组蛋白H2AZ重组兔单抗

Rrmab?兔单抗
2026-03-02~2026-04-30,KXJ26032026-03-02~2026-04-30,促销赠品
组蛋白H2AZ重组兔单抗
货号:bsm-52098R
产品详情
相关标记
相关产品
相关文献
常见问题

概述

产品编号
bsm-52098R
产品类型
重组兔单抗
英文名称
Histone H2A.Z Recombinant Rabbit mAb
中文名称
组蛋白H2AZ重组兔单抗
英文别名
H2A.Z-1; H2A.z; H2A/z; H2AFZ; H2AZ; H2A.Z1; H2AZ_HUMAN; H2AZ1; H2AZ_MOUSE; H2AZ_RAT;
抗体来源
Rabbit
免疫原
A synthesized peptide derived from human Histone H2A.Z: 20-50
亚型
IgG
性状
Liquid
纯化方法
affinity purified by Protein A
克隆类型
Recombinant
克隆号
7G8
理论分子量
13 kDa
浓度
1mg/ml
储存液
0.01M TBS (pH7.4) with 1% BSA, 0.02% Proclin300 and 50% Glycerol.
SWISS
Gene ID
保存条件
Shipped at 4℃. Store at -20℃ for one year. Avoid repeated freeze/thaw cycles.
注意事项
This product as supplied is intended for research use only, not for use in human, therapeutic or diagnostic applications.
背景资料
Histones are basic nuclear proteins that are responsible for the nucleosome structure of the chromosomal fiber in eukaryotes. Nucleosomes consist of approximately 146 bp of DNA wrapped around a histone octamer composed of pairs of each of the four core histones (H2A, H2B, H3, and H4). The chromatin fiber is further compacted through the interaction of a linker histone, H1, with the DNA between the nucleosomes to form higher order chromatin structures. This gene encodes a replication-independent member of the histone H2A family that is distinct from other members of the family. Studies in mice have shown that this particular histone is required for embryonic development and indicate that lack of functional histone H2A leads to embryonic lethality. [provided by RefSeq, Jul 2008].
组蛋白H2AZ重组兔单抗组蛋白H2AZ重组兔单抗组蛋白H2AZ重组兔单抗组蛋白H2AZ重组兔单抗组蛋白H2AZ重组兔单抗组蛋白H2AZ重组兔单抗组蛋白H2AZ重组兔单抗

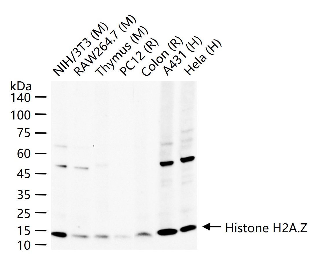
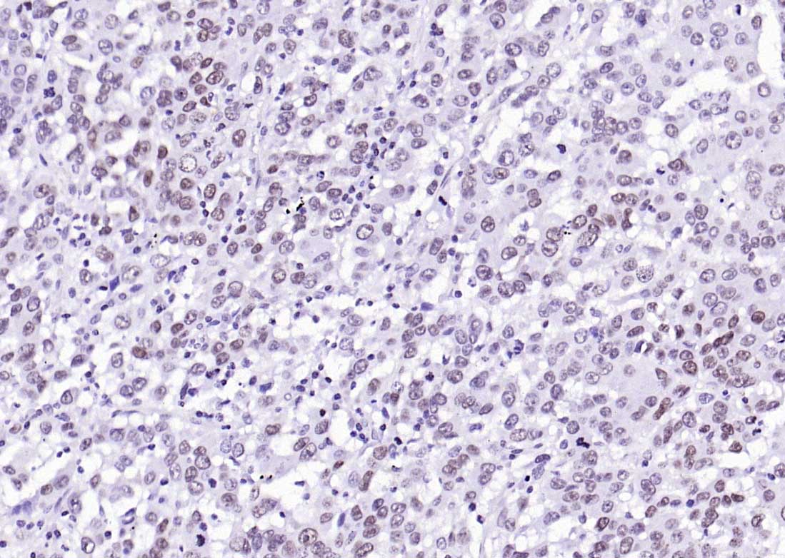
产品应用

应用已检合格种属预测种属推荐稀释比例
WBHuman, Mouse, Rat1:500-2000
IHC-PHuman, Mouse, Rat1:100-500
IHC-FHuman, Mouse, Rat1:100-500
IFHuman, Mouse, Rat1:100-500

交叉反应

交叉反应: Human, Mouse, Rat

相关产品

暂无相关产品

靶标

基因名
H2AZ1
蛋白名
Histone H2A.Z
亚基
The nucleosome is a histone octamer containing two molecules each of H2A, H2B, H3 and H4 assembled in one H3-H4 heterotetramer and two H2A-H2B heterodimers. The octamer wraps approximately 147 bp of DNA. H2A or its variant H2AFZ forms an heterodimer with H2B. H2AFZ interacts with INCENP.
亚细胞定位
Nucleus. Chromosome.
翻译后修饰
Monoubiquitination of Lys-122 gives a specific tag for epigenetic transcriptional repression.
Acetylated on Lys-5, Lys-8 and Lys-12 during interphase. Acetylation disappears at mitosis (By similarity).
Not phosphorylated.
相似性
Belongs to the histone H2A family.
功能
Variant histone H2A which replaces conventional H2A in a subset of nucleosomes. Nucleosomes wrap and compact DNA into chromatin, limiting DNA accessibility to the cellular machineries which require DNA as a template. Histones thereby play a central role in transcription regulation, DNA repair, DNA replication and chromosomal stability. DNA accessibility is regulated via a complex set of post-translational modifications of histones, also called histone code, and nucleosome remodeling. May be involved in the formation of constitutive heterochromatin. May be required for chromosome segregation during cell division.

标记抗体

暂无标记数据

同靶标产品

暂无同靶标产品

相关文献

提示: 发表研究结果有使用 bsm-52098R 时请让我们知道,以便我们可以引用参考文章。作为回馈,资料提供者将获得我们送上的小礼品。

暂无相关文献

常见问题

暂无常见问题