Cancer > Cancer Metabolism > Response to hypoxia
Cancer > Invasion/microenvironment > Hypoxia > HIF
Cardiovascular > Hypoxia > HIF
Epigenetics and Nuclear Signaling > Cardiovascular/Immune > Hypoxia > HIF
Epigenetics and Nuclear Signaling > Transcription > Domain Families > HLH / Leucine Zipper > HLH
Metabolism > Pathways and Processes > Metabolic signaling pathways > Nucleotide metabolism
Metabolism > Pathways and Processes > Metabolism processes > Hypoxia







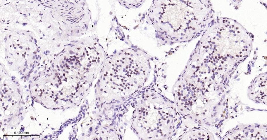
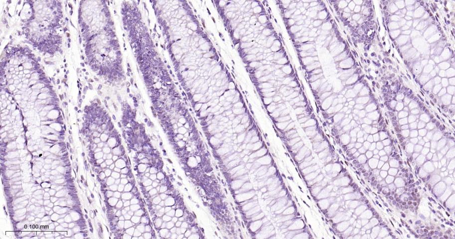
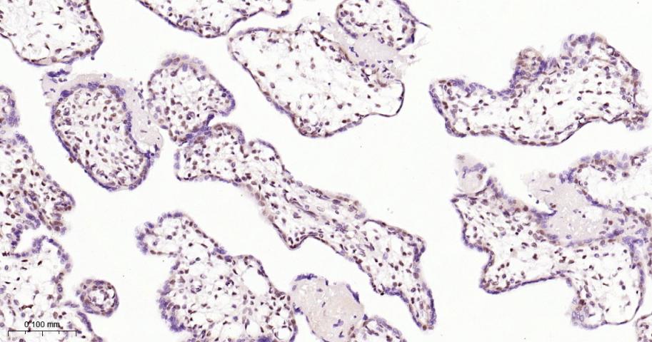
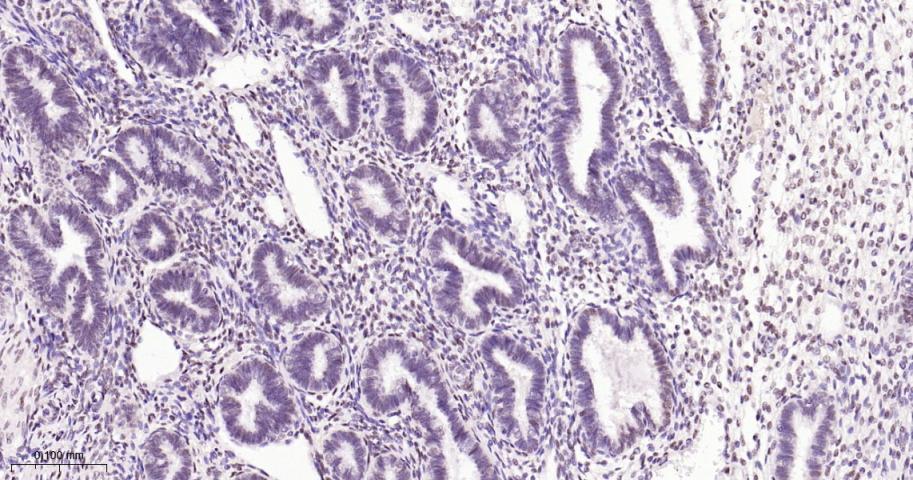
| 应用 | 已检合格种属 | 预测种属 | 推荐稀释比例 |
|---|---|---|---|
| WB | Human | 1:500-2000 | |
| IHC-P | Human | 1:50-200 | |
| IHC-F | Human | 1:50-200 | |
| IF | Human | 1:50-200 | |
| ICC/IF | Human | 1:50-200 |
交叉反应: Human
暂无相关产品
暂无标记数据
暂无同靶标产品
暂无相关文献
暂无常见问题