





| 应用 | 已检合格种属 | 预测种属 | 推荐稀释比例 |
|---|---|---|---|
| WB | Human | Mouse, Rat, Rabbit, Pig, Cow, Dog | 1:500-2000 |
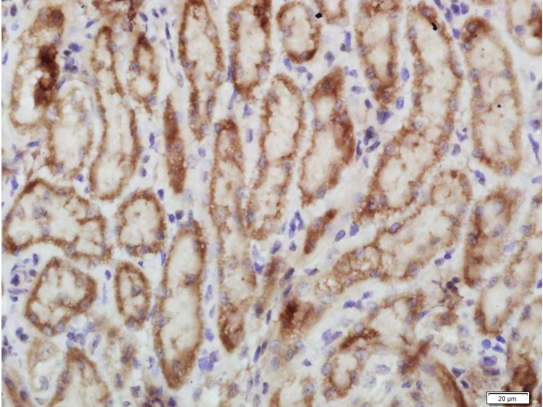
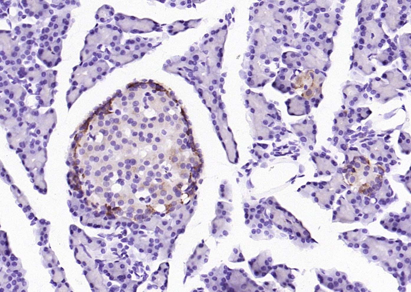
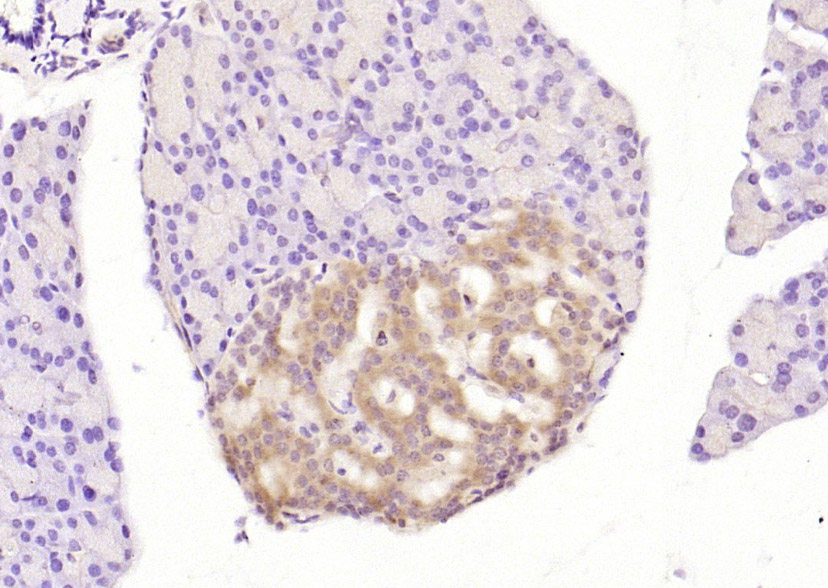
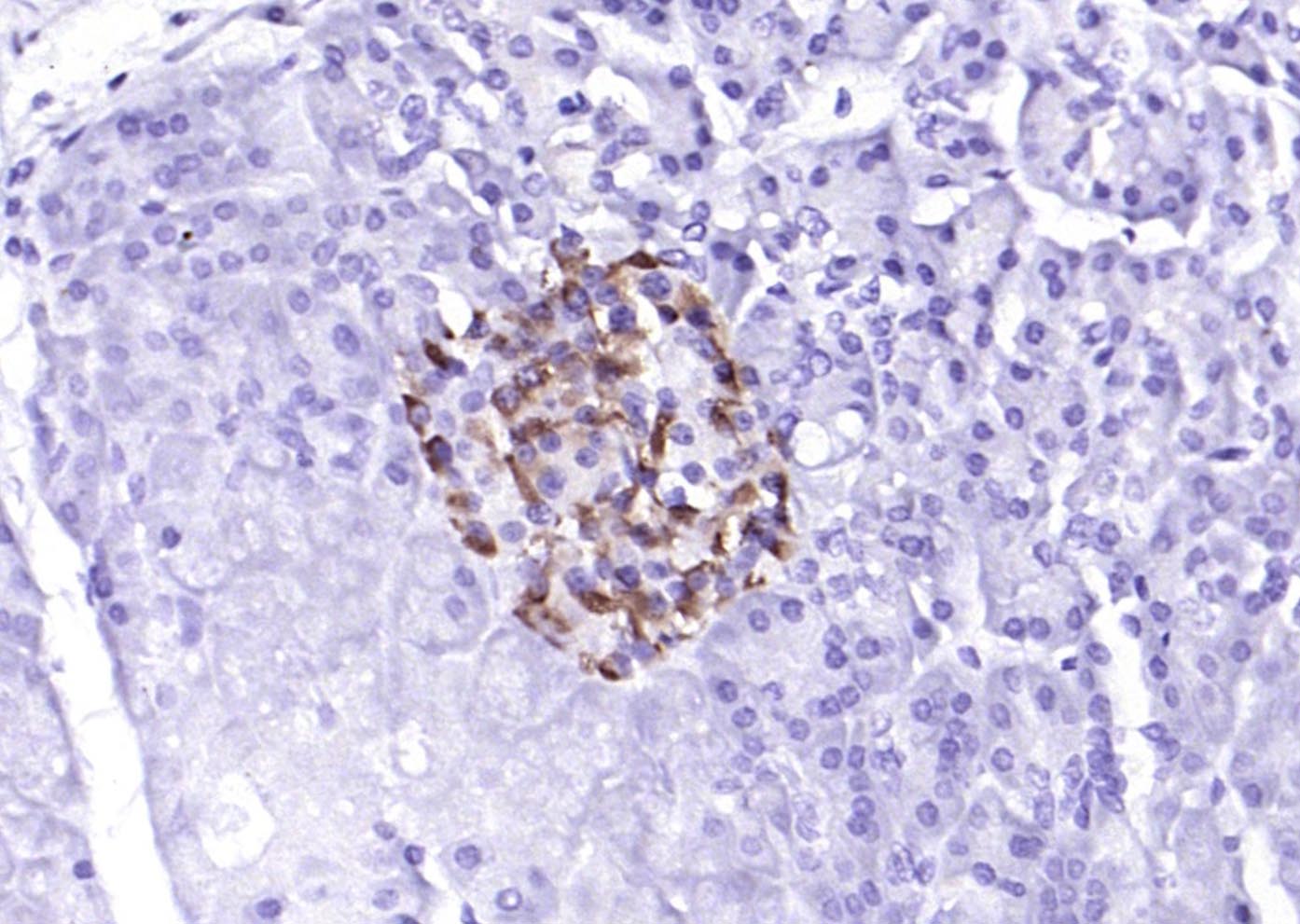
| IHC-P | Human, Mouse, Rat | Rabbit, Pig, Cow, Dog | 1:100-500 |
| IHC-F | Human, Mouse, Rat | Rabbit, Pig, Cow, Dog | 1:100-500 |
| IF | Human, Mouse, Rat | Rabbit, Pig, Cow, Dog | 1:100-500 |
| Flow-Cyt | Human | Mouse, Rat, Rabbit, Pig, Cow, Dog | 2ug/Test |
交叉反应: Human, Mouse, Rat (predicted: Rabbit, Pig, Cow, Dog)
暂无相关产品
Forms dimers with HSPA5/BIP in resting cells (PubMed:21543844).
Oligomerizes in ER-stressed cells (PubMed:10854322).
Interacts with DNAJC3 (PubMed:12446838).
Interacts with MFN2 (PubMed:23921556).
Interacts with TMEM33 (By similarity).
Interacts with PDIA6 (By similarity).
Interacts with LACC1 (By similarity).
Endoplasmic reticulum membrane; Single-pass type I membrane protein.
Ubiquitous.
Autophosphorylated. Phosphorylated at Tyr-615 following endoplasmic reticulum stress, leading to activate its tyrosine-protein kinase activity. Dephosphorylated by PTPN1/TP1B, leading to inactivate its enzyme activity.
Oligomerization of the N-terminal ER luminal domain by ER stress promotes PERK trans-autophosphorylation of the C-terminal cytoplasmic kinase domain at multiple residues including Thr-980 on the kinase activation loopBy Similarity1 Publication
N-glycosylated.
ADP-ribosylated by PARP16 upon ER stress, which increases kinase activity.
Wolcott-Rallison syndrome (WRS) [MIM:226980]: A rare autosomal recessive disorder, characterized by permanent neonatal or early infancy insulin-dependent diabetes and, at a later age, epiphyseal dysplasia, osteoporosis, growth retardation and other multisystem manifestations, such as hepatic and renal dysfunctions, mental retardation and cardiovascular abnormalities. Note=The disease is caused by mutations affecting the gene represented in this entry.
Belongs to the protein kinase superfamily. Ser/Thr protein kinase family. GCN2 subfamily.
Contains 1 protein kinase domain.
Metabolic-stress sensing protein kinase that phosphorylates the alpha subunit of eukaryotic translation initiation factor 2 (EIF2S1/eIF-2-alpha) in response to various stress conditions (PubMed:9930704, PubMed:11106749, PubMed:23921556).
Key activator of the integrated stress response (ISR) required for adaptation to various stress, such as unfolded protein response (UPR) and low amino acid availability (PubMed:9930704, PubMed:11106749, PubMed:23921556).
EIF2S1/eIF-2-alpha phosphorylation in response to stress converts EIF2S1/eIF-2-alpha in a global protein synthesis inhibitor, leading to a global attenuation of cap-dependent translation, while concomitantly initiating the preferential translation of ISR-specific mRNAs, such as the transcriptional activators ATF4 and QRICH1, and hence allowing ATF4- and QRICH1-mediated reprogramming (PubMed:11106749, PubMed:23921556).
Serves as a critical effector of unfolded protein response (UPR)-induced G1 growth arrest due to the loss of cyclin-D1 (CCND1) (PubMed:11035797).
Involved in control of mitochondrial morphology and function (PubMed:23921556).