CD3D Recombinant Rabbit mAb (一抗) - WB,IHC-P,IHC-F,IF,Flow-Cyt,ICC/IF,IP | Bioss

Rrmab?兔单抗
2026-03-02~2026-04-30,KXJ26032026-03-02~2026-04-30,促销赠品
CD3D Recombinant Rabbit mAb (一抗) - WB,IHC-P,IHC-F,IF,Flow-Cyt,ICC/IF,IP | Bioss
货号:bsm-52744R
产品详情
相关标记
相关产品
相关文献
常见问题

概述

产品编号
bsm-52744R
产品类型
重组兔单抗、mIHC精品抗体
英文名称
CD3D Recombinant Rabbit mAb
中文名称
CD3D重组兔单抗
英文别名
CD3-DELTA; CD3DELTA; IMD19; T3D; CD3D_HUMAN; CD3D; T-cell receptor T3 delta chain; CD3D_MOUSE;
抗体来源
Rabbit
免疫原
A synthesized peptide derived from human CD3 delta: 100-171/171
亚型
IgG
性状
Liquid
纯化方法
affinity purified by Protein A
克隆类型
Recombinant
克隆号
5C1
理论分子量
19 kDa
检测分子量
24 kDa
浓度
1mg/ml
储存液
0.01M TBS (pH7.4) with 1% BSA, 0.02% Proclin300 and 50% Glycerol.
SWISS
Gene ID
保存条件
Shipped at 4℃. Store at -20℃ for one year. Avoid repeated freeze/thaw cycles.
注意事项
This product as supplied is intended for research use only, not for use in human, therapeutic or diagnostic applications.
背景资料
CD3D (CD3d Molecule) is a Protein Coding gene. Diseases associated with CD3D include Immunodeficiency 19 and T-B+ Severe Combined Immunodeficiency Due To Cd3delta/Cd3epsilon/Cd3zeta. Among its related pathways are ICos-ICosL Pathway in T-Helper Cell and CTLA4 Signaling. GO annotations related to this gene include protein heterodimerization activity and transmembrane signaling receptor activity. An important paralog of this gene is CD3G.
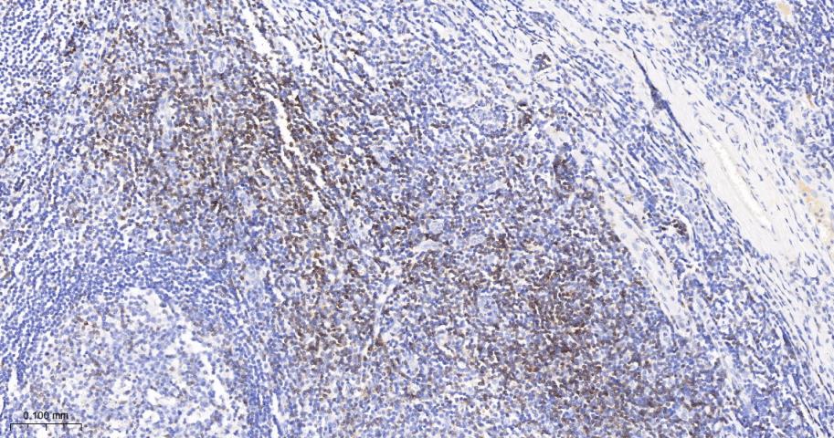
CD3D重组兔单抗-bsm-52744RCD3D重组兔单抗-bsm-52744RCD3D重组兔单抗-bsm-52744RCD3D重组兔单抗-bsm-52744R

产品应用

应用已检合格种属预测种属推荐稀释比例
WBHuman1:500-2000
IHC-PHuman1:100-500
IHC-FHuman1:100-500
IFHuman1:100-500
Flow-CytHuman1:50-100
ICC/IFHuman1:50-200
IPHuman1:50-200

交叉反应

交叉反应: Human

相关产品

暂无相关产品

靶标

基因名
CD3D
蛋白名
T-cell surface glycoprotein CD3 delta chain
亚基
The TCR/CD3 complex of T-lymphocytes consists of either a TCR alpha/beta or TCR gamma/delta heterodimer coexpressed at the cell surface with the invariant subunits of CD3 labeled gamma, delta, epsilon, zeta, and eta
亚细胞定位
Membrane.
疾病
Defects in CD3D are a cause of severe combined immunodeficiency autosomal recessive T-cell-negative/B-cell-positive/NK-cell-positive (T(-)/B(+)/NK(+) SCID) [MIM:608971]. A form of severe combined immunodeficiency (SCID), a genetically and clinically heterogeneous group of rare congenital disorders characterized by impairment of both humoral and cell-mediated immunity, leukopenia, and low or absent antibody levels. Patients present in infancy recurrent, persistent infections by opportunistic organisms. The common characteristic of all types of SCID is absence of T-cell-mediated cellular immunity due to a defect in T-cell development.
相似性
Contains 1 ITAM domain.
功能
The CD3 complex mediates signal transduction.

同靶标产品

相关文献

提示: 发表研究结果有使用 bsm-52744R 时请让我们知道,以便我们可以引用参考文章。作为回馈,资料提供者将获得我们送上的小礼品。

常见问题