CLDN1 Mouse mAb (一抗) - IHC-P,IHC-F,IF | Bioss

2026-05-01~2026-06-30,AB2605
CLDN1 Mouse mAb (一抗) - IHC-P,IHC-F,IF | Bioss
货号:bsm-52037M
产品详情
相关标记
相关产品
相关文献
常见问题

概述

产品编号
bsm-52037M
英文名称
CLDN1 Mouse mAb
中文名称
紧密连接蛋白1抗体
英文别名
CLD1; ILVASC; SEMP1; CLD1_HUMAN; CLDN1; Senescence-associated epithelial membrane protein; claudin 1; senescence-associated epithelial membrane protein 1
抗体来源
Mouse
免疫原
KLH conjugated synthetic peptide derived from human CLDN1
亚型
IgG1
性状
Liquid
纯化方法
affinity purified by Protein G
克隆类型
Monoclonal
克隆号
8G1
理论分子量
23 kDa
浓度
1mg/ml
储存液
0.01M TBS (pH7.4) with 1% BSA, 0.02% Proclin300 and 50% Glycerol.
SWISS
Gene ID
保存条件
Shipped at 4℃. Store at -20℃ for one year. Avoid repeated freeze/thaw cycles.
注意事项
This product as supplied is intended for research use only, not for use in human, therapeutic or diagnostic applications.
产品介绍
Claudin 1蛋白是紧密连接区相关的转膜蛋白Claudin的家族成员,在构成紧密连接的完整膜蛋白中发挥着一定作用,目前多用于肿瘤方面的研究。
背景资料
Tight junctions represent one mode of cell-to-cell adhesion in epithelial or endothelial cell sheets, forming continuous seals around cells and serving as a physical barrier to prevent solutes and water from passing freely through the paracellular space. These junctions are comprised of sets of continuous networking strands in the outwardly facing cytoplasmic leaflet, with complementary grooves in the inwardly facing extracytoplasmic leaflet. The protein encoded by this gene, a member of the claudin family, is an integral membrane protein and a component of tight junction strands. Loss of function mutations result in neonatal ichthyosis-sclerosing cholangitis syndrome. [provided by RefSeq, Jul 2008]
紧密连接蛋白1抗体-bsm-52037M紧密连接蛋白1抗体-bsm-52037M紧密连接蛋白1抗体-bsm-52037M紧密连接蛋白1抗体-bsm-52037M紧密连接蛋白1抗体-bsm-52037M紧密连接蛋白1抗体-bsm-52037M

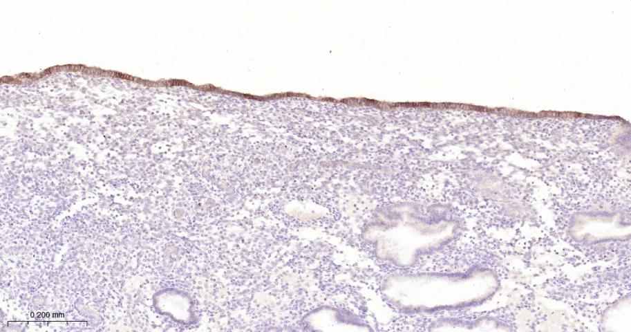
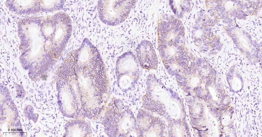
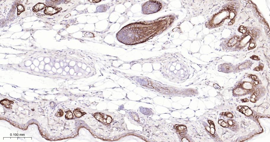
产品应用

应用已检合格种属预测种属推荐稀释比例
IHC-PHuman, Mouse, Rat1:50-200
IHC-FHuman, Mouse, Rat1:50-200
IFHuman, Mouse, Rat1:50-200

交叉反应

交叉反应: Human, Mouse, Rat

相关产品

暂无相关产品

靶标

基因名
CLDN1
蛋白名
Claudin-1
亚基
Can form homo- and heteropolymers with other CLDN. Homopolymers interact with CLDN3, but not CLDN2, homopolymers. Directly interacts with TJP1/ZO-1, TJP2/ZO-2 and TJP3/ZO-3. Interacts with MPDZ and INADL.
亚细胞定位
Cell junction, tight junction. Cell membrane; Multi-pass membrane protein.
组织特异性
Widely expressed, with highest levels in liver and kidney.
相似性
Belongs to the claudin family.
功能
Plays a major role in tight junction-specific obliteration of the intercellular space, through calcium-independent cell-adhesion activity.

同靶标产品

相关文献

提示: 发表研究结果有使用 bsm-52037M 时请让我们知道,以便我们可以引用参考文章。作为回馈,资料提供者将获得我们送上的小礼品。
具体参考文献:bsm-52037M 被引用于10文献中

常见问题