细胞角蛋白19重组兔单抗

Rrmab?兔单抗
2026-03-02~2026-04-30,KXJ26032026-03-02~2026-04-30,促销赠品
细胞角蛋白19重组兔单抗
货号:bsm-52059R
产品详情
相关标记
相关产品
相关文献
常见问题

概述

产品编号
bsm-52059R
产品类型
重组兔单抗、病理级抗体、mIHC精品抗体
英文名称
Cytokeratin 19 Recombinant Rabbit mAb
中文名称
细胞角蛋白19重组兔单抗
英文别名
CK19; K19; K1CS; CK-19; EndoC; Krt-1.19; Krt1-19; K1C19_HUMAN; KRT19; Cytokeratin-19 (CK-19); Keratin-19 (K19); K1C19_MOUSE;
抗体来源
Rabbit
免疫原
A synthesized peptide derived from human Cytokeratin 19: 370-400
亚型
IgG
性状
Liquid
纯化方法
affinity purified by Protein A
克隆类型
Recombinant
克隆号
2F3
理论分子量
44 kDa
浓度
1mg/ml
储存液
0.01M TBS (pH7.4) with 1% BSA, 0.02% Proclin300 and 50% Glycerol.
SWISS
Gene ID
保存条件
Shipped at 4℃. Store at -20℃ for one year. Avoid repeated freeze/thaw cycles.
注意事项
This product as supplied is intended for research use only, not for use in human, therapeutic or diagnostic applications.
产品介绍
结构蛋白(Structural Proteins)
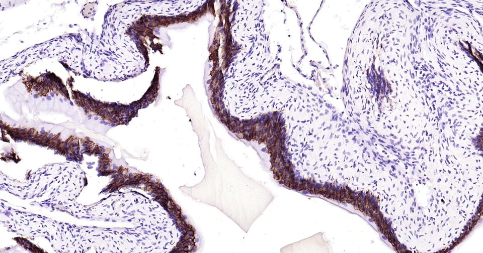
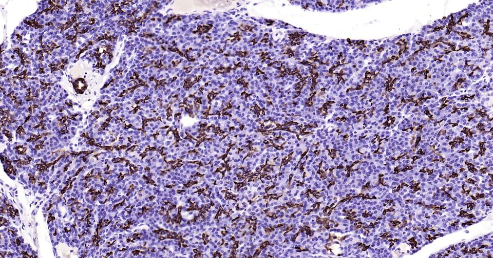
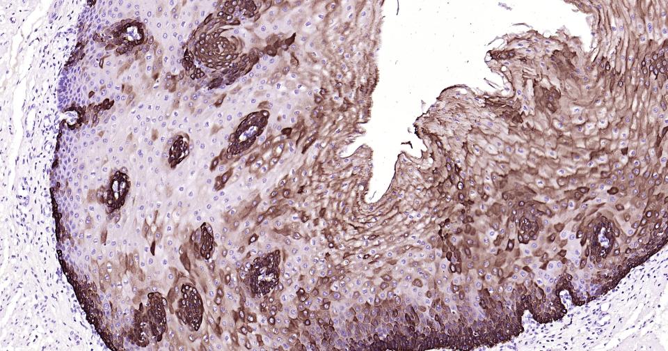
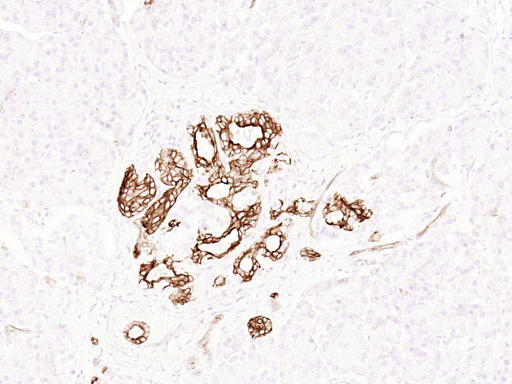
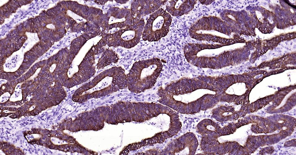
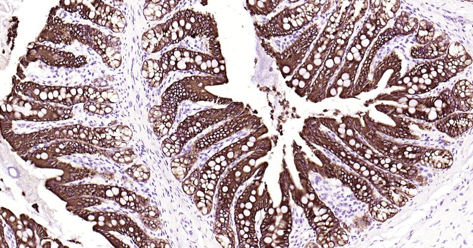
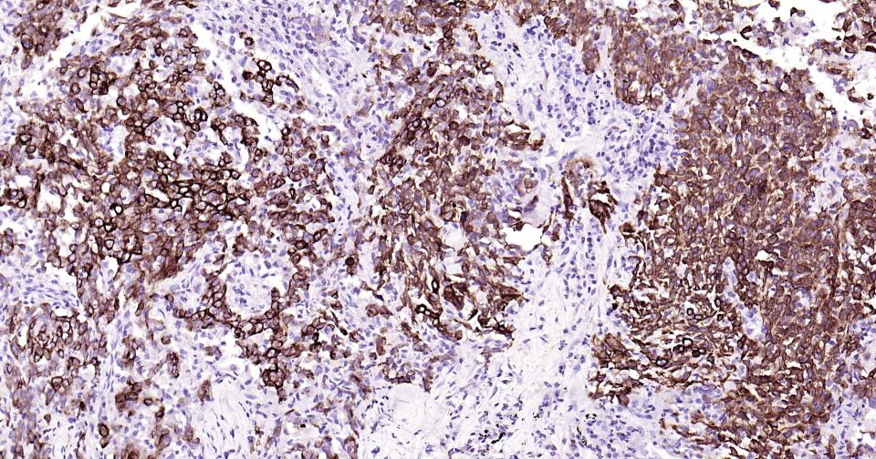
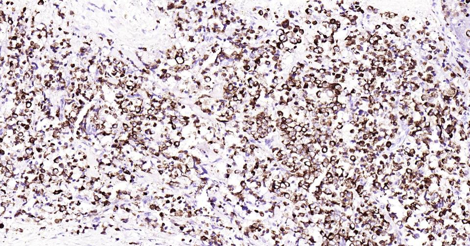
CK-19细胞角蛋白-19(又称CYFRa21-1)主要用于肿瘤方面的研究,近年来大多用于消化系统恶性肿瘤的鉴别,有学者认为:CK-19在胰腺干细胞分化过程中有细胞角蛋白19的表达,把细胞角蛋白19作为胰腺干细胞的标志物。阳性部位:主要在胞浆。
背景资料
The protein encoded by this gene is a member of the keratin family. The keratins are intermediate filament proteins responsible for the structural integrity of epithelial cells and are subdivided into cytokeratins and hair keratins. The type I cytokeratins consist of acidic proteins which are arranged in pairs of heterotypic keratin chains. Unlike its related family members, this smallest known acidic cytokeratin is not paired with a basic cytokeratin in epithelial cells. It is specifically expressed in the periderm, the transiently superficial layer that envelopes the developing epidermis. The type I cytokeratins are clustered in a region of chromosome 17q12-q21.
细胞角蛋白19重组兔单抗细胞角蛋白19重组兔单抗细胞角蛋白19重组兔单抗细胞角蛋白19重组兔单抗细胞角蛋白19重组兔单抗细胞角蛋白19重组兔单抗细胞角蛋白19重组兔单抗细胞角蛋白19重组兔单抗细胞角蛋白19重组兔单抗细胞角蛋白19重组兔单抗细胞角蛋白19重组兔单抗细胞角蛋白19重组兔单抗细胞角蛋白19重组兔单抗

产品应用

应用已检合格种属预测种属推荐稀释比例
WBHumanMouse, Rat1:1000-5000
IHC-PHuman, Mouse, Rat1:500-1000
IHC-FHuman, Mouse, Rat1:500-1000
IFHumanMouse, Rat1:200-1000

交叉反应

交叉反应: Human, Mouse, Rat

相关产品

暂无相关产品

靶标

基因名
KRT19
蛋白名
Keratin, type I cytoskeletal 19
亚基
Heterotetramer of two type I and two type II keratins. Interacts with PNN and the actin-binding domain of DMD. Interacts with HCV core protein.
组织特异性
Expressed in a defined zone of basal keratinocytes in the deep outer root sheath of hair follicles. Also observed in sweat gland and mammary gland ductal and secretory cells, bile ducts, gastrointestinal tract, bladder urothelium, oral epithelia, esophagus, ectocervical epithelium (at protein level). Expressed in epidermal basal cells, in nipple epidermis and a defined region of the hair follicle. Also seen in a subset of vascular wall cells in both the veins and artery of human umbilical cord, and in umbilical cord vascular smooth muscle. Observed in muscle fibers accumulating in the costameres of myoplasm at the sarcolemma in structures that contain dystrophin and spectrin.
疾病
Expressed in a defined zone of basal keratinocytes in the deep outer root sheath of hair follicles. Also observed in sweat gland and mammary gland ductal and secretory cells, bile ducts, gastrointestinal tract, bladder urothelium, oral epithelia, esophagus, ectocervical epithelium (at protein level). Expressed in epidermal basal cells, in nipple epidermis and a defined region of the hair follicle. Also seen in a subset of vascular wall cells in both the veins and artery of human umbilical cord, and in umbilical cord vascular smooth muscle. Observed in muscle fibers accumulating in the costameres of myoplasm at the sarcolemma in structures that contain dystrophin and spectrin.
相似性
Belongs to the intermediate filament family.
功能
Involved in the organization of myofibers. Together with KRT8, helps to link the contractile apparatus to dystrophin at the costameres of striated muscle.

标记抗体

暂无标记数据

同靶标产品

暂无同靶标产品

相关文献

提示: 发表研究结果有使用 bsm-52059R 时请让我们知道,以便我们可以引用参考文章。作为回馈,资料提供者将获得我们送上的小礼品。
具体参考文献:bsm-52059R 被引用于1文献中

暂无相关文献

常见问题

暂无常见问题