DHFR Rabbit pAb (一抗) | Bioss

2026-03-02~2026-04-30,KXJ26032026-03-02~2026-04-30,促销赠品
DHFR Rabbit pAb (一抗) | Bioss
货号:bs-9058R
产品详情
相关标记
相关产品
相关文献
常见问题

概述

产品编号
bs-9058R
英文名称
DHFR Rabbit pAb
中文名称
二氢叶酸还原酶抗体
英文别名
DHFR1; DHFRP1; DYR; DYR_HUMAN; DHFR; 1.5.1.3;
抗体来源
Rabbit
免疫原
KLH conjugated synthetic peptide derived from human DHFR: 51-150/189
亚型
IgG
性状
Liquid
纯化方法
affinity purified by Protein A
克隆类型
Polyclonal
理论分子量
21 kDa
浓度
1mg/ml
储存液
0.01M TBS (pH7.4) with 1% BSA, 0.02% Proclin300 and 50% Glycerol.
SWISS
Gene ID
保存条件
Shipped at 4℃. Store at -20℃ for one year. Avoid repeated freeze/thaw cycles.
注意事项
This product as supplied is intended for research use only, not for use in human, therapeutic or diagnostic applications.
背景资料
DHFR catalyzes the NADPH-dependent reduction of dihydrofolate to tetrahydrofolate, and is a crucial enzyme for the synthesis of purines, pyrimidines and some amino acids. Inhibition of the activity of this enzyme leads to arrest of DNA synthesis and cell death. Gene expression of methotrexate (MTX)-resistant variants of DHFR in normal hematopoietic cells is a potential strategy to permit administration of larger doses of MTX by alleviating drug toxicity in normal cells and tissues that are drug sensitive.
二氢叶酸还原酶抗体-bs-9058R二氢叶酸还原酶抗体-bs-9058R二氢叶酸还原酶抗体-bs-9058R二氢叶酸还原酶抗体-bs-9058R

产品应用

应用已检合格种属预测种属推荐稀释比例
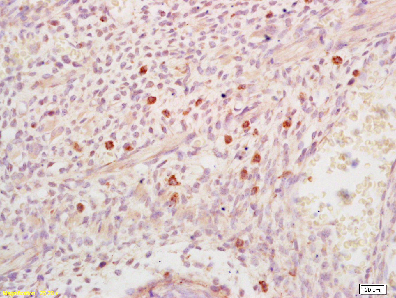
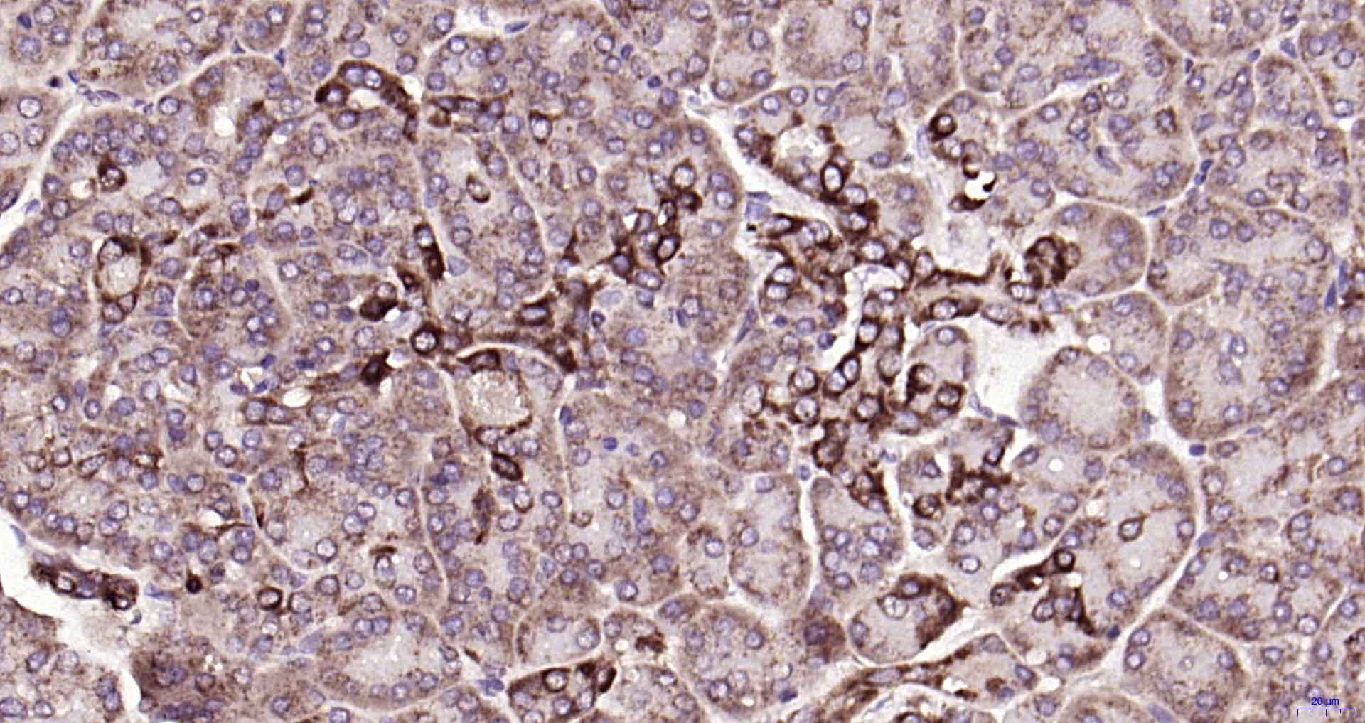
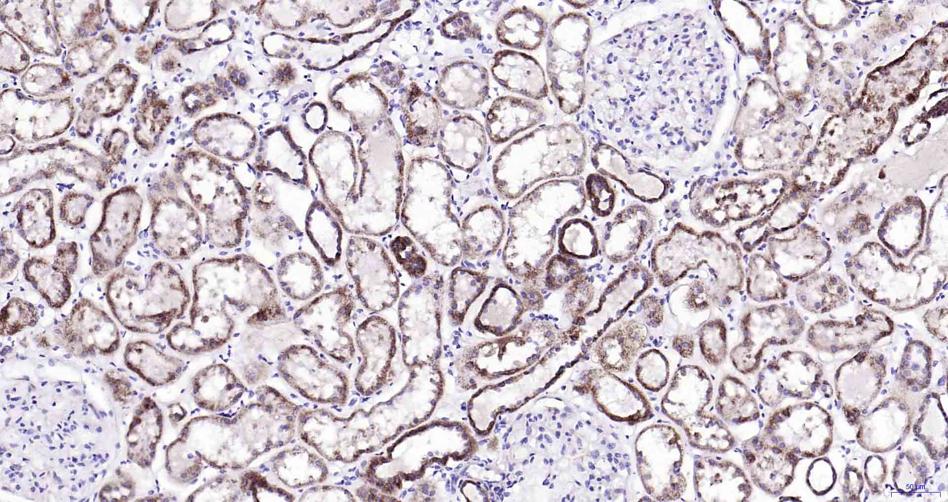
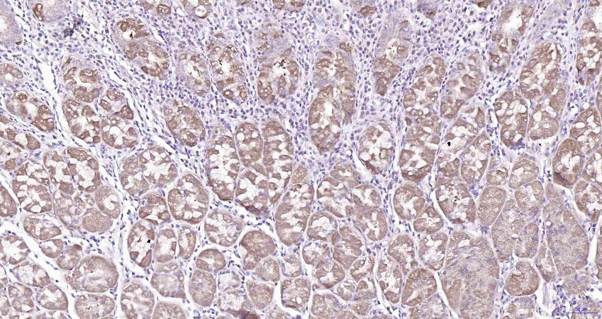
IHC-PHuman, Mouse1:100-500
IHC-FHuman, Mouse1:100-500
IFHuman, Mouse1:50-200

交叉反应

交叉反应: Human, Mouse

相关产品

暂无相关产品

靶标

基因名
DHFR
蛋白名
Dihydrofolate reductase
亚基
Homodimer.
亚细胞定位
Isoform Alpha: Mitochondrion membrane; Single-pass membrane protein. Cytoplasm.
组织特异性
Widely expressed in fetal and adult tissues, including throughout the fetal and adult brains and whole blood. Expression is higher in the adult brain than in the fetal brain.
疾病
Defects in DHFR are the cause of megaloblastic anemia due to dihydrofolate reductase deficiency (DHFRD) [MIM:613839]. DHFRD is an inborn error of metabolism, characterized by megaloblastic anemia and/or pancytopenia, severe cerebral folate deficiency, and cerebral tetrahydrobiopterin deficiency. Clinical features include variable neurologic symptoms, ranging from severe developmental delay and generalized seizures in infancy, to childhood absence epilepsy with learning difficulties, to lack of symptoms.
相似性
Belongs to the dihydrofolate reductase family.
Contains 1 DHFR (dihydrofolate reductase) domain.
功能
Key enzyme in folate metabolism. Contributes to the de novo mitochondrial thymidylate biosynthesis pathway. Catalyzes an essential reaction for de novo glycine and purine synthesis, and for DNA precursor synthesis. Binds its own mRNA and that of DHFRL1.

同靶标产品

相关文献

提示: 发表研究结果有使用 bs-9058R 时请让我们知道,以便我们可以引用参考文章。作为回馈,资料提供者将获得我们送上的小礼品。

常见问题