Claudin 18.2 Recombinant Rabbit mAb (一抗) - IHC-P,IHC-F,IF | Bioss

Rrmab?兔单抗
2026-03-02~2026-04-30,KXJ26032026-03-02~2026-04-30,促销赠品
Claudin 18.2 Recombinant Rabbit mAb (一抗) - IHC-P,IHC-F,IF | Bioss
货号:bsm-60637R
产品详情
相关标记
相关产品
相关文献
常见问题

概述

产品编号
bsm-60637R
产品类型
重组兔单抗
英文名称
Claudin 18.2 Recombinant Rabbit mAb
中文名称
紧密连接蛋白18重组兔单抗
英文别名
SFTA5; SFTPJ; CLD18_HUMAN; CLDN18; CLD18_MOUSE; D3ZLY1_RAT;
抗体来源
Rabbit
免疫原
KLH conjugated synthetic peptide derived from human Claudin-18.2
亚型
IgG
性状
Liquid
纯化方法
affinity purified by Protein A
克隆类型
Recombinant
克隆号
R7G12
理论分子量
28 kDa
浓度
1mg/ml
储存液
0.01M TBS (pH7.4) with 1% BSA, 0.02% Proclin300 and 50% Glycerol.
SWISS
Gene ID
保存条件
Shipped at 4℃. Store at -20℃ for one year. Avoid repeated freeze/thaw cycles.
注意事项
This product as supplied is intended for research use only, not for use in human, therapeutic or diagnostic applications.
背景资料
The Claudin superfamily consists of many structurally related proteins in humans (1). These proteins are important structural and functional components of tight junctions in paracellular transport (1,2). Claudins are located in both epithelial and endothelial cells in all tight junction-bearing tissues (1). Three classes of proteins are known to localize to tight junctions, including the Claudins, Occludin and Junction adhesion molecule (3). Claudins, which consist of four transmembrane domains and two extracellular loops make up tight junction strands (4). Emerging evidence suggests that the Claudin family of proteins regulates transport through tight junctions via differential discrimination for solute size and charge (5).Claudin expression is often highly restricted to specfic regions of different tissues and may have an important role in transcellular transport through tight junctions (6).
紧密连接蛋白18重组兔单抗-bsm-60637R紧密连接蛋白18重组兔单抗-bsm-60637R紧密连接蛋白18重组兔单抗-bsm-60637R

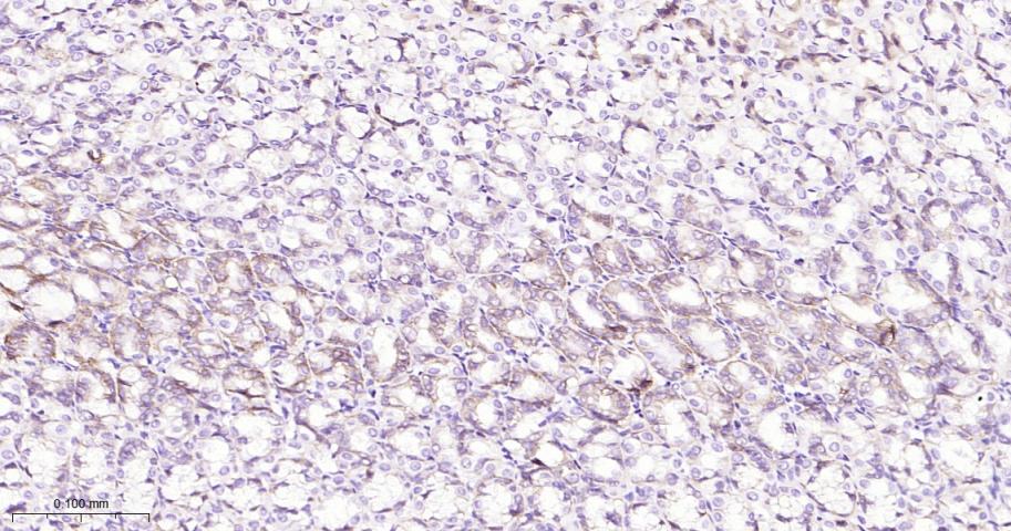
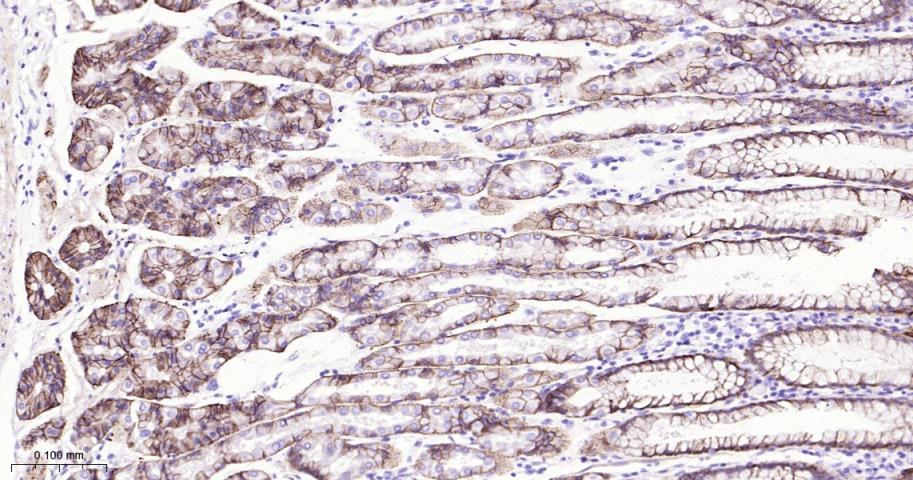
产品应用

应用已检合格种属预测种属推荐稀释比例
IHC-PHuman, Mouse, Rat1:100-500
IHC-FHuman, Mouse, Rat1:100-500
IFHuman, Mouse, Rat1:100-500

交叉反应

交叉反应: Human, Mouse, Rat

相关产品

暂无相关产品

靶标

基因名
CLDN18
蛋白名
Claudin-18
亚细胞定位
Cell junction > tight junction. Cell membrane.
组织特异性
Concentrated at the cell-cell borders of epithelial cells.
相似性
Belongs to the claudin family.
功能
Plays a major role in tight junction-specific obliteration of the intercellular space, through calcium-independent cell-adhesion activity.

同靶标产品

相关文献

提示: 发表研究结果有使用 bsm-60637R 时请让我们知道,以便我们可以引用参考文章。作为回馈,资料提供者将获得我们送上的小礼品。

常见问题