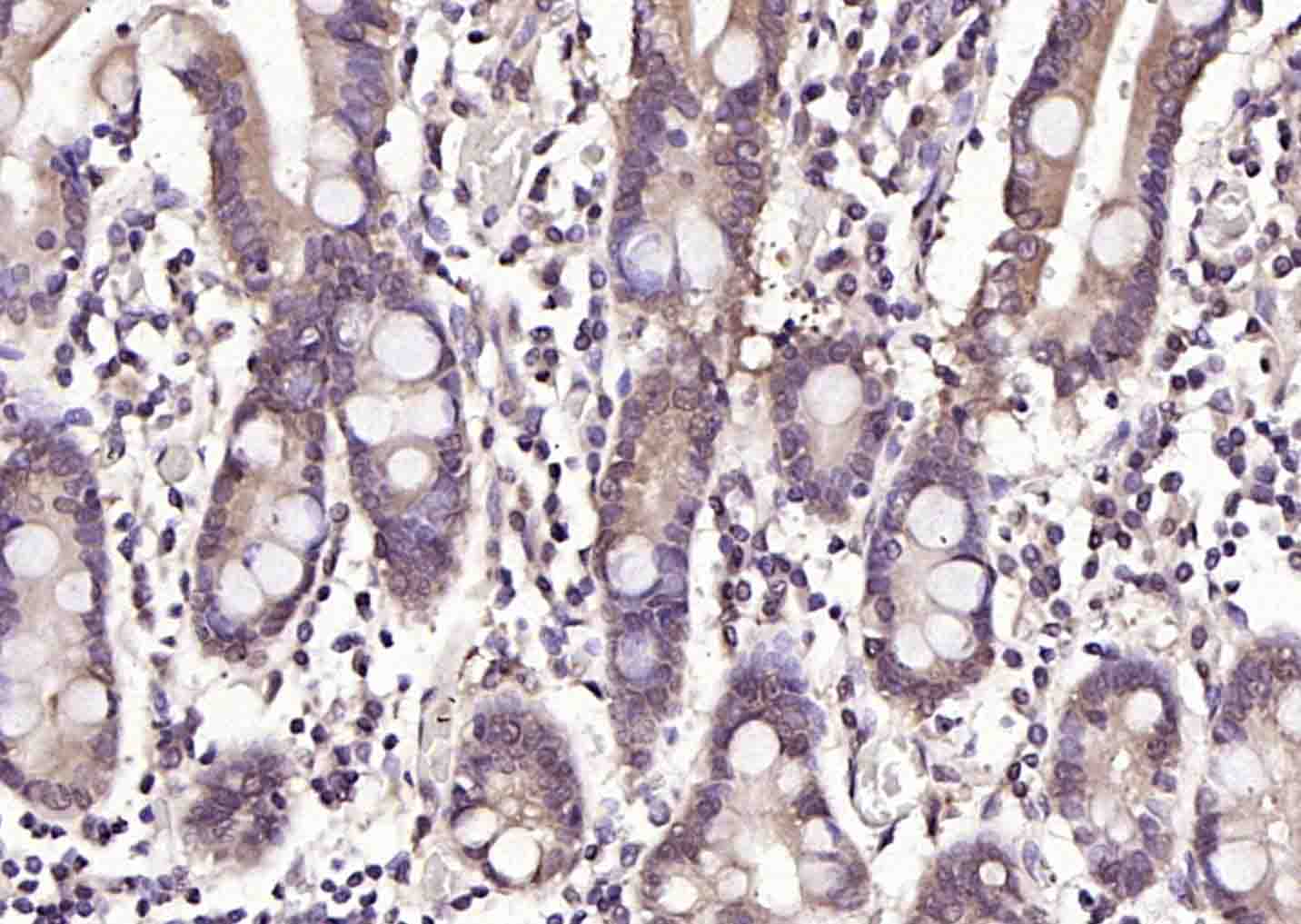
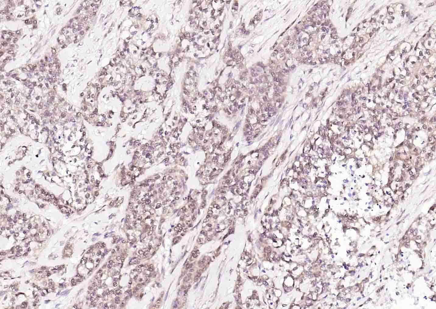
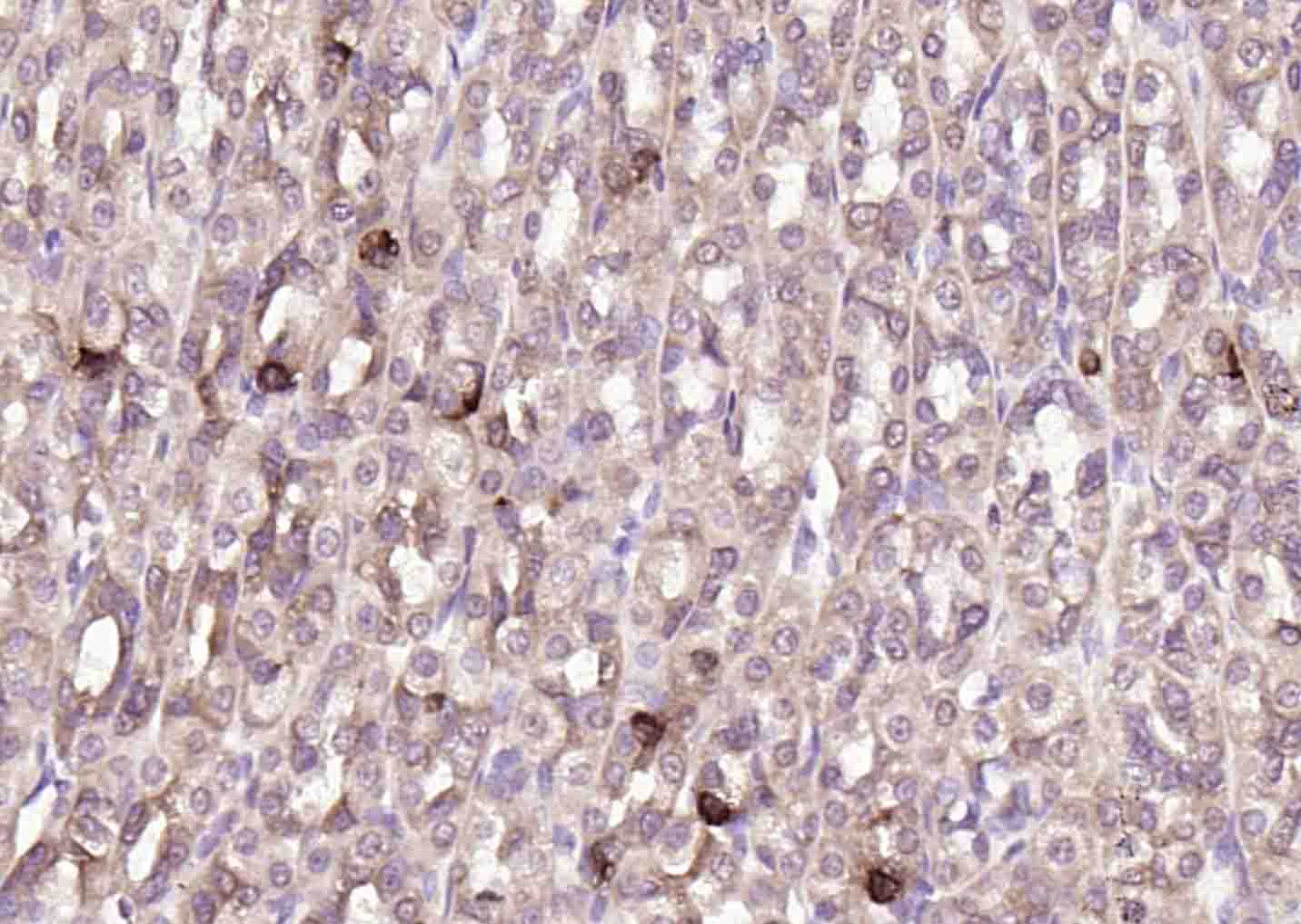
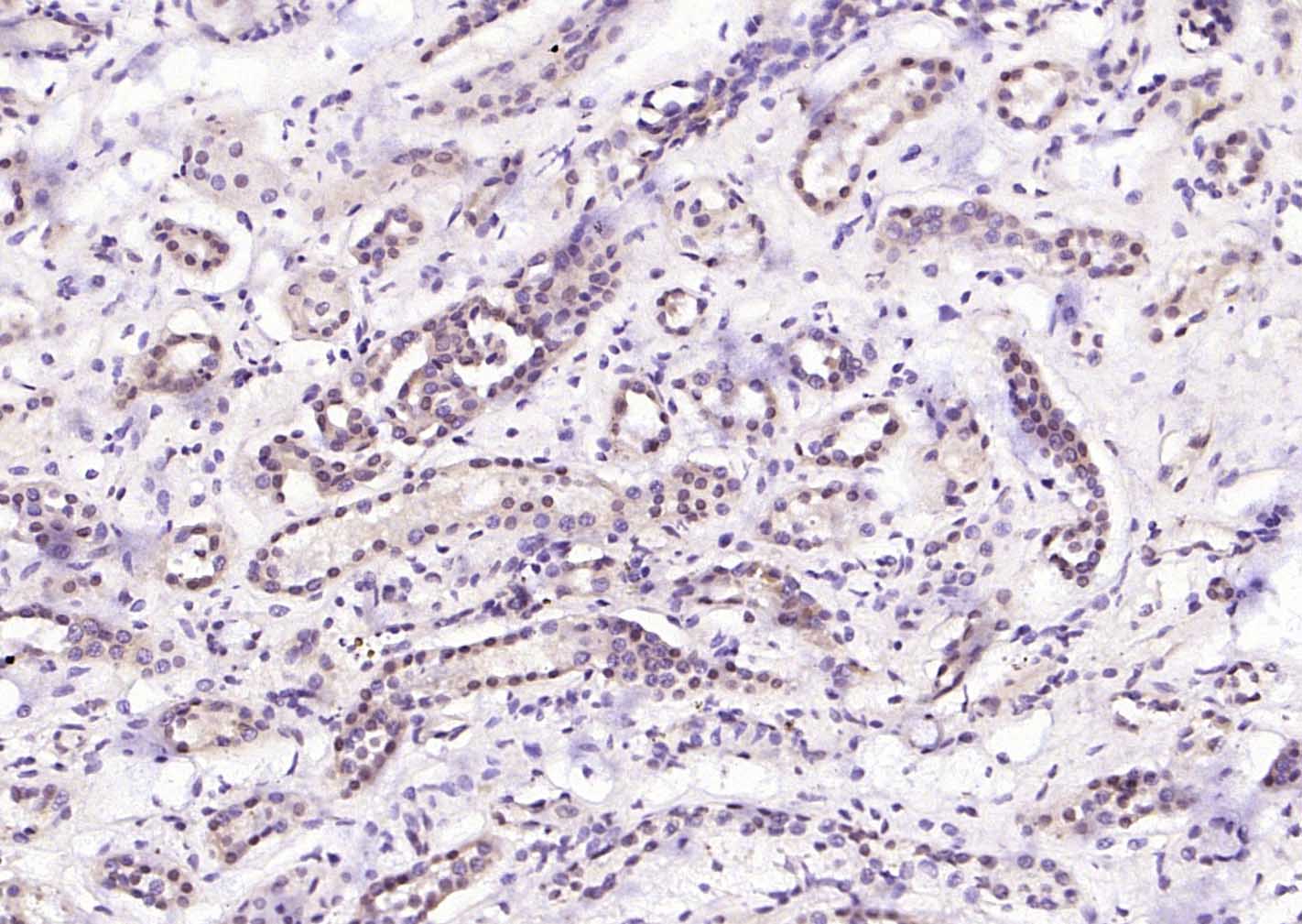
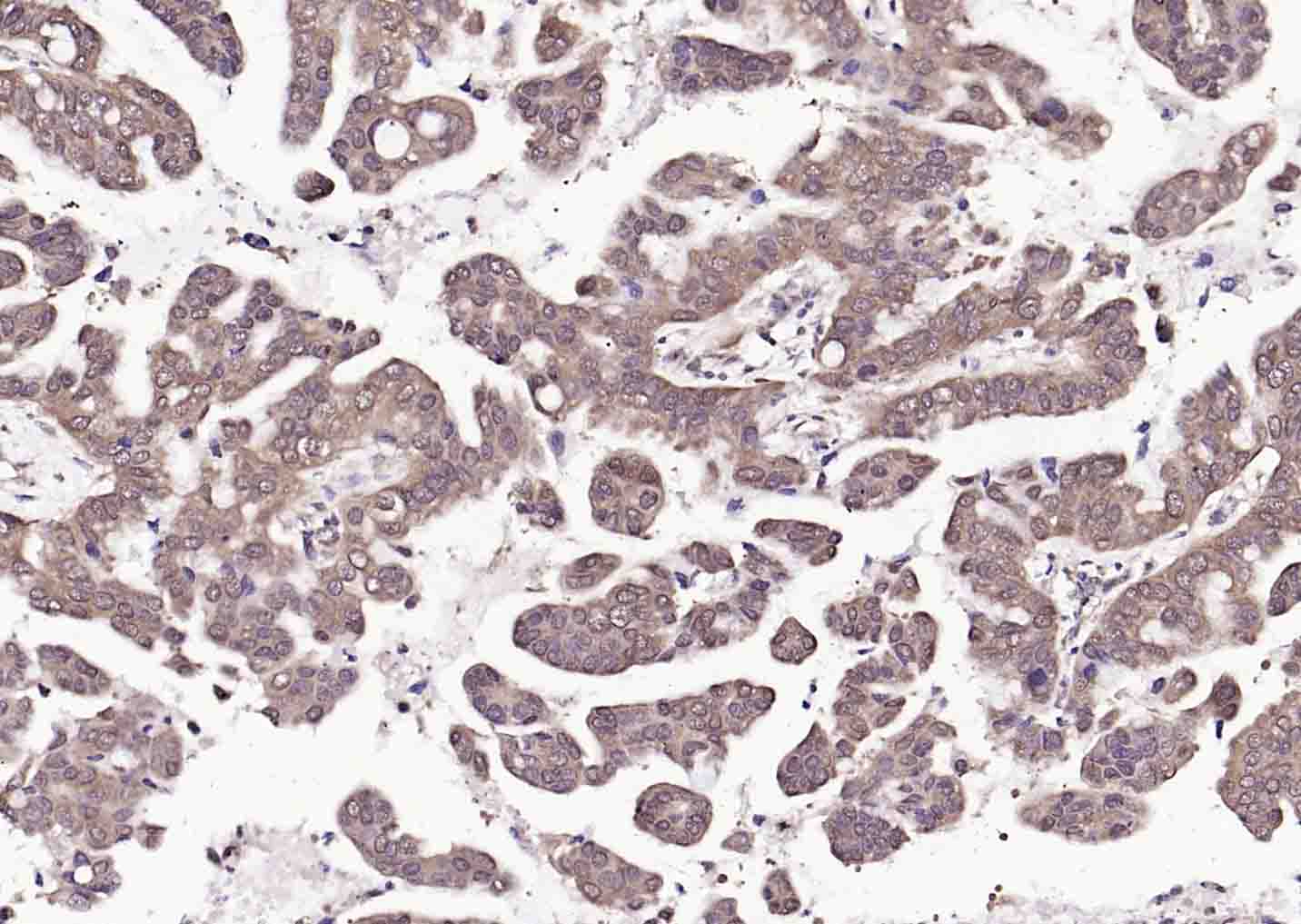
IHC-PHuman, Mouse, Rat1:100-500
IHC-FHuman, Mouse, Rat1:100-500
IFHuman, Mouse, Rat1:100-500

交叉反应

交叉反应: Human, Mouse, Rat

相关产品

暂无相关产品

靶标

基因名
HSPA8
蛋白名
Heat shock cognate 71 kDa protein
亚基
Interacts with HSPH1/HSP105. Interacts with IRAK1BP1 (By similarity). Identified in a mRNP granule complex, at least composed of ACTB, ACTN4, DHX9, ERG, HNRNPA1, HNRNPA2B1, HNRNPAB, HNRNPD, HNRNPL, HNRNPR, HNRNPU, HSPA1, HSPA8, IGF2BP1, ILF2, ILF3, NCBP1, NCL, PABPC1, PABPC4, PABPN1, RPLP0, RPS3, RPS3A, RPS4X, RPS8, RPS9, SYNCRIP, TROVE2, YBX1 and untranslated mRNAs. Interacts with PACRG and TSC2. Interacts with BAG1. Interacts with SV40 VP1. Interacts with DNAJC7 (By similarity). Interacts with HERC5. Interacts with CITED1 (via N-terminus); the interaction suppresses the association of CITED1 to p300/CBP and Smad-mediated transcription transactivation.
亚细胞定位
Cytoplasm. Melanosome.
组织特异性
Ubiquitous.
翻译后修饰
Phosphorylated upon DNA damage, probably by ATM or ATR. ISGylated.
相似性
Belongs to the heat shock protein 70 family.
功能
Acts as a repressor of transcriptional activation. Inhibits the transcriptional coactivator activity of CITED1 on Smad-mediated transcription. Chaperone. Isoform 2 may function as an endogenous inhibitory regulator of HSC70 by competing the co-chaperones.

同靶标产品

相关文献

提示: 发表研究结果有使用 bsm-33211M 时请让我们知道,以便我们可以引用参考文章。作为回馈,资料提供者将获得我们送上的小礼品。
具体参考文献:bsm-33211M 被引用于1文献中

常见问题