Developmental Biology > Lineage specification > Ectoderm
Developmental Biology > Lineage specification > Endoderm
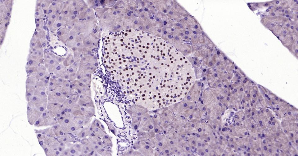
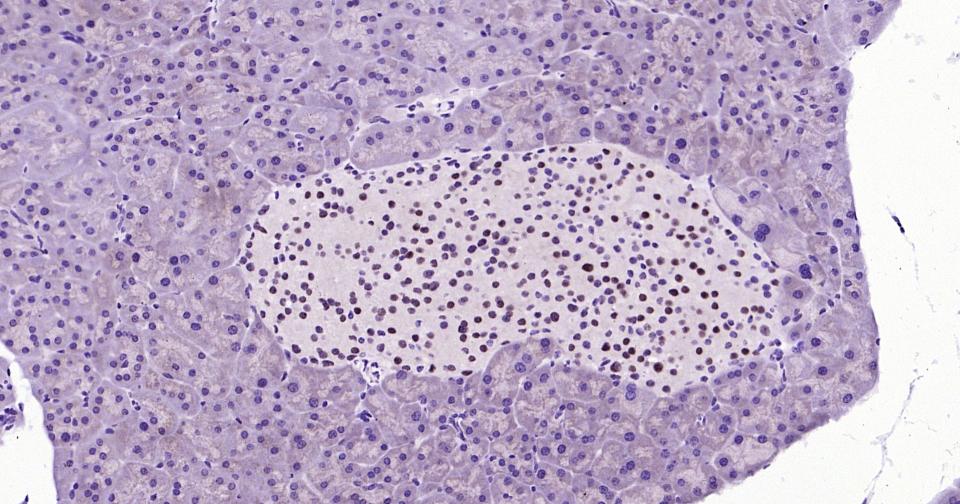
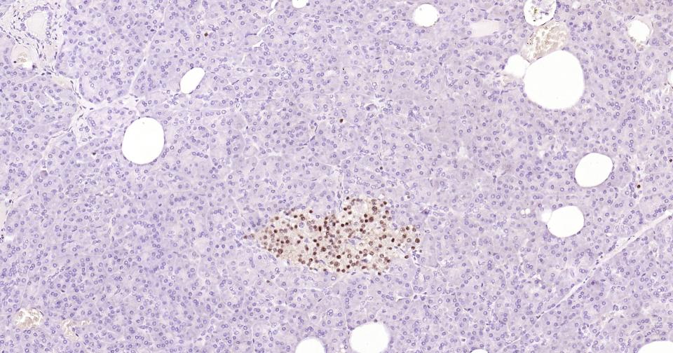
Developmental Biology > Organogenesis > Gut development > Pancreas development
Epigenetics and Nuclear Signaling > Transcription > Domain Families > Developmental Families > PAX
Neuroscience > Cell Type Marker > Neural Stem Cell marker
Neuroscience > Neurology process > Neural Signal Transduction








| 应用 | 已检合格种属 | 预测种属 | 推荐稀释比例 |
|---|---|---|---|
| WB | Human, Mouse, Rat | 1:500-3000 | |
| IHC-P | Human, Mouse, Rat | 1:100-500 | |
| IHC-F | Human, Mouse, Rat | 1:100-500 | |
| IF | Human, Mouse, Rat | 1:100-500 |
交叉反应: Human, Mouse, Rat
暂无相关产品
暂无标记数据
暂无同靶标产品
暂无相关文献
暂无常见问题