Cancer > Cell cycle > Cell cycle inhibitors > p53 pathway
Cancer > Oncoproteins/suppressors > Tumor suppressors > p53 pathway
Cell Biology > Apoptosis > Intracellular > p53 Pathway
Cell Biology > Cell Cycle > Cell Cycle Inhibitors > p53
Epigenetics and Nuclear Signaling > Cell cycle > Cell Cycle Inhibitors > p53
Epigenetics and Nuclear Signaling > DNA / RNA > DNA Damage & Repair > DNA Damage Response > p53
Epigenetics and Nuclear Signaling > Transcription > Cancer susceptibility > Tumor Suppressors







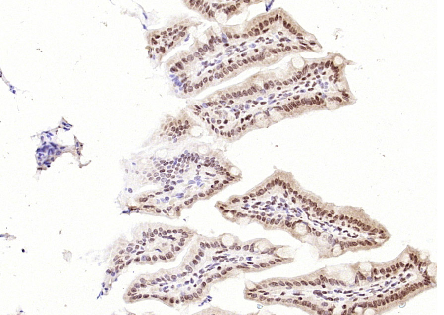
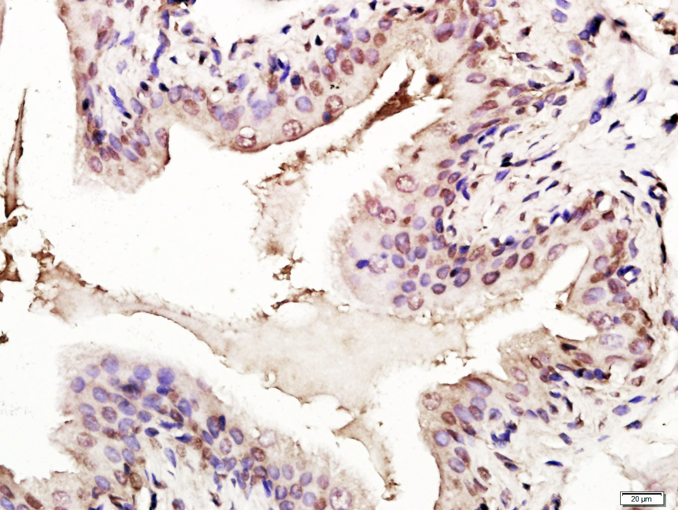
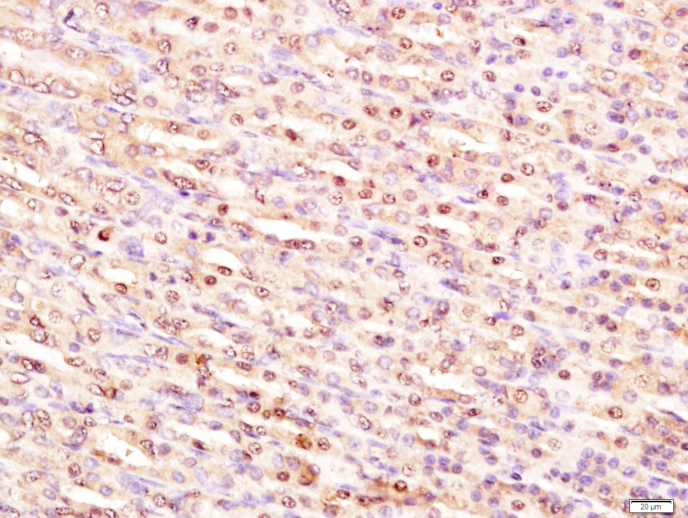
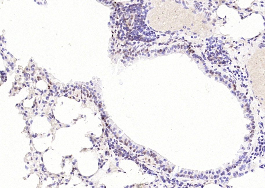
| 应用 | 已检合格种属 | 预测种属 | 推荐稀释比例 |
|---|---|---|---|
| WB | Human, Monkey | Mouse, Rat, Pig, Sheep, Cow, Dog, Horse | 1:1000-2000 |
| IHC-P | Mouse, Rat | Human, Pig, Sheep, Cow, Dog, Horse, Monkey | 1:100-500 |
| IHC-F | Mouse, Rat | Human, Pig, Sheep, Cow, Dog, Horse, Monkey | 1:100-500 |
| IF | Mouse, Rat | Human, Pig, Sheep, Cow, Dog, Horse, Monkey | 1:100-500 |
| Flow-Cyt | Human | Mouse, Rat, Pig, Sheep, Cow, Dog, Horse, Monkey | 1ug/Test |
交叉反应: Human, Mouse, Rat, Monkey (predicted: Pig, Sheep, Cow, Dog, Horse)
暂无相关产品