Cancer > Cancer Metabolism > Metabolic signaling pathway > Integration of energy metabolism
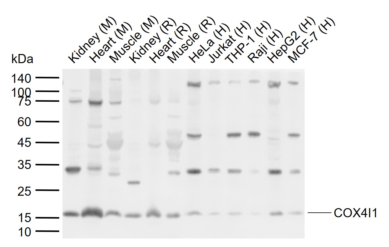
Isotype/Loading Controls > Loading Controls > COX IV - Mitochondrial
Metabolism > Pathways and Processes > Metabolic signaling pathways > Energy transfer pathways > Integration of energy
Metabolism > Pathways and Processes > Mitochondrial Metabolism > Mitochondrial markers
Metabolism > Pathways and Processes > Mitochondrial Metabolism > Oxidative phosphorylation > Complex IV



| 应用 | 已检合格种属 | 预测种属 | 推荐稀释比例 |
|---|---|---|---|
| WB | Human, Mouse, Rat | Pig, Cow, Dog, Horse | 1:500-2000 |
| IHC-P | Mouse, Rat | Human, Pig, Cow, Dog, Horse | 1:100-500 |
| IHC-F | Mouse, Rat | Human, Pig, Cow, Dog, Horse | 1:100-500 |
| IF | Mouse, Rat | Human, Pig, Cow, Dog, Horse | 1:100-500 |
交叉反应: Human, Mouse, Rat (predicted: Pig, Cow, Dog, Horse)
暂无相关产品