产品组分及规格
编号 | 组分 | 规格 | 浓度 | 储存 |
1 | PBS缓冲液(干粉) | 2 L×2 | 20x | 室温 |
2 | 抗原修复缓冲液 | 20 ml | 100x | 2-8℃ |
3 | 内源性过氧化物酶阻断剂 | 3 ml | RTU | 2-8℃ |
4 | 封闭工作液 | 3 ml | RTU | 2-8℃ |
5 | 一抗(Rat Calbindin Rabbit pAb) | 6 ml | RTU | 2-8℃ |
6 | 二抗(HRP-Goat anti-Rabbit IgG pAb) | 6 ml | RTU | 2-8℃ |
7 | DAB kit(20×)显色液 | 0.3 ml | RTU | -20℃ |
8 | DAB kit(20×)稀释液 | 0.3 ml | RTU | -20℃ |
9 | 复染试剂 | 5 ml | RTU | 室温 |
10 | 封片剂 | 5 ml | RTU | 室温 |
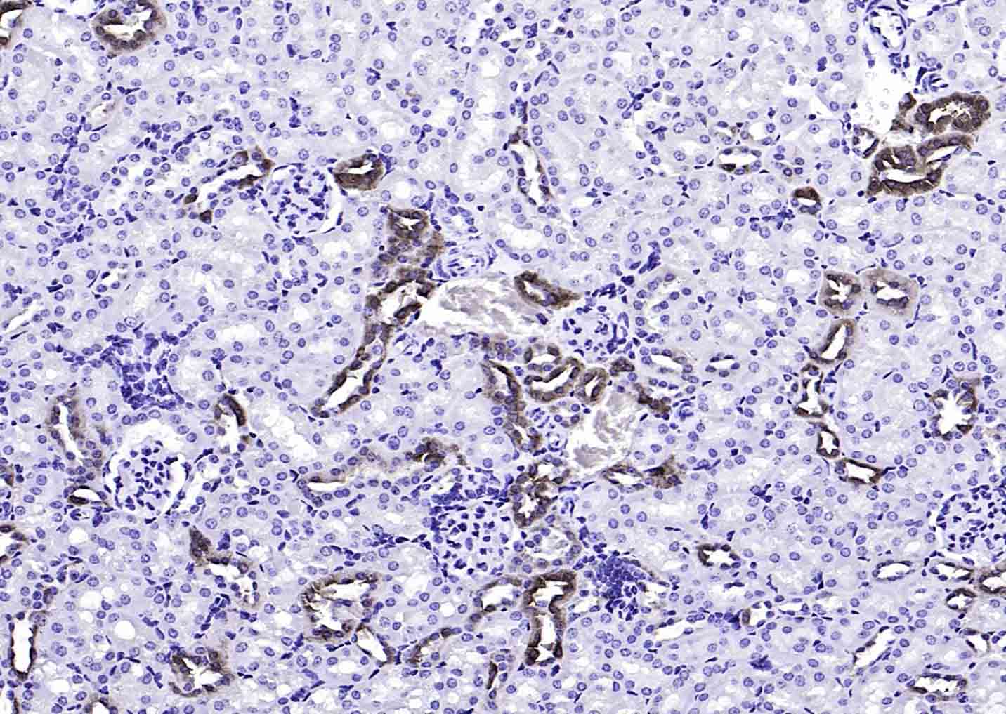
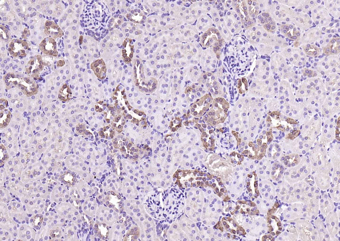
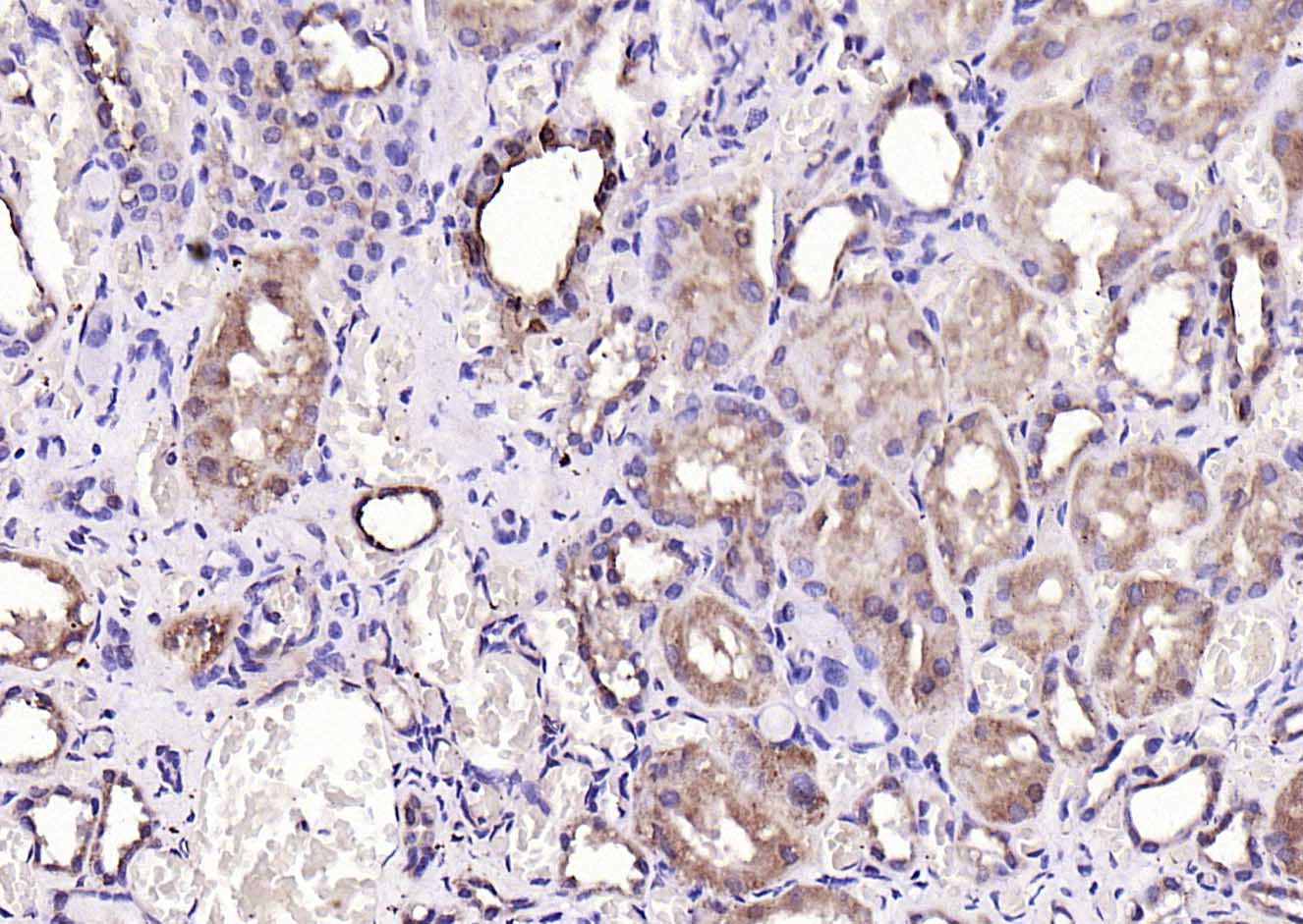
11 | 对照切片(大鼠肾) | 1张 | RTU | 室温 |
12 | 说明书 | 1份 |
|
|
背景
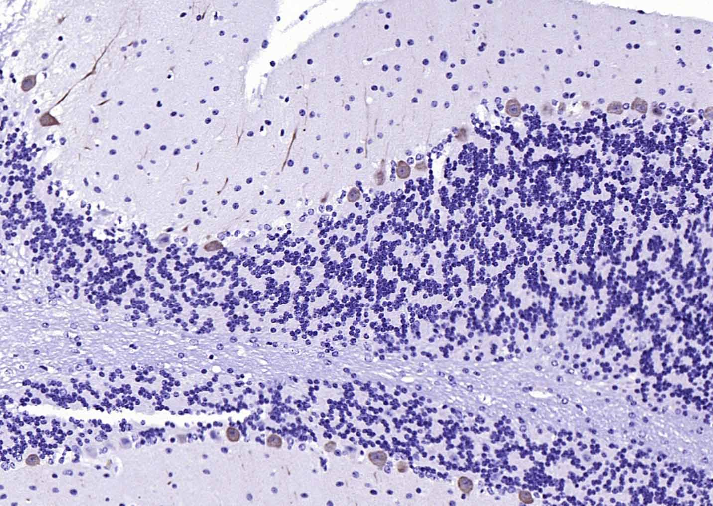
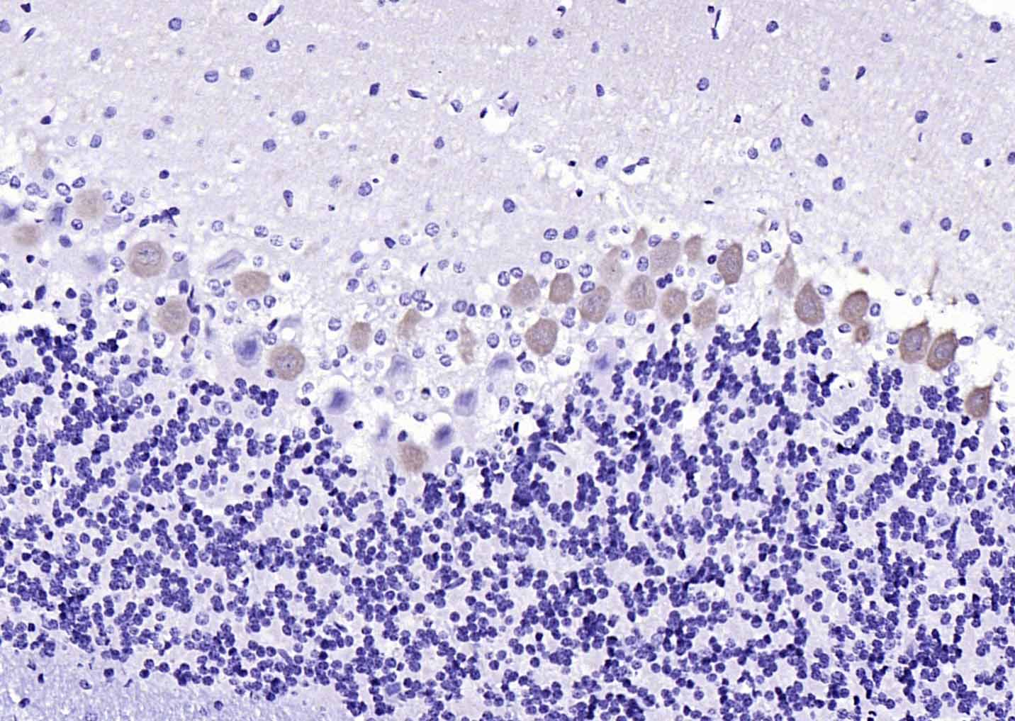
Calbindin-D-28K (also termed vitamin D-dependent calcium-binding protein, or cholecalcin), is a highly conserved 28kDa calcium binding protein, with broad tissue distribution. It belongs, together with calmodulin, S-100, parvalbumin, troponin C and other proteins, to a family of low molecular weight calcium-binding proteins (CaBPs). These CaBPs have homologous primary structures, which contain conserved polypeptide folds of the EF-hand type for Ca2+ binding. Calbindin-D-28K is found predominantly in subpopulations of central and peripheral nervous system neurons, and in certain epithelial nervous system neurons, and in certain epithelial cells involved in Ca2+ transport such as distal tubular cells and cortical collecting tubules of the kidney, and in enteric neuroendocrine cells.
石蜡包埋组织的免疫组织化学方案
1. 脱蜡水化
石蜡切片置于新鲜二甲苯中浸泡脱蜡3次,每次15 min;依次置于不同浓度(100%、95%、90%、80%、70%)乙醇浸泡各5 min,再置于蒸馏水洗涤5 min,重复3次。
2. 抗原修复
沸水浴修复:将100×抗原修复缓冲液(试剂2)用蒸馏水稀释成1×抗原修复缓冲液,放入修复盒中并提前加热至95-100℃(注意盖好以防液体蒸发),然后将切片放入修复盒中,在沸水浴环境中保持外沸状态15 min,室温自然冷却;用PBS缓冲液(试剂1,将干粉溶解在2L蒸馏水中)清洗5 min,重复3次。
3. 阻断内源性过氧化物酶
用吸水纸吸去玻片上多余的液体,用免疫组化笔在组织周围画圈,加入2-4滴内源性过氧化物酶阻断剂(试剂3),室温下置于湿盒中孵育15 min,用PBS洗涤5 min,重复3次。
4. 血清封闭
用吸水纸吸去玻片上多余的液体,加入2-4滴封闭工作液(试剂4),置于湿盒内37℃封闭20 min,以减少非特异性染色。
5. 一抗孵育
用吸水纸吸去玻片上多余的液体,加入2-4滴大鼠Calbindin 兔多抗工作液(试剂5),置于湿盒中,4℃孵育过夜或37℃孵育1-2 h。
6. 复温
4℃孵育过夜后,室温下复温15 min (若在室温下孵育一抗,则直接进入下一步清洗);用PBS洗涤5 min,重复3次。
7. 二抗孵育
用吸水纸吸玻片上多余的液体,加入2-4滴HRP标记羊抗兔IgG工作液(试剂6),置于湿盒中,37℃孵育1-2 h;用PBS洗涤5 min,重复3次。
8. 显色
用吸水纸吸去玻片上多余的液体,在每张切片上滴加约50 μL新配制的DAB工作液(试剂7:试剂8:PBS=1:1:18),作用3-5 min。显微镜下观察结果,达到合适的显色强度后,用蒸馏水冲洗切片以终止反应,用蒸馏水冲洗5 min,重复3次。
9. 复染
滴加适量复染试剂(试剂9)复染3-5 min,蒸馏水冲洗5 min,滴加盐酸酒精分化约30 s,蒸馏水洗涤5 min,重复2次。
10. 脱水封片
将玻片依次置于不同浓度(70%、80%、90%、95%、100%)乙醇,各5 min;然后置于新鲜二甲苯中浸泡脱蜡3次,每次15 min。用吸水纸吸去多余的二甲苯,滴加适量封片剂(试剂10)在组织上,将盖玻片盖在组织上,避免产生气泡。
注意事项
1. 建议检测时进行阴性及阳性对照,以提高实验的可靠性。
2. 本品中的配套试剂,请不要用其他生产商产品替换使用。
3. DAB为致癌物质,请采取必要的防范措施。
4. PBS洗涤液(试剂1)配制后在4℃可保存一周;抗原修复液(试剂2)及显色剂(试剂7和8)的工作液需每次实验时现用现配。
*5. 发表论文时引用本产品的写作建议 "IHC0106R, Bioss Antibodies"。引用示例: “Rat tissue sections using Rat Calbindin IHC Kit (IHC0106R, Bioss Antibodies) were stained for Calbindin according to the manufacturer's instructions.”
Calbindin is a calcium-binding protein belonging to the troponin C superfamily. It was originally described as a 27-kD protein induced by vitamin D in the duodenum of the chick. In the brain, its synthesis is independent of vitamin-D-derived hormones. Calbindin contains 4 active calcium-binding domains, and 2 modified domains that presumably have lost their calcium-binding capacity. The neurons in brains of patients with Huntington disease are calbindin-depleted. [provided by RefSeq, Jul 2008]








| 应用 | 已检合格种属 | 预测种属 | 推荐稀释比例 |
|---|---|---|---|
| WB | Mouse | Human, Rat, Rabbit, Pig, Cow, Dog, Horse | 1:500-2000 |
| IHC-P | Human, Mouse, Rat | Rabbit, Pig, Cow, Dog, Horse | 1:100-500 |
| IHC-F | Human, Mouse, Rat | Rabbit, Pig, Cow, Dog, Horse | 1:100-500 |
| IF | Human, Mouse, Rat | Rabbit, Pig, Cow, Dog, Horse | 1:100-500 |
| ICC/IF | Human | Mouse, Rat, Rabbit, Pig, Cow, Dog, Horse | 1:50-200 |
交叉反应: Human, Mouse, Rat (predicted: Rabbit, Pig, Cow, Dog, Horse)
暂无相关产品