Glucocorticoid receptor Rabbit pAb (一抗) | Bioss

2026-03-02~2026-04-30,KXJ26032026-03-02~2026-04-30,促销赠品
Glucocorticoid receptor Rabbit pAb (一抗) | Bioss
货号:bs-0252R
产品详情
相关标记
相关产品
相关文献
常见问题

概述

产品编号
bs-0252R
英文名称
Glucocorticoid receptor Rabbit pAb
中文名称
糖皮质激素受体抗体
英文别名
GCR_HUMAN; NR3C1; GR; Nuclear receptor subfamily 3 group C member 1; GRL; GCCR; GCR; GCRST;
抗体来源
Rabbit
免疫原
KLH conjugated synthetic peptide derived from human Glucocorticoid receptor: 231-320/777
亚型
IgG
性状
Liquid
纯化方法
affinity purified by Protein A
克隆类型
Polyclonal
理论分子量
85 kDa
浓度
1mg/ml
储存液
0.01M TBS (pH7.4) with 1% BSA, 0.02% Proclin300 and 50% Glycerol.
SWISS
Gene ID
保存条件
Shipped at 4℃. Store at -20℃ for one year. Avoid repeated freeze/thaw cycles.
注意事项
This product as supplied is intended for research use only, not for use in human, therapeutic or diagnostic applications.
产品介绍
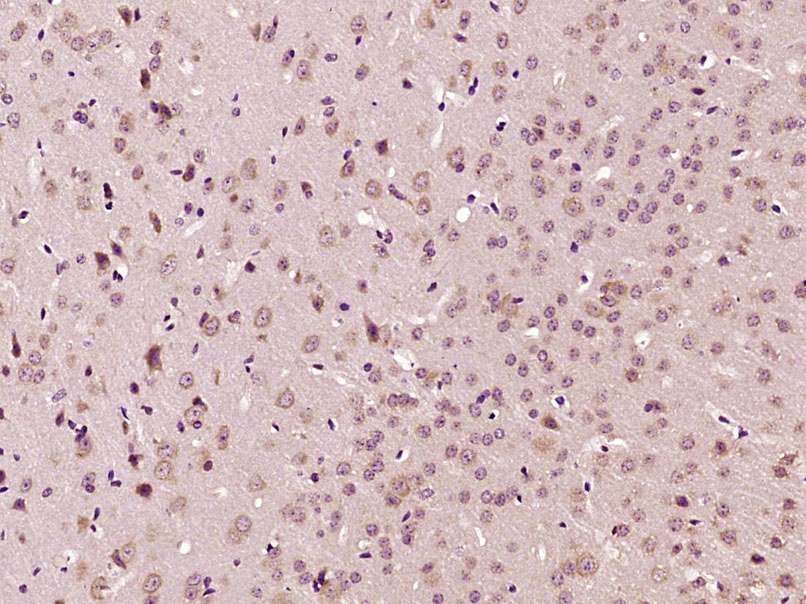
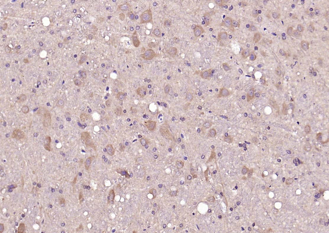
GR广泛分布于多种淋巴组织及器官,存在于免疫细胞的胞浆及核内。
背景资料
Steroid receptors are ligand-dependent, intracellular proteins that stimulate transcription of specific genes by binding to specific DNA sequences following activation by the appropriate hormone. Glucocorticoids are a family of steroids necessary for the regulation of energy metabolism and the immune and inflammatory responses. These compounds exert their effect through their interaction with the glucocoticoid receptor (GR) and that complex's subsequent association with DNA. All normal mammalian tissues examined to date have been shown to contain glucocorticoid receptor.
糖皮质激素受体抗体-bs-0252R糖皮质激素受体抗体-bs-0252R糖皮质激素受体抗体-bs-0252R糖皮质激素受体抗体-bs-0252R糖皮质激素受体抗体-bs-0252R

产品应用

应用已检合格种属预测种属推荐稀释比例
IHC-PMouse, RatHuman1:100-500
IHC-FMouse, RatHuman1:100-500
IFMouse, RatHuman1:100-500
Flow-CytHuman, RatMouse1μg/Test

交叉反应

交叉反应: Human, Mouse, Rat

相关产品

暂无相关产品

靶标

基因名
NR3C1
蛋白名
Glucocorticoid receptor
亚基
Heteromultimeric cytoplasmic complex with HSP90, HSP70, and FKBP5 or another immunophilin, or the immunophilin homolog PPP5C. Directly interacts with UNC45A. Upon ligand binding FKBP5 dissociates from the complex and FKBP4 takes its place, thereby linking the complex to dynein and mediating transport to the nucleus, where the complex dissociates (By similarity). Binds to DNA as a homodimer, and as a heterodimer with NR3C2 or the retinoid X receptor. Binds STAT5A and STAT5B homodimers and heterodimers. Interacts with NRIP1, POU2F1, POU2F2 and TRIM28. Interacts with NCOA1, NCOA3, SMARCA4, SMARCC1, SMARCD1, and SMARCE1 (By similarity). Interacts with several coactivator complexes, including the SMARCA4 complex, CREBBP/EP300, TADA2L and p160 coactivators such as NCOA2 and NCOA6. Interaction with BAG1 inhibits transactivation. Interacts with HEXIM1, PELP1 and TGFB1I1.
亚细胞定位
Cytoplasm. Nucleus. Note=Cytoplasmic in the absence of ligand, nuclear after ligand-binding.
Isoform Beta: Nucleus. Note=Localized largely in the nucleus.
组织特异性
Widely expressed. In the heart, detected in left and right atria, left and right ventricles, aorta, apex, intraventricular septum, and atrioventricular node as well as whole adult and fetal heart.
翻译后修饰
Increased proteasome-mediated degradation in response to glucocorticoids.
Phosphorylated in the absence of hormone; becomes hyperphosphorylated in the presence of glucocorticoid. The Ser-203-phosphorylated form is mainly cytoplasmic, and the Ser-211-phosphorylated form is nuclear. Transcriptional activity correlates with the amount of phosphorylation at Ser-211.
Sumoylated; this reduces transcription transactivation.
Ubiquitinated; restricts glucocorticoid-mediated transcriptional signalin.
疾病
Defects in NR3C1 are a cause of glucocorticoid resistance (GCRES) [MIM:138040]; also known as cortisol resistance. It is a hypertensive, hyperandrogenic disorder characterized by increased serum cortisol concentrations. Inheritance is autosomal dominant.
相似性
Belongs to the nuclear hormone receptor family. NR3 subfamily.
Contains 1 nuclear receptor DNA-binding domain.
功能
Receptor for glucocorticoids (GC). Has a dual mode of action: as a transcription factor that binds to glucocorticoid response elements (GRE) and as a modulator of other transcription factors. Affects inflammatory responses, cellular proliferation and differentiation in target tissues. Could act as a coactivator for STAT5-dependent transcription upon growth hormone (GH) stimulation and could reveal an essential role of hepatic GR in the control of body growth. Involved in chromatin remodeling. Plays a significant role in transactivation. Involved in nuclear translocation.

同靶标产品

相关文献

提示: 发表研究结果有使用 bs-0252R 时请让我们知道,以便我们可以引用参考文章。作为回馈,资料提供者将获得我们送上的小礼品。
具体参考文献:bs-0252R 被引用于5文献中

常见问题