Cancer > Cancer Metabolism > Cellular metabolic process
Cell Biology > Other Antibodies > Oxidative Stress
Metabolism > Pathways and Processes > Redox metabolism > Oxidative stress
Metabolism > Types of disease > Cancer
Metabolism > Types of disease > Neurodegenerative disease
Neuroscience > Neurology process > Neurodegenerative disease > Alzheimer's disease








| 应用 | 已检合格种属 | 预测种属 | 推荐稀释比例 |
|---|---|---|---|
| WB | Human, Mouse, Rat | 1:500-2000 | |
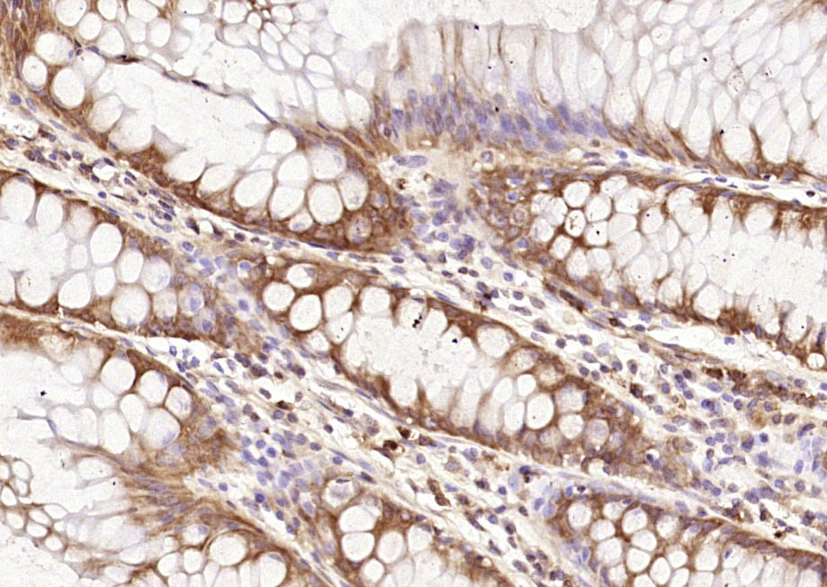
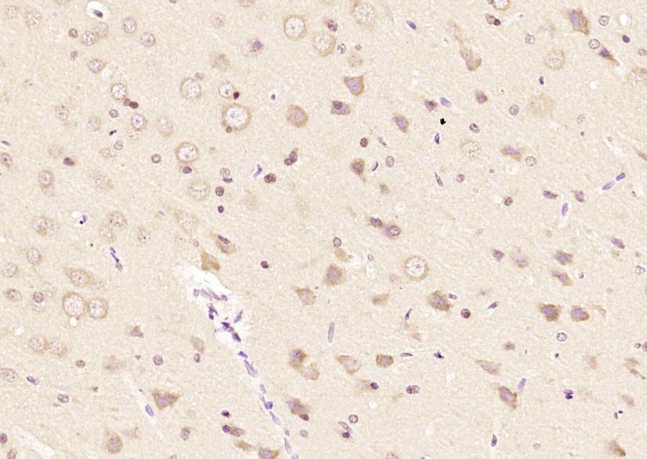
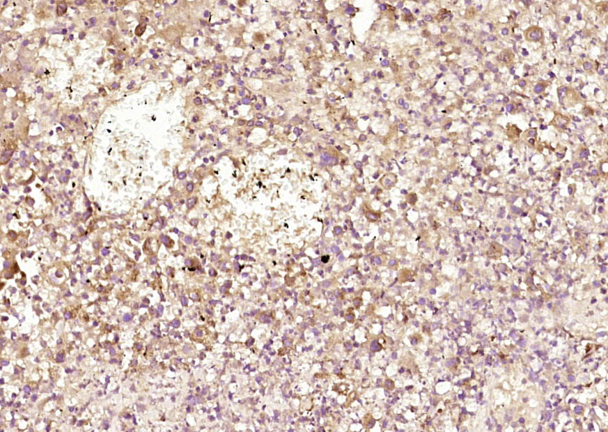
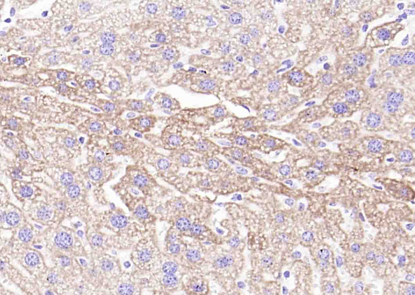
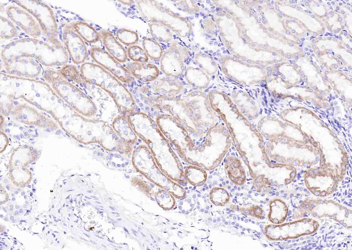
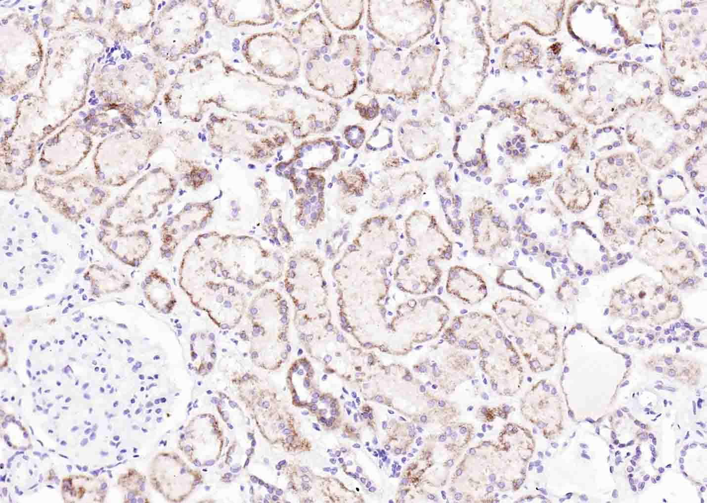
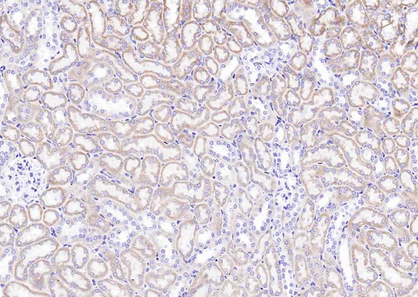
| IHC-P | Human, Mouse, Rat | 1:100-500 | |
| IHC-F | Human, Mouse, Rat | 1:100-500 | |
| IF | Human, Mouse, Rat | 1:100-500 |
交叉反应: Human, Mouse, Rat
暂无相关产品